Skip to main content

Recombinant Human TGF-beta 2, ACFP Protein

R&D Systems, part of Bio-Techne | Catalog # ACFP302

R&D Systems, part of Bio-Techne
Discontinued Product
ACFP302 has been discontinued. View all TGF-beta 2 products.

Key Product Details

Source

Sf 9 (baculovirus)

Accession #

Structure / Form

Disulfide-linked homodimer

Conjugate

Unconjugated

Applications

Bioactivity

Product Specifications

Source

Spodoptera frugiperda, Sf 9 (baculovirus)-derived human TGF-beta 2 protein
Ala303-Ser414
Produced in an animal component free process (ACFP).

Purity

>97%, by SDS-PAGE under reducing conditions and visualized by silver stain.

Endotoxin Level

<0.10 EU per 1 μg of the protein by the LAL method.

N-terminal Sequence Analysis

Ala303

Predicted Molecular Mass

12.7 kDa (monomer)

SDS-PAGE

9-11 kDa, reducing conditions

Activity

Measured by its ability to inhibit the IL-4-dependent proliferation of HT-2 mouse T cells. Tsang, M. et al. (1995) Cytokine 7:389.
The ED50 for this effect is 0.025-0.25 ng/mL.

Scientific Data Images for Recombinant Human TGF-beta 2, ACFP Protein

TGF‑ beta2 Suppresses IL-4-induced Proliferation.

TGF‑ beta2 Suppresses IL-4-induced Proliferation.

Recombinant Human Animal Component Free (ACFP) TGF‑ beta2 inhibits IL-4-induced proliferation of HT‑2 mouse T cells. The ED50 for this effect is 0.025-0.25 ng/mL.
TGF-beta 2 Suppresses IL-4-induced Proliferation.

TGF-beta 2 Suppresses IL-4-induced Proliferation.

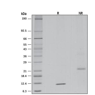
1 μg/lane of Recombinant Human TGF-beta 2 (Catalog # ACFP302) was resolved with SDS-PAGE under reducing (R) and non-reducing (NR) conditions and visualized by silver staining, showing bands at 12.1 and 23.4 kDa, respectively.

Formulation, Preparation and Storage

ACFP302
Formulation Lyophilized from a 0.2 μm filtered solution in Acetonitrile and TFA.
Reconstitution Reconstitute at 100 μg/mL in sterile 4 mM HCl
Shipping The product is shipped at ambient temperature. Upon receipt, store it immediately at the temperature recommended below.
Stability & Storage Use a manual defrost freezer and avoid repeated freeze-thaw cycles.
  • 12 months from date of receipt, -20 to -70 °C as supplied.
  • 1 month, 2 to 8 °C under sterile conditions after reconstitution.
  • 3 months, -20 to -70 °C under sterile conditions after reconstitution.

Background: TGF-beta 2

TGF-beta 2 (transforming growth factor beta 2) is one of three closely related mammalian members of the large TGF-beta  superfamily that share a characteristic cysteine knot structure (1 - 7). TGF-beta 1, -2 and -3 are highly pleiotropic cytokines proposed to act as cellular switches that regulate processes such as immune function, proliferation and epithelial-mesenchymal transition (1 - 4). Each TGF-beta isoform has some non-redundant functions; for TGF-beta 2, mice with targeted deletion show defects in development of cardiac, lung, craniofacial, limb, eye, ear and urogenital systems (2). Human TGF-beta 2 cDNA encodes a 414 amino acid (aa) precursor that contains a 19 aa signal peptide and a 395 aa proprotein (8). A furin-like convertase processes the proprotein to generate an N-terminal 232 aa latency-associated peptide (LAP) and a C-terminal 112 aa mature TGF-  beta2 (8, 9). Disulfide-linked homodimers of LAP and TGF-beta 2 remain non-covalently associated after secretion, forming the small latent TGF-beta 1 complex (8 - 10). Covalent linkage of LAP to one of three latent TGF-beta binding proteins (LTBPs) creates a large latent complex that may interact with the extracellular matrix (9, 10). TGF-beta is activated from latency by pathways that include actions of the protease plasmin, matrix metalloproteases, thrombospondin 1 and a subset of integrins (10). Mature human TGF-beta 2 shows 100% aa identity with porcine, canine, equine and bovine TGF-beta 2, and 97% aa identity with mouse and rat TGF-beta 2. It demonstrates cross-species activity (1). TGF-beta 2 signaling begins with binding to a complex of the accessory receptor betaglycan (also known as TGF-beta  RIII) and a type II ser/thr kinase receptor termed TGF-beta  RII. This receptor then phosphorylates and activates another ser/thr kinase receptor, TGF-beta  RI (also called activin receptor-like kinase (ALK) -5), or alternatively, ALK-1. The whole complex phosphorylates and activates Smad proteins that regulate transcription (3, 11, 12). Use of other signaling pathways that are Smad-independent allows for disparate actions observed in response to TGF-beta in different contexts (11).

References

  1. Sporn, M.B. (2006) Cytokine Growth Factor Rev. 17:3.
  2. Dunker, N. and K. Krieglstein, 2000, Eur. J. Biochem. 267:6982.
  3. Wahl, S.M. (2006) Immunol. Rev. 213:213.
  4. Chang, H. et al. (2002) Endocr. Rev. 23:787.
  5. Lin, J.S. et al. (2006) Reproduction 132:179.
  6. Hinck, A.P. et al. (1996) Biochemistry 35:8517.
  7. Mittl, P.R.E. et al. (1996) Protein Sci. 5:1261.
  8. deMartin, R. et al. (1987) EMBO J. 6:3673.
  9. Miyazono, K. et al. (1988) J. Biol. Chem. 263:6407.
  10. Oklu, R. and R. Hesketh (2000) Biochem. J. 352:601.
  11. de Caestecker, M. et al. (2004) Cytokine Growth Factor Rev. 15:1.
  12. Zuniga, J.E. et al. (2005) J. Mol. Biol. 354:1052.

Long Name

Transforming Growth Factor beta 2

Alternate Names

TGFB2, TGFbeta 2

Entrez Gene IDs

7042 (Human); 21808 (Mouse); 397084 (Porcine)

Gene Symbol

TGFB2

UniProt

Additional TGF-beta 2 Products

Product Documents for Recombinant Human TGF-beta 2, ACFP Protein

Certificate of Analysis

To download a Certificate of Analysis, please enter a lot number in the search box below.

Note: Certificate of Analysis not available for kit components.

Manufacturing Specifications

Animal Component-Free Process (ACFP) Manufacturing Conditions
R&D Systems Animal Component-Free Process (ACFP) recombinant proteins are expressed in an animal-free certified Sf 9 insect cell line using dedicated animal-free raw materials and labware. Production and purification procedures use equipment and media that are confirmed animal-free but performed outside our dedicated animal-free laboratories. Every stage of the manufacturing process follows R&D Systems' stringent Standard Operating Procedures (SOPs). The certified Sf 9 insect cell bank has undergone extensive testing to certify the lack of cytopathogens by screening for various viruses, Mycoplasma, and Spiroplasmas using both in vitro and in vivo testing methods. For ex vivo research or bioproduction, additional documentation can be provided.

Please read our complete ACFP Statement
 

Product Specific Notices for Recombinant Human TGF-beta 2, ACFP Protein

For research use or further manufacturing only

Loading...
Loading...
Loading...