Skip to main content

Key Product Details

Species Reactivity

Validated:

Human

Cited:

Human, Mouse, Rat, Transgenic Mouse

Applications

Validated:

Immunohistochemistry, Western Blot, Immunocytochemistry

Cited:

Immunohistochemistry, Immunohistochemistry-Frozen, Western Blot, Flow Cytometry, Immunocytochemistry

Label

Unconjugated

Antibody Source

Polyclonal Goat IgG

Product Specifications

Immunogen

E. coli-derived recombinant human Pax2
Asp229-Pro363
Accession # Q02962

Specificity

Detects human Pax2 in direct ELISAs and Western blots.

Clonality

Polyclonal

Host

Goat

Isotype

IgG

Scientific Data Images for Human Pax2 Antibody

Detection of Mouse Pax2 by Western Blot.

Western blot shows lysates of mouse fetal kidney. PVDF Membrane was probed with 1 µg/mL of Goat Anti-Human Pax2 Antigen Affinity-purified Polyclonal Antibody (Catalog # AF3364) followed by HRP-conjugated Anti-Goat IgG Secondary Antibody (HAF017). A specific band was detected for Pax2 at approximately 47 kDa (as indicated). This experiment was conducted under reducing conditions and using Western Blot Buffer Group 1.
Pax2 antibody in BG01V Human Embyonic Stem Cells by Immunocytochemistry (ICC).

Pax2 in BG01V Human Embyonic Stem Cells.

Pax2 was detected in immersion fixed BG01V human embryonic stem cells differentiated into the early otic lineage using Goat Anti-Human Pax2 Antigen Affinity-purified Polyclonal Antibody (Catalog # AF3364) at 10 µg/mL for 3 hours at room temperature. Cells were stained using the NorthernLights™ 557-conjugated Anti-Goat IgG Secondary Antibody (red; NL001) and counterstained with DAPI (blue). Specific staining was localized to nuclei. View our protocol for Fluorescent ICC Staining of Stem Cells on Coverslips.

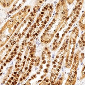
Pax2 in Human Kidney.

Pax2 was detected in immersion fixed paraffin-embedded sections of human kidney using Goat Anti-Human Pax2 Antigen Affinity-purified Polyclonal Antibody (Catalog # AF3364) at 1 µg/mL for 1 hour at room temperature followed by incubation with the Anti-Goat IgG VisUCyte™ HRP Polymer Antibody (VC004). Before incubation with the primary antibody, tissue was subjected to heat-induced epitope retrieval using Antigen Retrieval Reagent-Basic (CTS013). Tissue was stained using DAB (brown) and counterstained with hematoxylin (blue). Specific staining was localized to cell nuclei in convoluted tubules. Staining was performed using our protocol for IHC Staining with VisUCyte HRP Polymer Detection Reagents.

Applications for Human Pax2 Antibody

Application
Recommended Usage

Immunocytochemistry

5-15 µg/mL
Sample: Immersion fixed HEK293 human embryonic kidney cell line and BG01V human embryonic stem cells differentiated into early otic lineage

Immunohistochemistry

1-15 µg/mL
Sample: Immersion fixed paraffin-embedded sections of human kidney

Western Blot

1 µg/mL
Sample: Mouse fetal kidney

Reviewed Applications

Read 2 reviews rated 4 using AF3364 in the following applications:

Formulation, Preparation, and Storage

Purification

Antigen Affinity-purified

Reconstitution

Reconstitute at 0.2 mg/mL in sterile PBS. For liquid material, refer to CoA for concentration.

Reconstitution Buffer Available:
Size / Price
Qty
Loading...

Formulation

Lyophilized from a 0.2 μm filtered solution in PBS with Trehalose. *Small pack size (SP) is supplied either lyophilized or as a 0.2 µm filtered solution in PBS.

Shipping

Lyophilized product is shipped at ambient temperature. Liquid small pack size (-SP) is shipped with polar packs. Upon receipt, store immediately at the temperature recommended below.

Stability & Storage

Use a manual defrost freezer and avoid repeated freeze-thaw cycles.
  • 12 months from date of receipt, -20 to -70 °C as supplied.
  • 1 month, 2 to 8 °C under sterile conditions after reconstitution.
  • 6 months, -20 to -70 °C under sterile conditions after reconstitution.

Background: Pax2

Pax2 is a 40-45 kDa protein belonging to the small but developmentally important family of transcription regulators. Human Pax2 is a 416 amino acid (aa) residue protein with an N-terminal 128 aa DNA-binding paired box domain, a centrally-located octapeptide motif and a C-terminal truncated homeodomain. Based on the presence of the structural domains, Pax2 belongs to subgroup 2 in the Pax family. Pax2 is important for stem cell survival and lineage commitment during development. Pax2 is also expressed in various carcinomas where it seems to mediate anti-apoptotic functions. At least five splice isoforms of human Pax2 have been described within the region used as immunogen (shared by all isoforms). Human and mouse Pax2 share 98% aa sequence identity.

Long Name

Paired Box Gene 2

Alternate Names

paired box 2, paired box gene 2, paired box homeotic gene 2, paired box protein Pax-2

Entrez Gene IDs

5076 (Human); 18504 (Mouse); 293992 (Rat)

Gene Symbol

PAX2

UniProt

Additional Pax2 Products

Product Documents for Human Pax2 Antibody

Certificate of Analysis

To download a Certificate of Analysis, please enter a lot number in the search box below.

Note: Certificate of Analysis not available for kit components.

Product Specific Notices for Human Pax2 Antibody

For research use only

Loading...
Loading...
Loading...
Loading...