Skip to main content

Nuclear Pore-O-Linked Glycoprotein Antibody (RL1) - BSA Free

Novus Biologicals, part of Bio-Techne | Catalog # NB600-1068

Novus Biologicals, part of Bio-Techne
Discontinued Product
NB600-1068 has been discontinued. View all Nuclear Pore-O-Linked Glycoprotein products.

Key Product Details

Species Reactivity

Validated:

Human, Mouse, Rat, Mammal, Xenopus, Yeast

Cited:

Human

Applications

Immunohistochemistry, Immunohistochemistry-Paraffin, Western Blot, Immunofluorescence, Immunoprecipitation

Label

Unconjugated

Antibody Source

Monoclonal Mouse IgM Clone # RL1

Format

BSA Free

Concentration

Concentrations vary lot to lot. See vial label for concentration. If unlisted please contact technical services.

Product Specifications

Immunogen

Pore complex-lamina fraction purified from rat liver nuclear envelopes.

Reactivity Notes

Cross-reactivity with S. cerevisiae, Xenopus laevis and a wide variety of Mammals. Please note that this antibody is reactive to Mouse and derived from the same host, Mouse. Additional Mouse on Mouse blocking steps may be required for IHC and ICC experiments. Please contact Technical Support for more information.

Localization

Nuclear membrane

Specificity

Detects nuclear pore-O-linked glycoprotein

Clonality

Monoclonal

Host

Mouse

Isotype

IgM

Scientific Data Images for Nuclear Pore-O-Linked Glycoprotein Antibody (RL1) - BSA Free

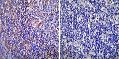
Immunohistochemistry-Paraffin: Nuclear Pore-O-Linked Glycoprotein Antibody (RL1) [NB600-1068]

Immunohistochemistry-Paraffin: Nuclear Pore-O-Linked Glycoprotein Antibody (RL1) [NB600-1068]

Immunohistochemistry-Paraffin: Nuclear Pore-O-Linked Glycoprotein Antibody (RL1) [NB600-1068] - Immunohistochemistry was performed on normal biopsies of deparaffinized Rat lymph node tissue. To expose target proteins, heat induced antigen retrieval was performed using 10mM sodium citrate (pH6.0) buffer, microwaved for 8-15 minutes. Following antigen retrieval tissues were blocked in 3% BSA-PBS for 30 minutes at room temperature. Tissues were then probed at a dilution of 1:200 with a mouse monoclonal antibody recognizing Nuclear Pore-O-Linked Glycoprotein or without primary antibody (negative control) overnight at 4C in a humidified chamber. Tissues were washed extensively with PBST and endogenous peroxidase activity was quenched with a peroxidase suppressor. Tissues were counterstained with hematoxylin and prepped for mounting.
Immunohistochemistry-Paraffin: Nuclear Pore-O-Linked Glycoprotein Antibody (RL1) [NB600-1068]

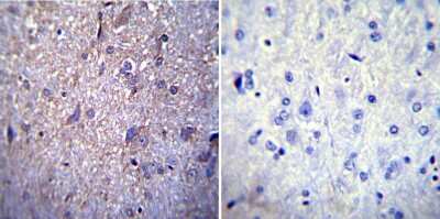
Immunohistochemistry-Paraffin: Nuclear Pore-O-Linked Glycoprotein Antibody (RL1) [NB600-1068]

Immunohistochemistry-Paraffin: Nuclear Pore-O-Linked Glycoprotein Antibody (RL1) [NB600-1068] - Immunohistochemistry was performed on normal biopsies of deparaffinized Rat brain tissue. To expose target proteins, heat induced antigen retrieval was performed using 10mM sodium citrate (pH6.0) buffer, microwaved for 8-15 minutes. Following antigen retrieval tissues were blocked in 3% BSA-PBS for 30 minutes at room temperature. Tissues were then probed at a dilution of 1:200 with a mouse monoclonal antibody recognizing Nuclear Pore-O-Linked Glycoprotein or without primary antibody (negative control) overnight at 4C in a humidified chamber. Tissues were washed extensively with PBST and endogenous peroxidase activity was quenched with a peroxidase suppressor. Tissues were counterstained with hematoxylin and prepped for mounting.
Immunohistochemistry-Paraffin: Nuclear Pore-O-Linked Glycoprotein Antibody (RL1) [NB600-1068]

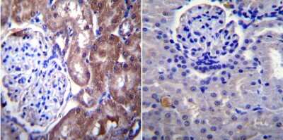
Immunohistochemistry-Paraffin: Nuclear Pore-O-Linked Glycoprotein Antibody (RL1) [NB600-1068]

Immunohistochemistry-Paraffin: Nuclear Pore-O-Linked Glycoprotein Antibody (RL1) [NB600-1068] - Immunohistochemistry was performed on normal biopsies of deparaffinized Rat kidney tissue. To expose target proteins, heat induced antigen retrieval was performed using 10mM sodium citrate (pH6.0) buffer, microwaved for 8-15 minutes. Following antigen retrieval tissues were blocked in 3% BSA-PBS for 30 minutes at room temperature. Tissues were then probed at a dilution of 1:200 with a mouse monoclonal antibody recognizing Nuclear Pore-O-Linked Glycoprotein or without primary antibody (negative control) overnight at 4C in a humidified chamber. Tissues were washed extensively with PBST and endogenous peroxidase activity was quenched with a peroxidase suppressor. Tissues were counterstained with hematoxylin and prepped for mounting.

Applications for Nuclear Pore-O-Linked Glycoprotein Antibody (RL1) - BSA Free

Application
Recommended Usage

Immunofluorescence

1:100

Immunohistochemistry

1:200

Immunohistochemistry-Paraffin

1:10 - 1:500

Immunoprecipitation

1:10 - 1:500

Western Blot

1:1000
Application Notes
WB: Detects up to eight different proteins from the nuclear pore complex (NPC) of approx. 210, 180, 145, 100, 63, 58, 54 and 45 kDa. IF: Staining of NPC O-linked glycoproteins with this antibody results in exclusive labeling of the NPC proteins on a wide variety of mammalian cells as well as S. cerevisiae and Xenopus. Labeling occurs exclusively at the NPC with most of the labeling at the cytoplasmic and nucleoplasmic margins.This antibody, if microinjected inhibits both protein import and RNA export in Xenopus oocytes.

Formulation, Preparation, and Storage

Purification

PEG purified

Formulation

PBS

Format

BSA Free

Preservative

0.05% Sodium Azide

Concentration

Concentrations vary lot to lot. See vial label for concentration. If unlisted please contact technical services.

Shipping

The product is shipped with polar packs. Upon receipt, store it immediately at the temperature recommended below.

Stability & Storage

Store at -20C. Avoid freeze-thaw cycles.

Background: Nuclear Pore-O-Linked Glycoprotein

Diffusion of metabolites and small non-nuclear molecules as well as active, mediated import of protein and export of protein and RNA through the nuclear envelope occurs through nuclear pore complexes or NPC's. NPC's contain up to 100 different polypeptides which have a combined mass of about 125 megadaltons. The channel available for passive transport through the NPC is about 9-10 nm in diameter while carrier mediated changes in the NPC result in a ~25 nm channel used for larger, actively transported molecules. Of the 100 polypeptides, at least 8 of these are O-linked N-acetylglycosamine-modified in mammalian cells. All of the mammalian O-linked glycoproteins contain multiple copies of phenylalanine, glycine dipeptide repeats dispersed throughout part of their sequence. Studies indicate that the NPC O-linked glycoproteins have a direct role in nuclear protein import.

Product Documents for Nuclear Pore-O-Linked Glycoprotein Antibody (RL1) - BSA Free

Certificate of Analysis

To download a Certificate of Analysis, please enter a lot number in the search box below.

Product Specific Notices for Nuclear Pore-O-Linked Glycoprotein Antibody (RL1) - BSA Free

This product is for research use only and is not approved for use in humans or in clinical diagnosis. Primary Antibodies are guaranteed for 1 year from date of receipt.

Loading...
Loading...
Loading...
Loading...