Skip to main content

ACMSD Antibody - BSA Free

Novus Biologicals, part of Bio-Techne | Catalog # NBP1-33499

Novus Biologicals, part of Bio-Techne
Discontinued Product
NBP1-33499 has been discontinued. View all ACMSD products.

Key Product Details

Species Reactivity

Validated:

Human, Mouse

Cited:

Human, Mouse

Applications

Validated:

Immunohistochemistry, Immunohistochemistry-Paraffin, Western Blot

Cited:

Western Blot

Label

Unconjugated

Antibody Source

Polyclonal Rabbit IgG

Format

BSA Free

Concentration

Concentrations vary lot to lot. See vial label for concentration. If unlisted please contact technical services.

Product Specifications

Immunogen

Recombinant protein encompassing a sequence within the center region of human ACMSD. The exact sequence is proprietary.

Clonality

Polyclonal

Host

Rabbit

Isotype

IgG

Theoretical MW

38 kDa.
Disclaimer note: The observed molecular weight of the protein may vary from the listed predicted molecular weight due to post translational modifications, post translation cleavages, relative charges, and other experimental factors.

Description

Novus Biologicals Rabbit ACMSD Antibody - BSA Free (NBP1-33499) is a polyclonal antibody validated for use in IHC and WB. Anti-ACMSD Antibody: Cited in 2 publications. All Novus Biologicals antibodies are covered by our 100% guarantee.

Scientific Data Images for ACMSD Antibody - BSA Free

Western Blot: ACMSD Antibody [NBP1-33499]

Western Blot: ACMSD Antibody [NBP1-33499]

Western Blot: ACMSD Antibody [NBP1-33499] - Various whole cell extracts (30 ug) were separated by 10% SDS-PAGE, and the membrane was blotted with ACMSD antibody [N2C3] diluted at 1:1000. The HRP-conjugated anti-rabbit IgG antibody (NBP2-19301) was used to detect the primary antibody.
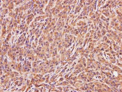
Immunohistochemistry-Paraffin: ACMSD Antibody [NBP1-33499]

Immunohistochemistry-Paraffin: ACMSD Antibody [NBP1-33499]

Immunohistochemistry-Paraffin: ACMSD Antibody [NBP1-33499] - SAS xenograft, using ACMSD antibody at 1:100 dilution. Antigen Retrieval: Trilogy™ (EDTA based, pH 8.0) buffer, 15min.
Western Blot: ACMSD Antibody [NBP1-33499]

Western Blot: ACMSD Antibody [NBP1-33499]

Western Blot: ACMSD Antibody [NBP1-33499] - Sample (50 ug of whole cell lysate) A: Mouse brain 10% SDS PAGE; antibody diluted at 1:1000.

Applications for ACMSD Antibody - BSA Free

Application
Recommended Usage

Immunohistochemistry

1:100-1:1000

Immunohistochemistry-Paraffin

1:100-1:1000

Western Blot

1:500-1:3000

Formulation, Preparation, and Storage

Purification

Antigen Affinity-purified

Formulation

PBS (pH 7), 20% Glycerol

Format

BSA Free

Preservative

0.025% Proclin 300

Concentration

Concentrations vary lot to lot. See vial label for concentration. If unlisted please contact technical services.

Shipping

The product is shipped with polar packs. Upon receipt, store it immediately at the temperature recommended below.

Stability & Storage

Aliquot and store at -20C or -80C. Avoid freeze-thaw cycles.

Background: ACMSD

The neuronal excitotoxin quinolinate is an intermediate in the de novo synthesis pathway of NAD from tryptophan, and has been implicated in the pathogenesis of several neurodegenerative disorders. Quinolinate is derived from alpha-amino-beta-carboxy-muconate-epsilon-semialdehyde (ACMS). ACMSD (ACMS decarboxylase; EC 4.1.1.45) can divert ACMS to a benign catabolite and thus prevent the accumulation of quinolinate from ACMS.[supplied by OMIM]

Alternate Names

aminocarboxymuconate semialdehyde decarboxylase, EC 4.1.1.45,2-amino-3-carboxymuconate-6-semialdehyde decarboxylase, Picolinate carboxylase

Gene Symbol

ACMSD

Additional ACMSD Products

Product Documents for ACMSD Antibody - BSA Free

Certificate of Analysis

To download a Certificate of Analysis, please enter a lot number in the search box below.

Product Specific Notices for ACMSD Antibody - BSA Free

This product is for research use only and is not approved for use in humans or in clinical diagnosis. Primary Antibodies are guaranteed for 1 year from date of receipt.

Loading...
Loading...
Loading...
Loading...

⚠ WARNING: This product can expose you to chemicals including mercury, which is known to the State of California to cause reproductive toxicity with developmental effects.  For more information go to www.P65Warnings.ca.gov.