Skip to main content

Key Product Details

Validated by

Knockout/Knockdown, Biological Validation

Species Reactivity

Validated:

Human, Mouse, Rat

Cited:

Human, Mouse, Rat

Applications

Validated:

Immunohistochemistry, Immunohistochemistry-Paraffin, Immunohistochemistry-Frozen, Western Blot, Immunocytochemistry/ Immunofluorescence, Simple Western, Knockdown Validated

Cited:

Immunohistochemistry-Paraffin, Immunohistochemistry-Frozen, Western Blot, Immunocytochemistry/ Immunofluorescence, IF/IHC

Label

Unconjugated

Antibody Source

Polyclonal Rabbit IgG

Format

BSA Free

Concentration

2 mg/ml

Product Specifications

Immunogen

Purified type I human placental 15-PGDH protein [UniProt# P15428]

Reactivity Notes

Mouse reactivity reported in scientific literature (PMID: 27140190) Human reactivity reported in scientific literature (PMID:33210098).

Localization

Cytoplasmic

Clonality

Polyclonal

Host

Rabbit

Isotype

IgG

Description

Novus Biologicals Rabbit 15-PGDH/HPGD Antibody - BSA Free (NB200-179) is a polyclonal antibody validated for use in IHC, WB, ICC/IF and Simple Western. Anti-15-PGDH/HPGD Antibody: Cited in 28 publications. All Novus Biologicals antibodies are covered by our 100% guarantee.

Scientific Data Images for 15-PGDH/HPGD Antibody - BSA Free

Simple Western: 15-PGDH/HPGD Antibody [NB200-179]

Simple Western: 15-PGDH/HPGD Antibody [NB200-179]

Simple Western: 15-PGDH/HPGD Antibody [NB200-179] - Simple Western lane view shows a specific band for 15-PGDH/HPGD in 0.5 mg/ml of Lovo (left) and HeLa (right) lysate. This experiment was performed under reducing conditions using the 12-230 kDa separation system.
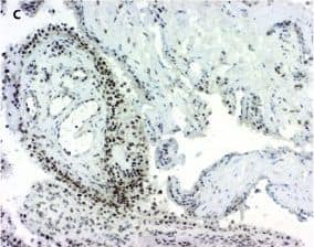
Immunohistochemistry: 15-PGDH/HPGD Antibody [NB200-179]

Immunohistochemistry: 15-PGDH/HPGD Antibody [NB200-179]

15-PGDH-HPGD-Antibody-Immunohistochemistry-NB200-179-img0015.jpg
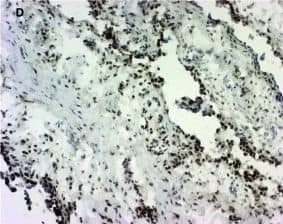
Immunohistochemistry: 15-PGDH/HPGD Antibody [NB200-179]

Immunohistochemistry: 15-PGDH/HPGD Antibody [NB200-179]

15-PGDH-HPGD-Antibody-Immunohistochemistry-NB200-179-img0016.jpg

Applications for 15-PGDH/HPGD Antibody - BSA Free

Application
Recommended Usage

Immunohistochemistry

1:200

Immunohistochemistry-Paraffin

1:200

Simple Western

1:500

Western Blot

1:5000-1:6000

Reviewed Applications

Read 3 reviews rated 4.7 using NB200-179 in the following applications:

Formulation, Preparation, and Storage

Purification

Protein A purified

Formulation

PBS

Format

BSA Free

Preservative

0.05% Sodium Azide

Concentration

2 mg/ml

Shipping

The product is shipped with polar packs. Upon receipt, store it immediately at the temperature recommended below.

Stability & Storage

Store at 4C short term. Aliquot and store at -20C long term. Avoid freeze-thaw cycles.

Background: 15-PGDH/HPGD

15-PGDH (15-hydroxyprostaglandin dehydrogenase, NAD+ or HPGD) belongs to short-chain dehydrogenases/reductases (SDR) family and is a key enzyme responsible for biological inactivation of prostaglandins as well as related eicosanoids. 15-PGDH has a potential to catalyze NAD-dependent dehydrogenation of lipoxin A4 to form 15-oxo-lipoxin A4, and it brings about prostaglandin inactivation for regulating biological processes which are controlled by prostaglandin levels. It is down-regulated by cortisol, dexamethasone and betamethasone, and TGFB1. 15-PGDH is considered as a tumor suppressor and its decreased expression is observed in cancers subjects with colorectal, breast, prostate, lung, thyroid, gastric and other cancers. Furthermore, defects in 15-PGDH gene have been linked to diseases including hypertrophic osteoarthropathy, primary, autosomal recessive, type 1 (PHOAR1), cranioosteoarthropathy (COA), isolated congenital nail clubbing (ICNC).

Long Name

15-Hydroxyprostaglandin Dehydrogenase

Alternate Names

15PGDH, HPGD, PGDH1, SDR36C1

Gene Symbol

HPGD

Additional 15-PGDH/HPGD Products

Product Documents for 15-PGDH/HPGD Antibody - BSA Free

Certificate of Analysis

To download a Certificate of Analysis, please enter a lot number in the search box below.

Product Specific Notices for 15-PGDH/HPGD Antibody - BSA Free

This product is for research use only and is not approved for use in humans or in clinical diagnosis. Primary Antibodies are guaranteed for 1 year from date of receipt.

Loading...
Loading...
Loading...
Loading...