Skip to main content

Human CXCL17/VCC-1 Antibody

R&D Systems, part of Bio-Techne | Catalog # MAB42071

R&D Systems, part of Bio-Techne

Key Product Details

Species Reactivity

Human

Applications

Immunohistochemistry, Immunocytochemistry

Label

Unconjugated

Antibody Source

Monoclonal Mouse IgG1 Clone # 422204

Product Specifications

Immunogen

E. coli-derived recombinant human CXCL17/VCC‑1
Leu24-Leu119
Accession # Q6UXB2

Specificity

Detects human CXCL17/VCC-1 in direct ELISAs.

Clonality

Monoclonal

Host

Mouse

Isotype

IgG1

Scientific Data Images for Human CXCL17/VCC-1 Antibody

CXCL17/VCC-1 in RT-4 Human Cell Line.

CXCL17/VCC-1 was detected in immersion fixed RT-4 human urinary bladder transitional cell papilloma cell line (positive staining) and THP-1 human acute monocytic leukemia cell line (negative staining) using Mouse Anti-Human CXCL17/VCC-1 Monoclonal Antibody (Catalog # MAB42071) at 8 µg/mL for 3 hours at room temperature. Cells were stained using the NorthernLights™ 557-conjugated Anti-Mouse IgG Secondary Antibody (red; NL007) and counterstained with DAPI (blue). Specific staining was localized to cell surface and cytoplasm. Staining was performed using our protocol for Fluorescent ICC Staining of Non-adherent Cells.

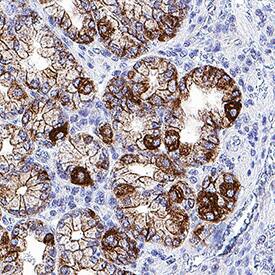
CXCL17/VCC-1 in Human Stomach.

CXCL17/VCC-1 was detected in immersion fixed paraffin-embedded sections of human stomach using Mouse Anti-Human CXCL17/VCC-1 Monoclonal Antibody (Catalog # MAB42071) at 5 µg/mL for 1 hour at room temperature followed by incubation with the Anti-Mouse IgG VisUCyte™ HRP Polymer Antibody (VC001). Before incubation with the primary antibody, tissue was subjected to heat-induced epitope retrieval using Antigen Retrieval Reagent-Basic (CTS013). Tissue was stained using DAB (brown) and counterstained with hematoxylin (blue). Specific staining was localized to cell surface and cytoplasm in gastric glands. Staining was performed using our protocol for IHC Staining with VisUCyte HRP Polymer Detection Reagents.

Applications for Human CXCL17/VCC-1 Antibody

Application
Recommended Usage

Immunocytochemistry

8-25 µg/mL
Sample: Immersion fixed RT‑4 human urinary bladder transitional cell papilloma cell line

Immunohistochemistry

5-25 µg/mL
Sample: Immersion fixed paraffin-embedded sections of human stomach

Formulation, Preparation, and Storage

Purification

Protein A or G purified from hybridoma culture supernatant

Reconstitution

Reconstitute at 0.5 mg/mL in sterile PBS. For liquid material, refer to CoA for concentration.

Reconstitution Buffer Available:
Size / Price
Qty
Loading...

Formulation

Lyophilized from a 0.2 μm filtered solution in PBS with Trehalose. *Small pack size (SP) is supplied either lyophilized or as a 0.2 µm filtered solution in PBS.

Shipping

Lyophilized product is shipped at ambient temperature. Liquid small pack size (-SP) is shipped with polar packs. Upon receipt, store immediately at the temperature recommended below.

Stability & Storage

Use a manual defrost freezer and avoid repeated freeze-thaw cycles.
  • 12 months from date of receipt, -20 to -70 °C as supplied.
  • 1 month, 2 to 8 °C under sterile conditions after reconstitution.
  • 6 months, -20 to -70 °C under sterile conditions after reconstitution.

Background: CXCL17/VCC-1

CXCL17, also known as dendritic cell and monocyte chemokine-like protein (DMC) and VEGF-correlated chemokine-1 (VCC-1), is a secreted molecule with a size and predicted three-dimensional folding pattern similar to that of chemokines CXCL8/IL-8 and CXCL14/BRAK (1, 2). It has no predicted N-glycosylation site. Cleavage of a 23 amino acid (aa) signal sequence yields the mature 96 aa human CXCL17. CXCL17 is constitutively produced by airway and intestinal epithelium (1). It induces the chemotaxis of quiescent, but not LPS-activated peripheral blood monocytes and dendritic cells (1). CXCL17 expression is increased in endothelial cells when they are induced to form tubes in vitro (2). Transgenic overexpression in NIH3T3 cells causes upregulation of proteins such as VEGF and FGF basic, and increases cell growth rate and tumorigenicity (2). CXCL17, plus two other chemokines that play roles in angiogenesis, CXCL1/GRO and CXCL8/IL-8, show a correlated expression pattern with VEGF in primary lung, breast and esophageal tumors (2). CXCL17 is, therefore, suggested to play a role in tumor angiogenesis. Mature human CXCL17 shares 73%, 71% and 64% amino acid sequence identity with bovine, mouse and rat CXCL17, respectively.

References

  1. Pisabarro, M.T. et al. (2006) J. Immunol. 176:2069.
  2. Weinstein, E.J. et al. (2006) Biochem. Biophys. Res. Commun. 350:74.

Alternate Names

CXCL17, DMC, VCC-1, VCC1

Entrez Gene IDs

284340 (Human); 232983 (Mouse)

Gene Symbol

CXCL17

UniProt

Additional CXCL17/VCC-1 Products

Product Documents for Human CXCL17/VCC-1 Antibody

Certificate of Analysis

To download a Certificate of Analysis, please enter a lot number in the search box below.

Note: Certificate of Analysis not available for kit components.

Product Specific Notices for Human CXCL17/VCC-1 Antibody

For research use only

Loading...
Loading...
Loading...
Loading...