Skip to main content

O-GlcNAcase/OGA/MGEA5 Antibody (9B9) - BSA Free

Novus Biologicals, part of Bio-Techne | Catalog # NBP3-42998

Novus Biologicals, part of Bio-Techne
Discontinued Product
NBP3-42998 has been discontinued. View all O-GlcNAcase/OGA products.

Key Product Details

Species Reactivity

Human

Applications

Immunohistochemistry, Western Blot, ELISA, Immunocytochemistry/ Immunofluorescence

Label

Unconjugated

Antibody Source

Monoclonal Mouse IgG2A Clone # 9B9

Format

BSA Free

Concentration

Please see the vial label for concentration. If unlisted please contact technical services.

Product Specifications

Immunogen

meningioma expressed antigen 5(hyaluronidase) - (Uniprot# O60502)

Clonality

Monoclonal

Host

Mouse

Isotype

IgG2A

Theoretical MW

130 kDa.
Disclaimer note: The observed molecular weight of the protein may vary from the listed predicted molecular weight due to post translational modifications, post translation cleavages, relative charges, and other experimental factors.

Scientific Data Images for O-GlcNAcase/OGA/MGEA5 Antibody (9B9) - BSA Free

O-GlcNAcase/OGA/MGEA5 Antibody (9B9)

Western Blot: O-GlcNAcase/OGA/MGEA5 Antibody (9B9) [NBP3-42998] -

Western Blot: O-GlcNAcase/OGA/MGEA5 Antibody (9B9) [NBP3-42998] - Human brain lysate were subjected to SDS PAGE followed by western blot with (O-GlcNAcase/OGA/MGEA5 antibody) at dilution of 1:600
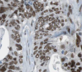
O-GlcNAcase/OGA/MGEA5 Antibody (9B9)

Immunohistochemistry: O-GlcNAcase/OGA/MGEA5 Antibody (9B9) [NBP3-42998] -

Immunohistochemistry: O-GlcNAcase/OGA/MGEA5 Antibody (9B9) [NBP3-42998] - Immunohistochemistry of paraffin-embedded human gliomas using (O-GlcNAcase/OGA/MGEA5 antibody) at dilution of 1:50

Applications for O-GlcNAcase/OGA/MGEA5 Antibody (9B9) - BSA Free

Application
Recommended Usage

Immunocytochemistry/ Immunofluorescence

1:20 - 1:200

Immunohistochemistry

1:20 - 1:200

Western Blot

1:500 - 1:1000

Formulation, Preparation, and Storage

Purification

Protein A or G purified

Formulation

PBS (pH 7.3), 50% glycerol

Format

BSA Free

Preservative

0.02% Sodium Azide

Concentration

Please see the vial label for concentration. If unlisted please contact technical services.

Shipping

The product is shipped with polar packs. Upon receipt, store it immediately at the temperature recommended below.

Stability & Storage

Store at -20C. Avoid freeze-thaw cycles.

Background: O-GlcNAcase/OGA

The dynamic modification of cytoplasmic and nuclear proteins by O-linked N-acetylglucosamine (O-GlcNAc) addition and removal on serine and threonine residues is catalyzed by OGT (MIM 300255), which adds O-GlcNAc, and MGEA5, a glycosidase that removes O-GlcNAc modifications (Gao et al., 2001 [PubMed 11148210]).[supplied by OMIM]

Alternate Names

GH84, HEXC3, Hexosaminidase B, MGEA5, NCOAT, OGA, OGlcNAcase

Gene Symbol

OGA

Additional O-GlcNAcase/OGA Products

Product Documents for O-GlcNAcase/OGA/MGEA5 Antibody (9B9) - BSA Free

Certificate of Analysis

To download a Certificate of Analysis, please enter a lot number in the search box below.

Product Specific Notices for O-GlcNAcase/OGA/MGEA5 Antibody (9B9) - BSA Free

This product is for research use only and is not approved for use in humans or in clinical diagnosis. Primary Antibodies are guaranteed for 1 year from date of receipt.

Loading...
Loading...
Loading...
Loading...