C1qTNF10/C1qL2 Antibody
Novus Biologicals, part of Bio-Techne | Catalog # NBP2-34090
Key Product Details
Species Reactivity
Applications
Label
Antibody Source
Concentration
Product Specifications
Immunogen
Reactivity Notes
Clonality
Host
Isotype
Scientific Data Images for C1qTNF10/C1qL2 Antibody
Immunohistochemistry-Paraffin: C1qTNF10/C1qL2 Antibody [NBP2-34090]
Immunohistochemistry-Paraffin: C1qTNF10/C1qL2 Antibody [NBP2-34090] - Staining of human Liver shows no positivity in hepatocytes as expected.Immunohistochemistry-Paraffin: C1qTNF10/C1qL2 Antibody [NBP2-34090]
Immunohistochemistry-Paraffin: C1qTNF10/C1qL2 Antibody [NBP2-34090] - Staining of human Cerebral cortex shows weak extracellular space positivity in neuronal cells.Immunohistochemistry-Paraffin: C1qTNF10/C1qL2 Antibody [NBP2-34090]
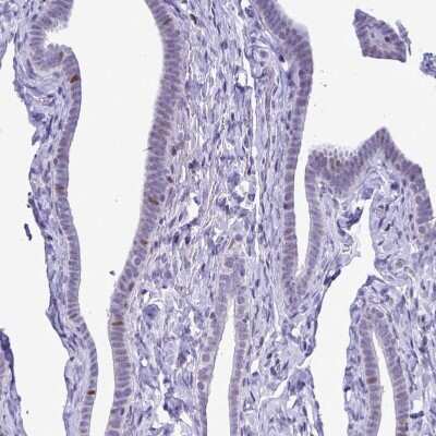
Immunohistochemistry-Paraffin: C1qTNF10/C1qL2 Antibody [NBP2-34090] - Staining of human Fallopian tube shows no positivity in glandular cells as expected.Applications for C1qTNF10/C1qL2 Antibody
Immunohistochemistry
Immunohistochemistry-Paraffin
Formulation, Preparation, and Storage
Purification
Formulation
Preservative
Concentration
Shipping
Stability & Storage
Background: C1qTNF10/C1qL2
C1qTNF proteins constitute a highly conserved family of Acrp30/Adiponectin paralogs that share a modular organization comprising an N-terminal signal peptide, a short variable region, a collagenous domain and a C-terminal globular domain. C1qTNF proteins are predicted to have trimeric structures that assemble into hexameric and higher order molecular forms. C1qTNF3, also known as CORS26, is predominantly expressed in cartilage and is induced in mature adipocytes. C1qTNF10, also known as C1qL2, is a protein that shows 28% - 30% sequence identity with C1q subunits A, B, and C. It is predicted to contain one collagen-like and C1q domain. Mouse and human C1qTNF10 share over 90% amino acid sequence identity.
Long Name
Alternate Names
Gene Symbol
UniProt
Additional C1qTNF10/C1qL2 Products
Product Documents for C1qTNF10/C1qL2 Antibody
Product Specific Notices for C1qTNF10/C1qL2 Antibody
This product is for research use only and is not approved for use in humans or in clinical diagnosis. Primary Antibodies are guaranteed for 1 year from date of receipt.