DNA Polymerase epsilon catalytic subunit A Antibody (3C5.1) - BSA Free
Novus Biologicals, part of Bio-Techne | Catalog # NB100-115
Discontinued Product
NB100-115 has been discontinued.
View all DNA Polymerase epsilon catalytic subunit A products.
Key Product Details
Species Reactivity
Validated:
Human, Mouse, Drosophila (Negative), Mustelid, Primate
Cited:
Mouse
Applications
Validated:
Immunohistochemistry, Immunohistochemistry-Paraffin, Western Blot, Immunoprecipitation
Cited:
Western Blot, IF/IHC
Label
Unconjugated
Antibody Source
Monoclonal Mouse IgG2A Clone # 3C5.1
Format
BSA Free
Concentration
1.0 mg/ml
Product Specifications
Immunogen
Human DNA Polymerase epsilon purified from HeLa cells.
Reactivity Notes
Mink samples. This antibody does not work on Drosophilia or the baculovirus host cell, and weakly, if at all, on S. cerivisae POLE.
Localization
Nuclear
Specificity
This is specific to the human DNA pol epsilon and does not recognize DNA pol alpha, beta or delta.
Clonality
Monoclonal
Host
Mouse
Isotype
IgG2A
Theoretical MW
220 kDa.
Disclaimer note: The observed molecular weight of the protein may vary from the listed predicted molecular weight due to post translational modifications, post translation cleavages, relative charges, and other experimental factors.
Disclaimer note: The observed molecular weight of the protein may vary from the listed predicted molecular weight due to post translational modifications, post translation cleavages, relative charges, and other experimental factors.
Scientific Data Images
Western Blot: DNA Polymerase epsilon catalytic subunit A Antibody (3C5.1)BSA Free [NB100-115]
Western Blot: DNA Polymerase epsilon catalytic subunit A Antibody (3C5.1) [NB100-115] - SDS-polyacrylamide gel analysis of HeLa DNA pol purified by Mono S FPLC. The Mono S fraction (0.1 mg) was electrophoresed on a 7% SDS-polyacrylamide gel and stained with silver.Immunohistochemistry-Paraffin: DNA Polymerase epsilon catalytic subunit A Antibody (3C5.1) [NB100-115]
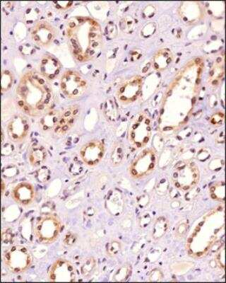
Immunohistochemistry-Paraffin: DNA Polymerase epsilon catalytic subunit A Antibody (3C5.1) [NB100-115] - Analysis of a FFPE tissue section of human kidney using 1:200 dilution of DNA Polymerase epsilon catalytic subunit A [3C5.1] antibody. The staining was developed using HRP labeled anti-mouse secondary antibody and DAB reagent, and nuclei of cells were counter-stained with hematoxylin.Applications
Application
Recommended Usage
Immunohistochemistry
reported in scientific literature (PMID 29935943)
Immunohistochemistry-Paraffin
1:200
Immunoprecipitation
1:10-1:500
Western Blot
5 ug/ml
Application Notes
In WB, this DNA Polymerase epsilon (3C5.1) antibody detects a single band of 220 kDa (in HeLa extracts) representing the catalytic subunit of DNA Polymerase epsilon. NB100-115 will immunoprecipitate, but only in the absence of salt and even then poorly. The observed molecular weight of the protein may vary from the listed predicted molecular weight due to post translational modifications, post translation cleavages, relative charges, and other experimental factors.
Formulation, Preparation, and Storage
Purification
Immunogen affinity purified
Formulation
PBS
Format
BSA Free
Preservative
0.02% Sodium Azide
Concentration
1.0 mg/ml
Shipping
The product is shipped with polar packs. Upon receipt, store it immediately at the temperature recommended below.
Stability & Storage
Aliquot and store at -20C or -80C. Avoid freeze-thaw cycles.
Background: DNA Polymerase epsilon catalytic subunit A
Alternate Names
DKFZp434F222, DNA polymerase epsilon catalytic subunit A, DNA polymerase II subunit A, EC 2.7.7, EC 2.7.7.7, POLE1FLJ21434, polymerase (DNA directed), epsilon
Gene Symbol
POLE
Additional DNA Polymerase epsilon catalytic subunit A Products
Product Specific Notices
This product is for research use only and is not approved for use in humans or in clinical diagnosis. Primary Antibodies are guaranteed for 1 year from date of receipt.
Loading...
Loading...
Loading...
Loading...