Skip to main content

NIF3L1 Antibody (OTI5A7)

Novus Biologicals, part of Bio-Techne | Catalog # NBP2-01317

Novus Biologicals, part of Bio-Techne
Discontinued Product
NBP2-01317 has been discontinued. View all NIF3L1 products.

Key Product Details

Species Reactivity

Human, Mouse, Rat, Canine, Monkey, Primate

Applications

Immunohistochemistry, Immunohistochemistry-Paraffin, Western Blot, Immunocytochemistry/ Immunofluorescence

Label

Unconjugated

Antibody Source

Monoclonal Mouse IgG2A Clone # OTI5A7

Concentration

0.66 mg/ml

Product Specifications

Immunogen

Full length human recombinant protein of human NIF3L1(NP_068596) produced in HEK293T cell.

Reactivity Notes

Please note that this antibody is reactive to Mouse and derived from the same host, Mouse. Mouse-On-Mouse blocking reagent may be needed for IHC and ICC experiments to reduce high background signal. You can find these reagents under catalog numbers PK-2200-NB and MP-2400-NB. Please contact Technical Support if you have any questions.

Clonality

Monoclonal

Host

Mouse

Isotype

IgG2A

Theoretical MW

38.8 kDa.
Disclaimer note: The observed molecular weight of the protein may vary from the listed predicted molecular weight due to post translational modifications, post translation cleavages, relative charges, and other experimental factors.

Description

Novus Biologicals Mouse NIF3L1 Antibody (OTI5A7) (NBP2-01317) is a monoclonal antibody validated for use in IHC, WB and ICC/IF. All Novus Biologicals antibodies are covered by our 100% guarantee.

Scientific Data Images for NIF3L1 Antibody (OTI5A7)

Western Blot: NIF3L1 Antibody (OTI5A7) [NBP2-01317]

Western Blot: NIF3L1 Antibody (OTI5A7) [NBP2-01317]

Western Blot: NIF3L1 Antibody (OTI5A7) [NBP2-01317] - Analysis of extracts (35ug) from 9 different cell lines by using anti-NIF3L1 monoclonal antibody.
Immunocytochemistry/ Immunofluorescence: NIF3L1 Antibody (OTI5A7) [NBP2-01317]

Immunocytochemistry/ Immunofluorescence: NIF3L1 Antibody (OTI5A7) [NBP2-01317]

Immunocytochemistry/Immunofluorescence: NIF3L1 Antibody (OTI5A7) [NBP2-01317] - Staining of COS7 cells transiently transfected by pCMV6-ENTRY NIF3L1.
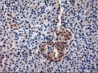
Immunohistochemistry-Paraffin: NIF3L1 Antibody (OTI5A7) [NBP2-01317]

Immunohistochemistry-Paraffin: NIF3L1 Antibody (OTI5A7) [NBP2-01317]

Immunohistochemistry-Paraffin: NIF3L1 Antibody (OTI5A7) [NBP2-01317] - Staining of paraffin-embedded Human prostate tissue using anti-NIF3L1 mouse monoclonal antibody.

Applications for NIF3L1 Antibody (OTI5A7)

Application
Recommended Usage

Immunocytochemistry/ Immunofluorescence

1:100

Immunohistochemistry

1:150

Immunohistochemistry-Paraffin

1:150

Western Blot

1:500-2000

Formulation, Preparation, and Storage

Purification

Immunogen affinity purified

Formulation

PBS (pH 7.3), 1.0% BSA and 50% Glycerol

Preservative

0.02% Sodium Azide

Concentration

0.66 mg/ml

Shipping

The product is shipped with polar packs. Upon receipt, store it immediately at the temperature recommended below.

Stability & Storage

Store at -20C. Avoid freeze-thaw cycles.

Background: NIF3L1

Alternate Names

ALS2CR1, candidate 1, MDS015, NIF3 NGG1 interacting factor 3-like 1 (S. pombe), NIF3-like protein 1, S.pombe homolog)-like 1

Entrez Gene IDs

60491 (Human)

Gene Symbol

NIF3L1

Additional NIF3L1 Products

Product Documents for NIF3L1 Antibody (OTI5A7)

Certificate of Analysis

To download a Certificate of Analysis, please enter a lot number in the search box below.

Product Specific Notices for NIF3L1 Antibody (OTI5A7)

This product is for research use only and is not approved for use in humans or in clinical diagnosis. Primary Antibodies are guaranteed for 1 year from date of receipt.

Loading...
Loading...
Loading...
Loading...