Skip to main content

OFD1 Antibody - BSA Free

Novus Biologicals, part of Bio-Techne | Catalog # NBP1-89355

Novus Biologicals, part of Bio-Techne
Discontinued Product
NBP1-89355 has been discontinued. View all OFD1 products.

Key Product Details

Species Reactivity

Validated:

Human, Mouse

Cited:

Human, Mouse

Applications

Validated:

Immunocytochemistry/ Immunofluorescence, Immunohistochemistry, Immunohistochemistry-Paraffin, Western Blot

Cited:

IF/IHC, Immunocytochemistry/ Immunofluorescence, Western Blot

Label

Unconjugated

Antibody Source

Polyclonal Rabbit IgG

Format

BSA Free

Concentration

Concentrations vary lot to lot. See vial label for concentration. If unlisted please contact technical services.

Product Specifications

Immunogen

This antibody was developed against Recombinant Protein corresponding to amino acids: LLKEEKLELLAQNKLLKQQLEESRNENLRLLNRLAQPAPELAVFQKELRKAEKAIVVEHEEFESCRQALHKQLQDEIEHSAQLKAQILGYKA

Reactivity Notes

Mouse reactivity reported in scientific literature (PMID: 25180832).

Localization

Cytoskeleton (microtubules)

Clonality

Polyclonal

Host

Rabbit

Isotype

IgG

Description

Novus Biologicals Rabbit OFD1 Antibody - BSA Free (NBP1-89355) is a polyclonal antibody validated for use in IHC, WB and ICC/IF. Anti-OFD1 Antibody: Cited in 8 publications. All Novus Biologicals antibodies are covered by our 100% guarantee.

Scientific Data Images for OFD1 Antibody - BSA Free

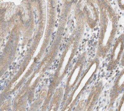
Immunohistochemistry-Paraffin: OFD1 Antibody [NBP1-89355]

Immunohistochemistry-Paraffin: OFD1 Antibody [NBP1-89355]

Immunohistochemistry-Paraffin: OFD1 Antibody [NBP1-89355] - Staining of human endometrium shows moderate cytoplasmic positivity in glandular cells.
Immunohistochemistry-Paraffin: OFD1 Antibody [NBP1-89355]

Immunohistochemistry-Paraffin: OFD1 Antibody [NBP1-89355]

Immunohistochemistry-Paraffin: OFD1 Antibody [NBP1-89355] - Staining of human testis shows strong cytoplasmic positivity in seminiferous ducts.
Immunohistochemistry-Paraffin: OFD1 Antibody [NBP1-89355]

Immunohistochemistry-Paraffin: OFD1 Antibody [NBP1-89355]

Immunohistochemistry-Paraffin: OFD1 Antibody [NBP1-89355] - Staining of human prostate shows strong cytoplasmic positivity in smooth muscle cells.

Applications for OFD1 Antibody - BSA Free

Application
Recommended Usage

Immunocytochemistry/ Immunofluorescence

Reported in scientific literature (PMID:34078910)

Immunohistochemistry

1:50 - 1:200

Immunohistochemistry-Paraffin

1:50 - 1:200

Western Blot

Reported in scientific literature (PMID: 25180832)
Application Notes
For IHC-Paraffin, HIER pH 6 retrieval is recommended.

Formulation, Preparation, and Storage

Purification

Immunogen affinity purified

Formulation

PBS (pH 7.2) and 40% Glycerol

Format

BSA Free

Preservative

0.02% Sodium Azide

Concentration

Concentrations vary lot to lot. See vial label for concentration. If unlisted please contact technical services.

Shipping

The product is shipped with polar packs. Upon receipt, store it immediately at the temperature recommended below.

Stability & Storage

Store at 4C short term. Aliquot and store at -20C long term. Avoid freeze-thaw cycles.

Background: OFD1

The OFD1 gene is located on the X chromosome and encodes a centrosomal protein. A knockout mouse model has been used to study the effect of mutations in this gene. The mouse gene is also located on the X chromosome, however, unlike the human gene it is not su

Alternate Names

JBTS10, MGC117039, oral-facial-digital syndrome 1, SGBS2

Entrez Gene IDs

8481 (Human)

Gene Symbol

OFD1

UniProt

Additional OFD1 Products

Product Documents for OFD1 Antibody - BSA Free

Certificate of Analysis

To download a Certificate of Analysis, please enter a lot number in the search box below.

Product Specific Notices for OFD1 Antibody - BSA Free

This product is for research use only and is not approved for use in humans or in clinical diagnosis. Primary Antibodies are guaranteed for 1 year from date of receipt.

Loading...
Loading...
Loading...
Loading...