Annexin A9 Antibody - BSA Free
Novus Biologicals, part of Bio-Techne | Catalog # NBP1-90152
Key Product Details
Validated by
Orthogonal Validation, Independent Antibodies
Species Reactivity
Human
Applications
Immunohistochemistry, Immunohistochemistry-Paraffin, Western Blot, Immunocytochemistry/ Immunofluorescence
Label
Unconjugated
Antibody Source
Polyclonal Rabbit IgG
Format
BSA Free
Concentration
Concentrations vary lot to lot. See vial label for concentration. If unlisted please contact technical services.
Product Specifications
Immunogen
This antibody was developed against Recombinant Protein corresponding to amino acids: SYSGIIDYNLAEQDVQALQRAEGPSREETWVPVFTQRNPEHLIRVFDQYQRSTGQELEEAVQNRFHGDAQVAL
Clonality
Polyclonal
Host
Rabbit
Isotype
IgG
Theoretical MW
38 kDa.
Disclaimer note: The observed molecular weight of the protein may vary from the listed predicted molecular weight due to post translational modifications, post translation cleavages, relative charges, and other experimental factors.
Disclaimer note: The observed molecular weight of the protein may vary from the listed predicted molecular weight due to post translational modifications, post translation cleavages, relative charges, and other experimental factors.
Scientific Data Images for Annexin A9 Antibody - BSA Free
Immunocytochemistry/ Immunofluorescence: Annexin A9 Antibody [NBP1-90152]
Immunocytochemistry/Immunofluorescence: Annexin A9 Antibody [NBP1-90152] - Immunofluorescent staining of human cell line A-431 shows localization to cytosol.Immunohistochemistry-Paraffin: Annexin A9 Antibody [NBP1-90152]
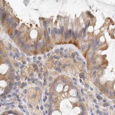
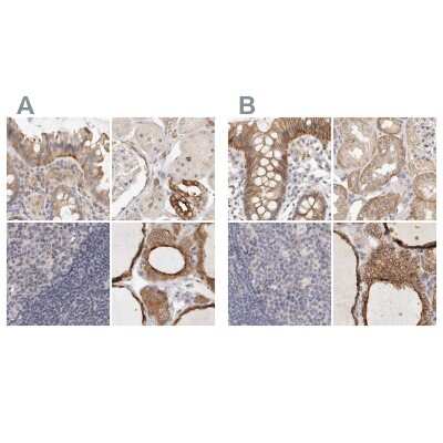
Immunohistochemistry-Paraffin: Annexin A9 Antibody [NBP1-90152] - Staining of human colon, kidney, lymph node and thyroid gland using Anti-ANXA9 antibody NBP1-90152 (A) shows similar protein distribution across tissues to independent antibody NBP1-90153 (B).Applications for Annexin A9 Antibody - BSA Free
Application
Recommended Usage
Immunocytochemistry/ Immunofluorescence
0.25-2 ug/ml
Immunohistochemistry
1:200 - 1:500
Immunohistochemistry-Paraffin
1:200 - 1:500
Western Blot
0.04-0.4 ug/ml
Application Notes
For IHC-Paraffin, HIER pH 6 retrieval is recommended. Immunocytochemistry/Immunofluorescence Fixation Permeabilization: Use PFA/Triton X-100.
Formulation, Preparation, and Storage
Purification
Affinity purified
Formulation
PBS (pH 7.2) and 40% Glycerol
Format
BSA Free
Preservative
0.02% Sodium Azide
Concentration
Concentrations vary lot to lot. See vial label for concentration. If unlisted please contact technical services.
Shipping
The product is shipped with polar packs. Upon receipt, store it immediately at the temperature recommended below.
Stability & Storage
Store at 4C short term. Aliquot and store at -20C long term. Avoid freeze-thaw cycles.
Background: Annexin A9/ANXA9
Alternate Names
Annexin 31, Annexin XXXI, Annexin-9, ANX31, ANXA-9, ANXA9, Pemphaxin
Entrez Gene IDs
8416 (Human)
Gene Symbol
ANXA9
UniProt
Additional Annexin A9/ANXA9 Products
Product Documents for Annexin A9 Antibody - BSA Free
Product Specific Notices for Annexin A9 Antibody - BSA Free
This product is for research use only and is not approved for use in humans or in clinical diagnosis. Primary Antibodies are guaranteed for 1 year from date of receipt.
Loading...
Loading...
Loading...
Loading...