Skip to main content

Annexin A9 Antibody - BSA Free

Novus Biologicals, part of Bio-Techne | Catalog # NBP1-90153

Novus Biologicals, part of Bio-Techne
Catalog #
Availability
Size / Price
Qty
Loading...
NBP1-90153
NBP1-90153-25ul

Key Product Details

Validated by

Orthogonal Validation, Independent Antibodies

Species Reactivity

Human

Applications

Immunohistochemistry, Immunohistochemistry-Paraffin

Label

Unconjugated

Antibody Source

Polyclonal Rabbit IgG

Format

BSA Free

Concentration

Concentrations vary lot to lot. See vial label for concentration. If unlisted please contact technical services.

Product Specifications

Immunogen

This antibody was developed against Recombinant Protein corresponding to amino acids: NLERIVMALLQPTAQFDAQELRTALKASDSAVDVAIEILATRTPPQLQECLAVYKHNFQVEAVDDITSETSGIL

Clonality

Polyclonal

Host

Rabbit

Isotype

IgG

Description

Novus Biologicals Rabbit Annexin A9 Antibody - BSA Free (NBP1-90153) is a polyclonal antibody validated for use in IHC. All Novus Biologicals antibodies are covered by our 100% guarantee.

Scientific Data Images for Annexin A9 Antibody - BSA Free

Immunohistochemistry-Paraffin: Annexin A9 Antibody [NBP1-90153]

Immunohistochemistry-Paraffin: Annexin A9 Antibody [NBP1-90153]

Immunohistochemistry-Paraffin: Annexin A9 Antibody [NBP1-90153] - Staining of human colon, kidney, lymph node and thyroid gland using Anti-ANXA9 antibody NBP1-90153 (A) shows similar protein distribution across tissues to independent antibody NBP1-90152 (B).
Annexin A9 Antibody - BSA Free Immunohistochemistry: Annexin A9 Antibody - BSA Free [NBP1-90153]

Immunohistochemistry: Annexin A9 Antibody - BSA Free [NBP1-90153]

Analysis in human thyroid gland and skeletal muscle tissues using Anti-ANXA9 antibody. Corresponding ANXA9 RNA-seq data are presented for the same tissues.
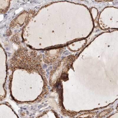
Immunohistochemistry-Paraffin: Annexin A9 Antibody [NBP1-90153]

Immunohistochemistry-Paraffin: Annexin A9 Antibody [NBP1-90153]

Immunohistochemistry-Paraffin: Annexin A9 Antibody [NBP1-90153] - Staining of human thyroid gland shows high expression.

Applications for Annexin A9 Antibody - BSA Free

Application
Recommended Usage

Immunohistochemistry

1:500 - 1:1000

Immunohistochemistry-Paraffin

1:500 - 1:1000
Application Notes
For IHC-Paraffin, HIER pH 6 retrieval is recommended.

Formulation, Preparation, and Storage

Purification

Immunogen affinity purified

Formulation

PBS (pH 7.2) and 40% Glycerol

Format

BSA Free

Preservative

0.02% Sodium Azide

Concentration

Concentrations vary lot to lot. See vial label for concentration. If unlisted please contact technical services.

Shipping

The product is shipped with polar packs. Upon receipt, store it immediately at the temperature recommended below.

Stability & Storage

Store at 4C short term. Aliquot and store at -20C long term. Avoid freeze-thaw cycles.

Background: Annexin A9/ANXA9

The annexins are a family of calcium-dependent phospholipid-binding proteins. Members of the annexin family contain 4 internal repeat domains, each of which includes a type II calcium-binding site. The calcium-binding sites are required for annexins to aggregate and cooperatively bind anionic phospholipids and extracellular matrix proteins. This gene encodes a divergent member of the annexin protein family in which all four homologous type II calcium-binding sites in the conserved tetrad core contain amino acid substitutions that ablate their function. However, structural analysis suggests that the conserved putative ion channel formed by the tetrad core is intact. [provided by RefSeq]

Alternate Names

Annexin 31, Annexin XXXI, Annexin-9, ANX31, ANXA-9, ANXA9, Pemphaxin

Gene Symbol

ANXA9

Additional Annexin A9/ANXA9 Products

Product Documents for Annexin A9 Antibody - BSA Free

Certificate of Analysis

To download a Certificate of Analysis, please enter a lot number in the search box below.

Product Specific Notices for Annexin A9 Antibody - BSA Free

This product is for research use only and is not approved for use in humans or in clinical diagnosis. Primary Antibodies are guaranteed for 1 year from date of receipt.

Loading...
Loading...
Loading...
Loading...