Skip to main content

SLC17A3 Antibody - Azide and BSA Free

Novus Biologicals, part of Bio-Techne | Catalog # NBP3-25684

Novus Biologicals, part of Bio-Techne
Discontinued Product
NBP3-25684 has been discontinued. View all SLC17A3 products.

Key Product Details

Species Reactivity

Human, Mouse, Rat

Applications

Immunohistochemistry, Immunohistochemistry-Paraffin, Western Blot

Label

Unconjugated

Antibody Source

Polyclonal Rabbit IgG

Format

Azide and BSA Free

Concentration

Concentrations vary lot to lot. See vial label for concentration. If unlisted please contact technical services.

Product Specifications

Immunogen

Recombinant protein encompassing a sequence within the center region of human SLC17A3. The exact sequence is proprietary.

Clonality

Polyclonal

Host

Rabbit

Isotype

IgG

Scientific Data Images for SLC17A3 Antibody - Azide and BSA Free

SLC17A3 Antibody - Azide and BSA Free

Western Blot: SLC17A3 Antibody - Azide and BSA Free [NBP3-25684] -

Western Blot: SLC17A3 Antibody - Azide and BSA Free [NBP3-25684] - Various tissue extracts (30 ug) were separated by 10% SDS-PAGE, and the membrane was blotted with SLC17A3 antibody (NBP3-25684) diluted at 1:1000. The HRP-conjugated anti-rabbit IgG antibody was used to detect the primary antibody.
SLC17A3 Antibody - Azide and BSA Free

Western Blot: SLC17A3 Antibody - Azide and BSA Free [NBP3-25684] -

Western Blot: SLC17A3 Antibody - Azide and BSA Free [NBP3-25684] - HepG2 whole cell and membrane extracts (30 ug) were separated by 10% SDS-PAGE, and the membrane was blotted with SLC17A3 antibody (NBP3-25684) diluted at 1:1000. The HRP-conjugated anti-rabbit IgG antibody was used to detect the primary antibody.
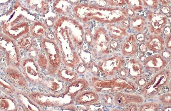
SLC17A3 Antibody - Azide and BSA Free

Immunohistochemistry-Paraffin: SLC17A3 Antibody - Azide and BSA Free [NBP3-25684] -

Immunohistochemistry-Paraffin: SLC17A3 Antibody - Azide and BSA Free [NBP3-25684] - SLC17A3 antibody detects SLC17A3 protein at cell membrane and cytoplasm by immunohistochemical analysis. Sample: Paraffin-embedded rat kidney. SLC17A3 stained by SLC17A3 antibody (NBP3-25684) diluted at 1:500. Antigen Retrieval: Citrate buffer, pH 6.0, 15 min

Applications for SLC17A3 Antibody - Azide and BSA Free

Application
Recommended Usage

Immunohistochemistry-Paraffin

1:100-1:1000

Western Blot

1:500-1:3000

Formulation, Preparation, and Storage

Purification

Antigen Affinity-purified

Formulation

PBS (pH 7), 20% Glycerol

Format

Azide and BSA Free

Preservative

0.025% Proclin 300

Concentration

Concentrations vary lot to lot. See vial label for concentration. If unlisted please contact technical services.

Shipping

The product is shipped with polar packs. Upon receipt, store it immediately at the temperature recommended below.

Stability & Storage

Store at 4C short term. Aliquot and store at -20C long term. Avoid freeze-thaw cycles.

Background: SLC17A3

SLC17A3 may be involved in actively transporting phosphate into cells via Na(+) cotransport

Alternate Names

Na(+)/PI cotransporter 4, NPT4Sodium/phosphate cotransporter 4, sodium-dependent phosphate transport protein 4, solute carrier family 17 (sodium phosphate), member 3, Solute carrier family 17 member 3

Gene Symbol

SLC17A3

Additional SLC17A3 Products

Product Documents for SLC17A3 Antibody - Azide and BSA Free

Certificate of Analysis

To download a Certificate of Analysis, please enter a lot number in the search box below.

Product Specific Notices for SLC17A3 Antibody - Azide and BSA Free

This product is for research use only and is not approved for use in humans or in clinical diagnosis. Primary Antibodies are guaranteed for 1 year from date of receipt.

Loading...
Loading...
Loading...
Loading...