Skip to main content

Key Product Details

Validated by

Biological Validation

Species Reactivity

Validated:

Human, Mouse

Cited:

Human, Mouse, Rat, Frog - Xenopus (African Clawed Frog)

Applications

Validated:

Immunohistochemistry, Western Blot, Immunocytochemistry, Simple Western, Chromatin Immunoprecipitation (ChIP)

Cited:

Immunohistochemistry, Western Blot, Flow Cytometry, Immunocytochemistry, Simple Western, Immunoprecipitation, Chromatin Immunoprecipitation (ChIP)

Label

Unconjugated

Antibody Source

Polyclonal Goat IgG

Product Specifications

Immunogen

E. coli-derived recombinant human Smad3
Ser2-Ala230
Accession # P84022

Specificity

Detects human, mouse, and rat Smad2/3 in Western blots. Predicted to detect rat based on sequence homology.

Clonality

Polyclonal

Host

Goat

Isotype

IgG

Scientific Data Images for Human/Mouse Smad2/3 Antibody

Detection of Human/Mouse Smad2/3 antibody by Western Blot.

Detection of Human/Mouse Smad2/3 by Western Blot.

Western blot shows lysates of A549 human lung carcinoma cell line, Jurkat human acute T cell leukemia cell line, HEK293 human embryonic kidney cell line, and C2C12 mouse myoblast cell line. PVDF membrane was probed with 0.5 µg/mL Goat Anti-Human/Mouse Smad2/3 Antigen Affinity-purified Polyclonal Antibody (Catalog # AF3797) followed by HRP-conjugated Anti-Goat IgG Secondary Antibody (Catalog # HAF109). For additional reference, recombinant human Smad2 and Smad3 were included. Specific bands for Smad2 were detected at approximately 64 and 58 kDa (as indicated). This experiment was conducted under reducing conditions and using Immunoblot Buffer Group 2.
Detection of Smad2/3-regulated Genes antibody by Chromatin Immunoprecipitation.

Detection of Smad2/3-regulated Genes by Chromatin Immunoprecipitation.

Jurkat human acute T cell leukemia cell line treated with 50 ng/mL PMA and 200 ng/mL calcium ionomycin for 30 minutes was fixed using formaldehyde, resuspended in lysis buffer, and sonicated to shear chromatin. Smad2/3/DNA complexes were immunoprecipitated using 5 µg Goat Anti-Human/Mouse Smad2/3 Antigen Affinity-purified Polyclonal Antibody (Catalog # AF3797) or control antibody (Catalog # AB-108-C) for 15 minutes in an ultrasonic bath, followed by Biotinylated Anti-Goat IgG Secondary Antibody (Catalog # BAF109). Immunocomplexes were captured using 50 µL of MagCellect Streptavidin Ferrofluid (Catalog # MAG999) and DNA was purified using chelating resin solution. Thec-mycpromoter was detected by standard PCR.
Smad2/3 antibody in MCF-7 Human Cell Line by Immunocytochemistry (ICC).

Smad2/3 in MCF‑7 Human Cell Line.

Smad2/3 was detected in immersion fixed MCF-7 human breast cancer cell line induced (upper panel) or non-induced (lower panel) to undergo epithelial-mesenchymal transition (EMT) using Goat Anti-Human/Mouse Smad2/3 Antigen Affinity-purified Polyclonal Antibody (Catalog # AF3797) at 10 µg/mL for 3 hours at room temperature. Cells were stained using the NorthernLights™ 557-conjugated Anti-Goat IgG Secondary Antibody (red; Catalog # NL001) and counterstained with DAPI (blue). Specific staining was localized to cytoplasm and, in EMT-induced cells, nuclei. View our protocol for Fluorescent ICC Staining of Cells on Coverslips.

Applications for Human/Mouse Smad2/3 Antibody

Application
Recommended Usage

Chromatin Immunoprecipitation (ChIP)

5 µg/5 x 106 cells
Sample: PMA and calcium ionomycin treated Jurkat human acute T cell leukemia cell line chromatin, c-myc promoter detected by standard PCR

Immunocytochemistry

5-15 µg/mL
Sample: Immersion fixed MCF‑7 human breast cancer cell line non-induced or induced to undergo epithelial-mesenchymal transition

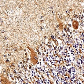
Immunohistochemistry

3-15 µg/mL
Sample: Immersion fixed paraffin-embedded sections of human brain (cortex and cerebellum) 

Simple Western

25 µg/mL
Sample: A549 human lung carcinoma cell line, COLO 205 human colorectal adenocarcinoma cell line, and HT‑29 human colon adenocarcinoma cell line

Western Blot

0.5 µg/mL
Sample: A549 human lung carcinoma cell line, Jurkat human acute T cell leukemia cell line, HEK293 human embryonic kidney cell line, and C2C12 mouse myoblast cell line

Reviewed Applications

Read 4 reviews rated 4.8 using AF3797 in the following applications:

Formulation, Preparation, and Storage

Purification

Antigen Affinity-purified

Reconstitution

Reconstitute at 0.2 mg/mL in sterile PBS. For liquid material, refer to CoA for concentration.

Reconstitution Buffer Available:
Size / Price
Qty
Loading...

Formulation

Lyophilized from a 0.2 μm filtered solution in PBS with Trehalose. *Small pack size (SP) is supplied either lyophilized or as a 0.2 µm filtered solution in PBS.

Shipping

Lyophilized product is shipped at ambient temperature. Liquid small pack size (-SP) is shipped with polar packs. Upon receipt, store immediately at the temperature recommended below.

Stability & Storage

Use a manual defrost freezer and avoid repeated freeze-thaw cycles.
  • 12 months from date of receipt, -20 to -70 °C as supplied.
  • 1 month, 2 to 8 °C under sterile conditions after reconstitution.
  • 6 months, -20 to -70 °C under sterile conditions after reconstitution.

Background: Smad2/3

Smads are a family of intracellular proteins that transmit transforming growth factor beta (TGF-beta) superfamily signals from the cell surface to the nucleus. The Smad family is divided into three subclasses: receptor regulated Smads, (Smads 1, 2, 3, 5 and 8); the common partner, (Smad4); and the inhibitory Smads, (Smads 6 and 7). The binding of TGF-beta or activin to their cognate receptor induces phosphorylation of Smads 2 and 3. The activated Smads associate with the common-mediator subunit, Smad4, and the heteromeric complex translocates into the nucleus to initiate transcription. Smad3, also known as Mothers Against Decapentaplegic homolog 3 (MADH3), shares 83% amino acid identity with Smad2, also known as Mothers Against Decapentaplegic homolog 2 (MADH2). Human Smad2 has 99% identity to mouse and rat Smad2. Human Smad3 has 99% identity to mouse and rat Smad3.

Long Name

Mothers Against DPP Homolog 2/3

Alternate Names

hMAD-2, hSMAD2, JV18, JV18-1SMAD, mothers against DPP homolog 2 (Drosophila), MAD homolog 2, Mad protein homolog, Mad, mothers against decapentaplegic homolog 2, MADH2MGC34440, MADR2MGC22139, Mad-related protein 2, mother against DPP homolog 2, mothers against decapentaplegic homolog 2, Mothers against DPP homolog 2, Sma- and Mad-related protein 2, SMAD 2, SMAD family member 2MAD, mothers against decapentaplegic homolog 2 (Drosophila), SMAD, mothers against DPP homolog 2, Smad2

UniProt

Additional Smad2/3 Products

Product Documents for Human/Mouse Smad2/3 Antibody

Certificate of Analysis

To download a Certificate of Analysis, please enter a lot number in the search box below.

Note: Certificate of Analysis not available for kit components.

Product Specific Notices for Human/Mouse Smad2/3 Antibody

For research use only

Loading...
Loading...
Loading...
Loading...