Skip to main content

Peroxiredoxin 6 Antibody - BSA Free

Novus Biologicals, part of Bio-Techne | Catalog # NBP1-55160

Novus Biologicals, part of Bio-Techne
Discontinued Product
NBP1-55160 has been discontinued. View all Peroxiredoxin 6 products.

Key Product Details

Species Reactivity

Human

Applications

Immunohistochemistry, Immunohistochemistry-Paraffin, Western Blot

Label

Unconjugated

Antibody Source

Polyclonal Rabbit IgG

Format

BSA Free

Concentration

0.5 mg/ml

Product Specifications

Immunogen

Synthetic peptides corresponding to PRDX6(peroxiredoxin 6) The peptide sequence was selected from the C terminal of PRDX6. Peptide sequence VATPVDWKDGDSVMVLPTIPEEEAKKLFPKGVFTKELPSGKKYLRYTPQP. The peptide sequence for this immunogen was taken from within the described region.

Clonality

Polyclonal

Host

Rabbit

Isotype

IgG

Theoretical MW

25 kDa.
Disclaimer note: The observed molecular weight of the protein may vary from the listed predicted molecular weight due to post translational modifications, post translation cleavages, relative charges, and other experimental factors.

Description

The addition of 50% glycerol is optional for those storing this antibody at -20C and not aliquoting smaller units. However, please note that glycerol may interrupt some downstream antibody applications and should be added with caution.

Scientific Data Images for Peroxiredoxin 6 Antibody - BSA Free

Western Blot: Peroxiredoxin 6 Antibody [NBP1-55160]

Western Blot: Peroxiredoxin 6 Antibody [NBP1-55160]

Western Blot: Peroxiredoxin-6 Antibody [NBP1-55160] - WB Suggested Anti-PRDX6 Antibody Titration: 0.2-1 ug/ml Positive Control: Human Muscle
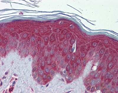
Immunohistochemistry-Paraffin: Peroxiredoxin 6 Antibody [NBP1-55160]

Immunohistochemistry-Paraffin: Peroxiredoxin 6 Antibody [NBP1-55160]

Immunohistochemistry-Paraffin: Peroxiredoxin-6 Antibody [NBP1-55160] - Human skin tissue at an antibody concentration of 5 ug/ml.

Applications for Peroxiredoxin 6 Antibody - BSA Free

Application
Recommended Usage

Immunohistochemistry

1:10-1:500

Immunohistochemistry-Paraffin

1:10-1:500

Western Blot

1.0 ug/ml

Formulation, Preparation, and Storage

Purification

Affinity purified

Formulation

PBS, 2% Sucrose

Format

BSA Free

Preservative

0.09% Sodium Azide

Concentration

0.5 mg/ml

Shipping

The product is shipped with polar packs. Upon receipt, store it immediately at the temperature recommended below.

Stability & Storage

Store at 4C short term. Aliquot and store at -20C long term. Avoid freeze-thaw cycles.

Background: Peroxiredoxin 6

PRDX6 is a member of the thiol-specific antioxidant protein family. This protein is a bifunctional enzyme with two distinct active sites. It is involved in redox regulation of the cell; it can reduce H(2)O(2) and short chain organic, fatty acid, and phospholipid hydroperoxides. It may play a role in the regulation of phospholipid turnover as well as in protection against oxidative injury. The protein encoded by this gene is a member of the thiol-specific antioxidant protein family. This protein is a bifunctional enzyme with two distinct active sites. It is involved in redox regulation of the cell; it can reduce H(2)O(2) and short chain organic, fatty acid, and phospholipid hydroperoxides. It may play a role in the regulation of phospholipid turnover as well as in protection against oxidative injury. Publication Note: This RefSeq record includes a subset of the publications that are available for this gene. Please see the Entrez Gene record to access additional publications.

Alternate Names

aiPLA2, AOP2, NSGPx, PRDX6

Gene Symbol

PRDX6

UniProt

Additional Peroxiredoxin 6 Products

Product Documents for Peroxiredoxin 6 Antibody - BSA Free

Certificate of Analysis

To download a Certificate of Analysis, please enter a lot number in the search box below.

Product Specific Notices for Peroxiredoxin 6 Antibody - BSA Free

This product is for research use only and is not approved for use in humans or in clinical diagnosis. Primary Antibodies are guaranteed for 1 year from date of receipt.

Loading...
Loading...
Loading...
Loading...