Skip to main content

ANKRD40 Antibody - BSA Free

Novus Biologicals, part of Bio-Techne | Catalog # NBP1-93515

Novus Biologicals, part of Bio-Techne
Catalog #
Availability
Size / Price
Qty
Loading...
NBP1-93515
NBP1-93515-25ul

Key Product Details

Species Reactivity

Validated:

Human

Predicted:

Mouse (98%), Rat (94%). Backed by our 100% Guarantee.

Applications

Immunohistochemistry, Immunohistochemistry-Paraffin, Western Blot, Immunocytochemistry/ Immunofluorescence

Label

Unconjugated

Antibody Source

Polyclonal Rabbit IgG

Format

BSA Free

Concentration

Concentrations vary lot to lot. See vial label for concentration. If unlisted please contact technical services.

Product Specifications

Immunogen

This antibody was developed against Recombinant Protein corresponding to amino acids: NDFIEIELDRQELTYQELLRVCCCELGVNPDQVEKIRKLPNTLLRKDKDVARLQDFQELELVLMISENNFLFRNAASTLTERPCYNRRAS

Clonality

Polyclonal

Host

Rabbit

Isotype

IgG

Theoretical MW

41 kDa.
Disclaimer note: The observed molecular weight of the protein may vary from the listed predicted molecular weight due to post translational modifications, post translation cleavages, relative charges, and other experimental factors.

Scientific Data Images for ANKRD40 Antibody - BSA Free

Western Blot: ANKRD40 Antibody [NBP1-93515]

Western Blot: ANKRD40 Antibody [NBP1-93515]

Western Blot: ANKRD40 Antibody [NBP1-93515] - Analysis in control (vector only transfected HEK293T lysate) and ANKRD40 over-expression lysate (Co-expressed with a C-terminal myc-DDK tag (3.1 kDa) in mammalian HEK293T cells).
Immunocytochemistry/ Immunofluorescence: ANKRD40 Antibody [NBP1-93515]

Immunocytochemistry/ Immunofluorescence: ANKRD40 Antibody [NBP1-93515]

Immunocytochemistry/Immunofluorescence: ANKRD40 Antibody [NBP1-93515] - Immunofluorescent staining of human cell line U-2 OS shows localization to cytosol & the Golgi apparatus.
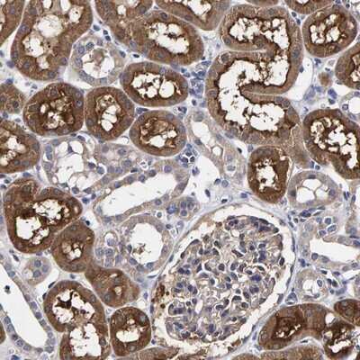
Immunohistochemistry-Paraffin: ANKRD40 Antibody [NBP1-93515]

Immunohistochemistry-Paraffin: ANKRD40 Antibody [NBP1-93515]

Immunohistochemistry-Paraffin: ANKRD40 Antibody [NBP1-93515] - Staining of human kidney shows moderate cytoplasmic positivity in cells in tubules.

Applications for ANKRD40 Antibody - BSA Free

Application
Recommended Usage

Immunocytochemistry/ Immunofluorescence

0.25-2 ug/ml

Immunohistochemistry

1:200 - 1:500

Immunohistochemistry-Paraffin

1:200-1:500

Western Blot

0.04-0.4 ug/ml
Application Notes
For IHC-Paraffin, HIER pH 6 retrieval is recommended. ICC/IF,Fixation Permeabilization: Use PFA/Triton X-100.

Formulation, Preparation, and Storage

Purification

Affinity purified

Formulation

PBS (pH 7.2) and 40% Glycerol

Format

BSA Free

Preservative

0.02% Sodium Azide

Concentration

Concentrations vary lot to lot. See vial label for concentration. If unlisted please contact technical services.

Shipping

The product is shipped with polar packs. Upon receipt, store it immediately at the temperature recommended below.

Stability & Storage

Store at 4C short term. Aliquot and store at -20C long term. Avoid freeze-thaw cycles.

Background: ANKRD40

Alternate Names

ankyrin repeat domain 40, MGC15396

Entrez Gene IDs

91369 (Human)

Gene Symbol

ANKRD40

UniProt

Additional ANKRD40 Products

Product Documents for ANKRD40 Antibody - BSA Free

Certificate of Analysis

To download a Certificate of Analysis, please enter a lot number in the search box below.

Product Specific Notices for ANKRD40 Antibody - BSA Free

This product is for research use only and is not approved for use in humans or in clinical diagnosis. Primary Antibodies are guaranteed for 1 year from date of receipt.

Loading...
Loading...
Loading...
Loading...