Skip to main content

ASZ1 Antibody - Azide and BSA Free

Novus Biologicals, part of Bio-Techne | Catalog # NBP2-92863

Novus Biologicals, part of Bio-Techne
Discontinued Product
NBP2-92863 has been discontinued. View all ASZ1 products.

Key Product Details

Species Reactivity

Human, Mouse, Rat

Applications

Immunocytochemistry/ Immunofluorescence, Immunohistochemistry, Immunohistochemistry-Paraffin, Western Blot

Label

Unconjugated

Antibody Source

Polyclonal Rabbit IgG

Format

Azide and BSA Free

Concentration

Please see the vial label for concentration. If unlisted please contact technical services.

Product Specifications

Immunogen

Recombinant fusion protein containing a sequence corresponding to amino acids 1-350 of human ASZ1 (NP_570124.1). MAASALRGLPVAGGGESSESEDDGWEIGYLDRTSQKLKRLLPIEEKKEKFKKAMTIGDVSLVQELLDSGISVDSNFQYGWTPLMYAASVANAELVRVLLDRGANASFEKDKQSILITACSAHGSEEQILKCVELLLSRNADPNVACRRLMTPIMYAARDGHTQVVALLVAHGAEVNTQDENGYTALTWAARQGHKNIVLKLLELGANKMLQTKDGKMPSEIAKRNKHHEIFNLLSFTLNPLEGKLQQLTKEDTICKILTTDSDREKDHIFSSYTAFGDLEVFLHGLGLEHMTDLLKERDITLRHLLTMREDEFTKNGITSKDQQKILAALKELQVEEIQFGELSEETKLE

Clonality

Polyclonal

Host

Rabbit

Isotype

IgG

Scientific Data Images for ASZ1 Antibody - Azide and BSA Free

Western Blot: ASZ1 AntibodyAzide and BSA Free [NBP2-92863]

Western Blot: ASZ1 AntibodyAzide and BSA Free [NBP2-92863]

Western Blot: ASZ1 Antibody [NBP2-92863] - Analysis of extracts of various cell lines, using ASZ1 at 1:1000 dilution.Secondary antibody: HRP Goat Anti-Rabbit IgG (H+L) at 1:10000 dilution.Lysates/proteins: 25ug per lane.Blocking buffer: 3% nonfat dry milk in TBST.Detection: ECL Basic Kit .Exposure time: 1s.
Immunocytochemistry/ Immunofluorescence: ASZ1 Antibody - Azide and BSA Free [NBP2-92863]

Immunocytochemistry/ Immunofluorescence: ASZ1 Antibody - Azide and BSA Free [NBP2-92863]

Immunocytochemistry/Immunofluorescence: ASZ1 Antibody [NBP2-92863] - Analysis of rat testis cells using ASZ1 at dilution of 1:100. Blue: DAPI for nuclear staining.
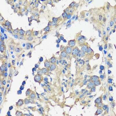
Immunohistochemistry-Paraffin: ASZ1 Antibody - Azide and BSA Free [NBP2-92863]

Immunohistochemistry-Paraffin: ASZ1 Antibody - Azide and BSA Free [NBP2-92863]

Immunohistochemistry-Paraffin: ASZ1 Antibody [NBP2-92863] - Rat testis using ASZ1 antibody at dilution of 1:100 (40x lens).

Applications for ASZ1 Antibody - Azide and BSA Free

Application
Recommended Usage

Immunocytochemistry/ Immunofluorescence

1:50-1:100

Immunohistochemistry

1:50-1:100

Western Blot

1:500-1:2000

Formulation, Preparation, and Storage

Purification

Affinity purified

Formulation

PBS (pH 7.3), 50% glycerol

Format

Azide and BSA Free

Preservative

0.01% Thimerosal

Concentration

Please see the vial label for concentration. If unlisted please contact technical services.

Shipping

The product is shipped with polar packs. Upon receipt, store it immediately at the temperature recommended below.

Stability & Storage

Store at -20C. Avoid freeze-thaw cycles.

Background: ASZ1

ASZ1 - ankyrin repeat, SAM and basic leucine zipper domain containing 1

Alternate Names

ALP1Germ cell-specific ankyrin, SAM and basic leucine zipper domain-containingprotein, ANKL14933400N19Rik, ankyrin repeat, SAM and basic leucine zipper domain containing 1, ankyrin repeat, SAM and basic leucine zipper domain-containing protein 1, ankyrin-like 1, Ankyrin-like protein 1, CT1.19, GASZC7orf7, MGC26634, Orf3

Gene Symbol

ASZ1

Additional ASZ1 Products

Product Documents for ASZ1 Antibody - Azide and BSA Free

Certificate of Analysis

To download a Certificate of Analysis, please enter a lot number in the search box below.

Product Specific Notices for ASZ1 Antibody - Azide and BSA Free

This product is for research use only and is not approved for use in humans or in clinical diagnosis. Primary Antibodies are guaranteed for 1 year from date of receipt.

Loading...
Loading...
Loading...
Loading...

⚠ WARNING: This product can expose you to chemicals including Methotrexate, which is known to the State of California to cause reproductive toxicity with developmental effects. For more information, go to www.P65Warnings.ca.gov