Rabphilin 3A Antibody - BSA Free
Novus Biologicals, part of Bio-Techne | Catalog # NBP2-95144
Discontinued Product
NBP2-95144 has been discontinued.
View all Rabphilin 3A products.
Key Product Details
Species Reactivity
Human, Mouse, Rat
Applications
Immunohistochemistry, Immunohistochemistry-Paraffin, Western Blot
Label
Unconjugated
Antibody Source
Polyclonal Rabbit IgG
Format
BSA Free
Concentration
Please see the vial label for concentration. If unlisted please contact technical services.
Product Specifications
Immunogen
Recombinant fusion protein containing a sequence corresponding to amino acids 1-280 of human RPH3A (NP_055769.2). MTDTVFSNSSNRWMYPSDRPLQSKLQAGWSVHPGGQPDRQRKQEELTDEEKEIINRVIARAEKMEEMEQERIGRLVDRLENMRKNVAGDGVNRCILCGEQLGMLGSACVVCEDCKKNVCTKCGVETNNRLHSVWLCKICIEQREVWKRSGAWFFKGFPKQVLPQPMPIKKTKPQQPVSEPAAPEQPAPEPKHPARAPARGDSEDRRGPGQKTGPDPASAPGRGNYGPPVRRASEARMSSSSRDSESWDHSGGAGDSSRSPAGLRRANSVQASRPAPGSVQ
Clonality
Polyclonal
Host
Rabbit
Isotype
IgG
Theoretical MW
76 kDa.
Disclaimer note: The observed molecular weight of the protein may vary from the listed predicted molecular weight due to post translational modifications, post translation cleavages, relative charges, and other experimental factors.
Disclaimer note: The observed molecular weight of the protein may vary from the listed predicted molecular weight due to post translational modifications, post translation cleavages, relative charges, and other experimental factors.
Scientific Data Images for Rabphilin 3A Antibody - BSA Free
Western Blot: Rabphilin 3A AntibodyBSA Free [NBP2-95144]
Western Blot: Rabphilin 3A Antibody [NBP2-95144] - Analysis of extracts of various cell lines, using Rabphilin 3A at 1:1000 dilution. Secondary antibody: HRP Goat Anti-Rabbit IgG (H+L) at 1:10000 dilution. Lysates/proteins: 25ug per lane. Blocking buffer: 3% nonfat dry milk in TBST. Detection: ECL Basic Kit . Exposure time: 10s.Immunohistochemistry-Paraffin: Rabphilin 3A Antibody - BSA Free [NBP2-95144]
Immunohistochemistry-Paraffin: Rabphilin 3A Antibody [NBP2-95144] - Mouse heart using RPH3A antibody at dilution of 1:100 (40x lens).Immunohistochemistry-Paraffin: Rabphilin 3A Antibody - BSA Free [NBP2-95144]
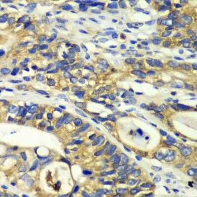
Immunohistochemistry-Paraffin: Rabphilin 3A Antibody [NBP2-95144] - Human colon carcinoma using RPH3A antibody at dilution of 1:100 (40x lens).Applications for Rabphilin 3A Antibody - BSA Free
Application
Recommended Usage
Immunohistochemistry
1:50-1:200
Western Blot
1:500-1:2000
Formulation, Preparation, and Storage
Purification
Affinity purified
Formulation
PBS (pH 7.3), 50% glycerol
Format
BSA Free
Preservative
0.02% Sodium Azide
Concentration
Please see the vial label for concentration. If unlisted please contact technical services.
Shipping
The product is shipped with polar packs. Upon receipt, store it immediately at the temperature recommended below.
Stability & Storage
Store at -20C. Avoid freeze-thaw cycles.
Background: Rabphilin 3A
Alternate Names
Exophilin-1, KIAA0985exophilin-1, rabphilin, rabphilin 3A homolog (mouse), rabphilin-3A
Gene Symbol
RPH3A
Additional Rabphilin 3A Products
Product Documents for Rabphilin 3A Antibody - BSA Free
Product Specific Notices for Rabphilin 3A Antibody - BSA Free
This product is for research use only and is not approved for use in humans or in clinical diagnosis. Primary Antibodies are guaranteed for 1 year from date of receipt.
Loading...
Loading...
Loading...
Loading...