Human Helios Antibody
R&D Systems, part of Bio-Techne | Catalog # MAB73091
Conjugate
Catalog #
Key Product Details
Species Reactivity
Human
Applications
Immunohistochemistry, Western Blot
Label
Unconjugated
Antibody Source
Monoclonal Mouse IgG1 Clone # 736423
Product Specifications
Immunogen
E. coli-derived recombinant human Helios
Thr3-Gln97
Accession # Q9UKS7
Thr3-Gln97
Accession # Q9UKS7
Specificity
Detects human Helios in direct ELISAs.
Clonality
Monoclonal
Host
Mouse
Isotype
IgG1
Scientific Data Images for Human Helios Antibody
Detection of Human Helios by Western Blot.
Western blot shows lysates of Jurkat human acute T cell leukemia cell line. Gels were loaded with 30 µg of cytoplasmic (Cyto) and 15 µg of nuclear (Nuc) extracts. PVDF membrane was probed with 1 µg/mL of Mouse Anti-Human Helios Monoclonal Antibody (Catalog # MAB73091) followed by HRP-conjugated Anti-Mouse IgG Secondary Antibody (Catalog # HAF007). A specific band was detected for Helios at approximately 60 kDa (as indicated). This experiment was conducted under reducing conditions and using Immunoblot Buffer Group 1.Helios in Human Thymus.
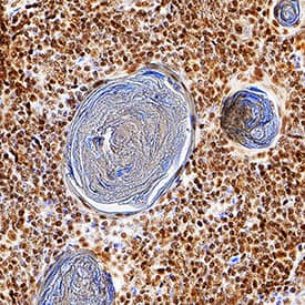
Helios was detected in immersion fixed paraffin-embedded sections of human thymus using Mouse Anti-Human Helios Monoclonal Antibody (Catalog # MAB73091) at 0.5 µg/mL for 1 hour at room temperature followed by incubation with the Anti-Mouse IgG VisUCyte™ HRP Polymer Antibody (Catalog # VC001). Tissue was stained using DAB (brown) and counterstained with hematoxylin (blue). Specific staining was localized to nuclei in cells around Hassall's corpuscles. View our protocol for IHC Staining with VisUCyte HRP Polymer Detection Reagents.Applications for Human Helios Antibody
Application
Recommended Usage
Immunohistochemistry
0.5-25 µg/mL
Sample: Immersion fixed paraffin-embedded sections of human thymus
Sample: Immersion fixed paraffin-embedded sections of human thymus
Western Blot
1 µg/mL
Sample: Jurkat human acute T cell leukemia cell line
Sample: Jurkat human acute T cell leukemia cell line
Reviewed Applications
Read 2 reviews rated 4.5 using MAB73091 in the following applications:
Formulation, Preparation, and Storage
Purification
Protein A or G purified from hybridoma culture supernatant
Reconstitution
Sterile PBS to a final concentration of 0.5 mg/mL. For liquid material, refer to CoA for concentration.
Formulation
Lyophilized from a 0.2 μm filtered solution in PBS with Trehalose. *Small pack size (SP) is supplied either lyophilized or as a 0.2 µm filtered solution in PBS.
Shipping
Lyophilized product is shipped at ambient temperature. Liquid small pack size (-SP) is shipped with polar packs. Upon receipt, store immediately at the temperature recommended below.
Stability & Storage
Use a manual defrost freezer and avoid repeated freeze-thaw cycles.
- 12 months from date of receipt, -20 to -70 °C as supplied.
- 1 month, 2 to 8 °C under sterile conditions after reconstitution.
- 6 months, -20 to -70 °C under sterile conditions after reconstitution.
Background: Helios
Long Name
DNA-binding Protein Helios
Alternate Names
IKZF2, ZNF1A2, ZNFN1A2
Gene Symbol
IKZF2
UniProt
Additional Helios Products
Product Documents for Human Helios Antibody
Product Specific Notices for Human Helios Antibody
For research use only
Loading...
Loading...
Loading...
Loading...