ADCY10 Antibody - BSA Free
Novus Biologicals, part of Bio-Techne | Catalog # NBP1-81765
Key Product Details
Species Reactivity
Human
Applications
Immunohistochemistry, Immunohistochemistry-Paraffin
Label
Unconjugated
Antibody Source
Polyclonal Rabbit IgG
Format
BSA Free
Concentration
Concentrations vary lot to lot. See vial label for concentration. If unlisted please contact technical services.
Product Specifications
Immunogen
This antibody was developed against Recombinant Protein corresponding to amino acids: RNTTYIVIGAVQPNDISNKICLDLNVSCISKELDSYLGEGSCGIPFYCEELLKNLEHHEVLVFQQTESEEKTNRTWNNLFKYSIKLTEKLNMVTLHSDKESEEVCHLTSGVRLKNLSPPTSLKEISLI
Clonality
Polyclonal
Host
Rabbit
Isotype
IgG
Scientific Data Images for ADCY10 Antibody - BSA Free
Immunohistochemistry-Paraffin: ADCY10 Antibody [NBP1-81765]
Immunohistochemistry-Paraffin: ADCY10 Antibody [NBP1-81765] - Staining of human kidney shows strong positivity in tubules.Immunohistochemistry-Paraffin: ADCY10 Antibody [NBP1-81765] -
Immunohistochemistry-Paraffin: ADCY10 Antibody [NBP1-81765] - Staining of human pancreas shows strong membranous positivity in subset of exocrine glandular cells.Immunohistochemistry-Paraffin: ADCY10 Antibody [NBP1-81765] -
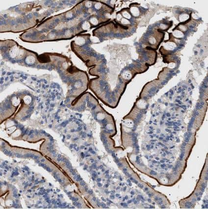
Immunohistochemistry-Paraffin: ADCY10 Antibody [NBP1-81765] -Staining of human duodenum shows strong membranous positivity in glandular cells.Applications for ADCY10 Antibody - BSA Free
Application
Recommended Usage
Immunohistochemistry
1:20 - 1:50
Immunohistochemistry-Paraffin
1:20 - 1:50
Application Notes
For IHC-Paraffin, HIER pH 6 retrieval is recommended.
Formulation, Preparation, and Storage
Purification
Affinity purified
Formulation
PBS (pH 7.2) and 40% Glycerol
Format
BSA Free
Preservative
0.02% Sodium Azide
Concentration
Concentrations vary lot to lot. See vial label for concentration. If unlisted please contact technical services.
Shipping
The product is shipped with polar packs. Upon receipt, store it immediately at the temperature recommended below.
Stability & Storage
Store at 4C short term. Aliquot and store at -20C long term. Avoid freeze-thaw cycles.
Background: Adenylate Cyclase 10
Long Name
Adenylate cyclase type 10
Alternate Names
ADCY10, AH-related protein, hsAC, sAC
Gene Symbol
ADCY10
Additional Adenylate Cyclase 10 Products
Product Documents for ADCY10 Antibody - BSA Free
Product Specific Notices for ADCY10 Antibody - BSA Free
This product is for research use only and is not approved for use in humans or in clinical diagnosis. Primary Antibodies are guaranteed for 1 year from date of receipt.
Loading...
Loading...
Loading...
Loading...