Skip to main content

APRIL/TNFSF13 Antibody - BSA Free

Novus Biologicals, part of Bio-Techne | Catalog # NBP1-76767

Novus Biologicals, part of Bio-Techne

Key Product Details

Species Reactivity

Human, Mouse

Applications

Immunohistochemistry, Immunohistochemistry-Paraffin, Western Blot, ELISA

Label

Unconjugated

Antibody Source

Polyclonal Rabbit IgG

Format

BSA Free

Concentration

1 mg/ml

Product Specifications

Immunogen

Antibody was raised against a synthetic peptide corresponding to amino acids within a extracellular domain of human APRIL. The immunogen is located within amino acids 180 - 230 of APRIL. Amino Acid Squence: CIRSMPSHPDRAYNS

Clonality

Polyclonal

Host

Rabbit

Isotype

IgG

Theoretical MW

27 kDa.
Disclaimer note: The observed molecular weight of the protein may vary from the listed predicted molecular weight due to post translational modifications, post translation cleavages, relative charges, and other experimental factors.

Description

Novus Biologicals Rabbit APRIL/TNFSF13 Antibody - BSA Free (NBP1-76767) is a polyclonal antibody validated for use in IHC, WB and ELISA. All Novus Biologicals antibodies are covered by our 100% guarantee.

Scientific Data Images for APRIL/TNFSF13 Antibody - BSA Free

Western Blot: APRIL/TNFSF13 AntibodyBSA Free [NBP1-76767]

Western Blot: APRIL/TNFSF13 AntibodyBSA Free [NBP1-76767]

Western Blot: APRIL/TNFSF13 Antibody [NBP1-76767] - Jurkat cells with TNFSF13 antibody at 1 ug/ml (A), 2 ug/ml (B), and 4 ug/ml (C).
APRIL/TNFSF13 Antibody - BSA Free

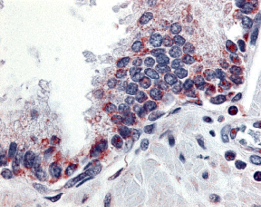
Immunohistochemistry: APRIL/TNFSF13 Antibody - BSA Free [NBP1-76767] -

Immunohistochemistry: APRIL/TNFSF13 Antibody - BSA Free [NBP1-76767] - Immunohistochemistry of APRIL/TNFSF13 in human prostate tissue with APRIL/TNFSF13 antibody at 10 ug/mL.

Applications for APRIL/TNFSF13 Antibody - BSA Free

Application
Recommended Usage

ELISA

1:100-1:2000

Immunohistochemistry

10 ug/ml

Immunohistochemistry-Paraffin

10 ug/ml

Western Blot

1-4 ug/ml

Formulation, Preparation, and Storage

Purification

Peptide affinity purified

Formulation

PBS

Format

BSA Free

Preservative

0.02% Sodium Azide

Concentration

1 mg/ml

Shipping

The product is shipped with polar packs. Upon receipt, store it immediately at the temperature recommended below.

Stability & Storage

Store at 4C short term. Aliquot and store at -20C long term. Avoid freeze-thaw cycles.

Background: APRIL/TNFSF13

Members in the TNF superfamily regulate immune responses and induce apoptosis. A novel member in the TNF family was recently identified by several groups and designated APRIL (for a proliferation-inducing ligand), TALL-2 (for TNF- and ApoL-related Leukocyte-expressed Ligand 2), and TRDL-1alpha (for TNF related death ligand 1alpha) in human and mouse. Two receptors for APRIL were recently identified and designated TACI and BCMA. APRIL stimulates B and T cell proliferation, triggers humoral immune responses, activates NF-kappaB, and induces cell death. APRIL and its close relative of BlyS and their receptors BCMA and TACI are involved in diseases of autoimmunity and cancer.

Long Name

A Proliferation-inducing Ligand

Alternate Names

CD256, TALL2, TNFSF13, TRDL1, ZTNF2

Gene Symbol

TNFSF13

Additional APRIL/TNFSF13 Products

Product Documents for APRIL/TNFSF13 Antibody - BSA Free

Certificate of Analysis

To download a Certificate of Analysis, please enter a lot number in the search box below.

Product Specific Notices for APRIL/TNFSF13 Antibody - BSA Free

This product is for research use only and is not approved for use in humans or in clinical diagnosis. Primary Antibodies are guaranteed for 1 year from date of receipt.

Loading...
Loading...
Loading...
Loading...