Apolipoprotein H/ApoH Antibody - BSA Free
Novus Biologicals, part of Bio-Techne | Catalog # NBP1-90045
Key Product Details
Validated by
Knockout/Knockdown, Independent Antibodies
Species Reactivity
Human
Applications
Immunohistochemistry, Immunohistochemistry-Paraffin, Western Blot, Knockdown Validated
Label
Unconjugated
Antibody Source
Polyclonal Rabbit IgG
Format
BSA Free
Concentration
Concentrations vary lot to lot. See vial label for concentration. If unlisted please contact technical services.
Product Specifications
Immunogen
This antibody was developed against Recombinant Protein corresponding to amino acids: EPGEEITYSCKPGYVSRGGMRKFICPLTGLWPINTLKCTPRVCPFAGILENGAVRYTTFEYPNTISFSCNTGFYLNGADSAKCTEEGKWSPELPVCAPIICPPPSIPTFATLRVYKPSAGNNSLYRDTAVFECLPQHAMFGNDTITC
Clonality
Polyclonal
Host
Rabbit
Isotype
IgG
Description
Novus Biologicals Rabbit Apolipoprotein H/ApoH Antibody - BSA Free (NBP1-90045) is a polyclonal antibody validated for use in IHC and WB. Anti-Apolipoprotein H/ApoH Antibody: Cited in 1 publication. All Novus Biologicals antibodies are covered by our 100% guarantee.
Scientific Data Images for Apolipoprotein H/ApoH Antibody - BSA Free
Immunohistochemistry-Paraffin: Apolipoprotein H/ApoH Antibody [NBP1-90045]
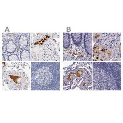
Immunohistochemistry-Paraffin: Apolipoprotein H/ApoH Antibody [NBP1-90045] - Staining of human colon, kidney, lung and lymph node using Anti-APOH antibody NBP1-90045 (A) shows similar protein distribution across tissues to independent antibody NBP1-90046 (B).Immunohistochemistry-Paraffin: Apolipoprotein H/ApoH Antibody [NBP1-90045]
Immunohistochemistry-Paraffin: Apolipoprotein H/ApoH Antibody [NBP1-90045] - Staining of human kidney.Immunohistochemistry-Paraffin: Apolipoprotein H/ApoH Antibody [NBP1-90045]
Immunohistochemistry-Paraffin: Apolipoprotein H/ApoH Antibody [NBP1-90045] - Staining of human colon.Applications for Apolipoprotein H/ApoH Antibody - BSA Free
Application
Recommended Usage
Immunohistochemistry
1:200 - 1:500
Immunohistochemistry-Paraffin
1:200 - 1:500
Western Blot
0.04-0.4 ug/ml
Application Notes
For IHC-Paraffin, HIER pH 6 retrieval is recommended.
Formulation, Preparation, and Storage
Purification
Affinity purified
Formulation
PBS (pH 7.2) and 40% Glycerol
Format
BSA Free
Preservative
0.02% Sodium Azide
Concentration
Concentrations vary lot to lot. See vial label for concentration. If unlisted please contact technical services.
Shipping
The product is shipped with polar packs. Upon receipt, store it immediately at the temperature recommended below.
Stability & Storage
Store at 4C short term. Aliquot and store at -20C long term. Avoid freeze-thaw cycles.
Background: Apolipoprotein H/ApoH
Additional Apolipoprotein H/ApoH Products
Product Documents for Apolipoprotein H/ApoH Antibody - BSA Free
Product Specific Notices for Apolipoprotein H/ApoH Antibody - BSA Free
This product is for research use only and is not approved for use in humans or in clinical diagnosis. Primary Antibodies are guaranteed for 1 year from date of receipt.
Loading...
Loading...
Loading...
Loading...