Skip to main content

Recombinant SARS-CoV-2 B.1.324.1 Spike RBD His Protein, CF

R&D Systems, part of Bio-Techne | Catalog # 10830-CV

E484K, S494P, N501Y
R&D Systems, part of Bio-Techne
Catalog #
Availability
Size / Price
Qty
Loading...
10830-CV-100

Key Product Details

  • R&D Systems HEK293-derived Recombinant SARS-CoV-2 B.1.324.1 Spike RBD His Protein (10830-CV)
  • Quality control testing to verify active proteins with lot specific assays by in-house scientists
  • All R&D Systems proteins are covered with a 100% guarantee

Source

HEK293

Accession #

Conjugate

Unconjugated

Applications

Bioactivity

Product Specifications

Source

Human embryonic kidney cell, HEK293-derived sars-cov-2 Spike RBD protein
Arg319-Phe541 (Glu484Lys, Ser494Pro, Asn501Tyr), with a C-terminal 6-His tag

Purity

>95%, by SDS-PAGE visualized with Silver Staining and quantitative densitometry by Coomassie® Blue Staining.

Endotoxin Level

<0.10 EU per 1 μg of the protein by the LAL method.

N-terminal Sequence Analysis

Arg319

Predicted Molecular Mass

26 kDa

SDS-PAGE

33-40 kDa, under reducing conditions.

Activity

Measured by its binding ability in a functional ELISA with Recombinant Human ACE-2 His-tag (Catalog # 933-ZN).

Scientific Data Images for Recombinant SARS-CoV-2 B.1.324.1 Spike RBD His Protein, CF

Recombinant SARS-CoV-2 B.1.324.1 Spike RBD His-tag Protein Binding Activity.

Recombinant SARS-CoV-2 B.1.324.1 Spike RBD His-tag (Catalog # 10830-CV) binds Recombinant Human ACE-2 His-tag (933-ZN) in a functional ELISA.

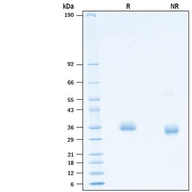
Recombinant SARS-CoV-2 B.1.324.1 Spike RBD His-tag Protein SDS-PAGE.

2 μg/lane of Recombinant SARS-CoV-2 B.1.324.1 Spike RBD His-tag Protein (Catalog # 10830-CV) was resolved with SDS-PAGE under reducing (R) and non-reducing (NR) conditions and visualized by Coomassie® Blue staining, showing bands at 33-40 kDa.
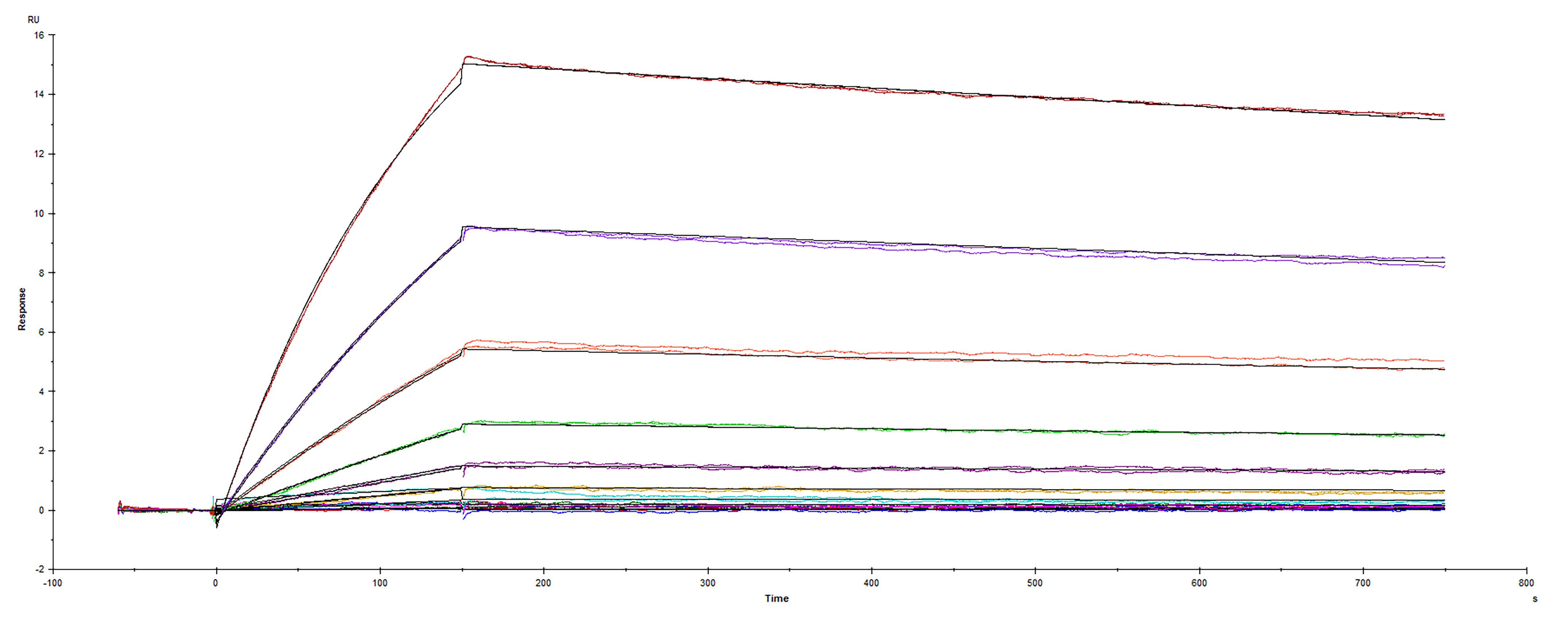
Surface plasmon resonance (SPR) sensorgram of Human ACE-2 binding to SARS-CoV-2 Spike RBD protein

Binding of ACE-2 to SARS-CoV-2 Spike RBD protein B.1.324.1 variant by surface plasmon resonance (SPR).

Recombinant SARS-CoV-2 Spike RBD protein B.1.324.1 variant His-tag was immobilized on a Biacore Sensor Chip CM5, and binding to recombinant human ACE-2 (933-ZN) was measured at a concentration range between 0.046 nM and 47.2 nM. The double-referenced sensorgram was fit to a 1:1 binding model to determine the binding kinetics and affinity, with an affinity constant of KD= 1.413 nM.

Formulation, Preparation and Storage

10830-CV
Formulation Lyophilized from a 0.2 μm filtered solution in PBS with Trehalose.
Reconstitution Reconstitute at 500 μg/mL in PBS.
Shipping The product is shipped at ambient temperature. Upon receipt, store it immediately at the temperature recommended below.
Stability & Storage Use a manual defrost freezer and avoid repeated freeze-thaw cycles.
  • 12 months from date of receipt, -20 to -70 °C as supplied.
  • 1 month, 2 to 8 °C under sterile conditions after reconstitution.
  • 3 months, -20 to -70 °C under sterile conditions after reconstitution.

Background: Spike RBD

SARS-CoV-2, which causes the global pandemic coronavirus disease 2019 (Covid-19), belongs to a family of viruses known as coronaviruses that also include MERS-CoV and SARS-CoV-1. Coronaviruses are commonly comprised of four structural proteins: Spike protein (S), Envelope protein (E), Membrane protein (M) and Nucleocapsid protein (N) (1). The SARS-CoV-2 S protein is a glycoprotein that mediates membrane fusion and viral entry. The S protein is homotrimeric, with each ~180-kDa monomer consisting of two subunits, S1 and S2 (2). In SARS-CoV-2, as with most coronaviruses, proteolytic cleavage of the S protein into S1 and S2 subunits is required for activation. The S1 subunit is focused on attachment of the protein to the host receptor while the S2 subunit is involved with cell fusion (3-5). A receptor binding domain (RBD) in the C-terminus of the S1 subunit has been identified and the RBD of SARS-CoV-2 shares 73% amino acid (aa) identity with the RBD of the SARS-CoV-1, but only 22% aa identity with the RBD of MERS-CoV (6,7). The low aa sequence homology is consistent with the finding that SARS and MERS-CoV bind different cellular receptors (8). The RBD of SARS-CoV-2 binds a metallopeptidase, angiotensin-converting enzyme 2 (ACE-2), similar to SARS-CoV-1, but with much higher affinity and faster binding kinetics (9). Before binding to the ACE-2 receptor, structural analysis of the S1 trimer shows that only one of the three RBD domains is in the "up" conformation. This is an unstable and transient state that passes between trimeric subunits but is nevertheless an exposed state to be targeted for neutralizing antibody therapy (10). Polyclonal antibodies to the RBD of the SARS-CoV-2 protein have been shown to inhibit interaction with the ACE2 receptor, confirming RBD as an attractive target for vaccinations or antiviral therapy (11). There is also promising work showing that the RBD may be used to detect presence of neutralizing antibodies present in a patient's bloodstream, consistent with developed immunity after exposure to the SARS-CoV-2 (12). Several emerging SARS-CoV-2 genomes have been identified with mutations in the RBD compared to the Wuhan-Hu-1 SARS-CoV-2 reference sequence. The B 1.324.1 variant was identified as a Variant of Concern (VOC) as it contains several mutations of interest in the RBD domain that effect viral fitness and transmissibility: E484K, S494P, and N501Y (13). Structural analysis points to E484K as a potentially crucial mutation as it creates a new site for hACE-2 binding and may enhance binding affinity (14). S494P is also located within the ACE2 receptor binding domain and experimental evidence suggests that mutations at this position decrease antibody binding affinity (15). N501Y is thought to enhance binding affinity for hACE-2 and make the virus more easily transmissible (16, 17). Additionally, the E484K substitution alone has been shown to confer resistance to several monoclonal antibodies and is responsible for the first confirmed SARS-CoV-2 reinfection (18).

References

  1. Wu, F. et al. (2020) Nature 579:265.
  2. Tortorici, M.A. and D. Veesler (2019) Adv. Virus Res. 105:93.
  3. Bosch, B.J. et al. (2003) J. Virol. 77:8801.
  4. Belouzard, S. et al. (2009) Proc. Natl. Acad. Sci. 106:5871.
  5. Millet, J.K. and G.R. Whittaker (2015) Virus Res. 202:120.
  6. Li, W. et al. (2003) Nature 426:450.
  7. Wong, S.K. et al. (2004) J. Biol. Chem. 279:3197.
  8. Jiang, S. et al. (2020) Trends. Immunol. https://doi.org/10.1016/j.it.2020.03.007.
  9. Ortega, J.T. et al. (2020) EXCLI J. 19:410.
  10. Wrapp, D. et al. (2020) Science 367:1260.
  11. Tai, W. et al. (2020) Cell. Mol. Immunol. https://doi.org/10.1016/j.it.2020.03.007.1.
  12. Okba, N.M.A. et al. (2020). Emerg. Infect. Dis. https://doi.org/10.3201/eid2607.200841.
  13. Thornlow, B. et al. (2021) bioRxiv https://doi.org/10.1101/2021.04.05.438352.
  14. Wang, W.B. et al. (2021) bioRxiv https://doi.org/10.1101/2021.02.17.431566.
  15. Starr, T.N. et al. (2020) Cell. 182:1295.
  16. Zahradník, J. et al. (2021) bioRxiv https://doi.org/10.1101/2021.01.06.425392.
  17. Gu, H. et al. (2020) Science. 369:1603.
  18. Nonaka, C.K.V. et al. (2021) Emerg Infect Dis. https://doi.org/10.3201/eid2705.210191.

Long Name

Spike Receptor Binding Domain

Entrez Gene IDs

3200426 (HCoV-HKU1); 14254594 (MERS-CoV); 1489668 (SARS-CoV); 43740568 (SARS-CoV-2)

Gene Symbol

S

UniProt

Additional Spike RBD Products

Product Documents for Recombinant SARS-CoV-2 B.1.324.1 Spike RBD His Protein, CF

Certificate of Analysis

To download a Certificate of Analysis, please enter a lot number in the search box below.

Note: Certificate of Analysis not available for kit components.

Product Specific Notices for Recombinant SARS-CoV-2 B.1.324.1 Spike RBD His Protein, CF

For research use only

Loading...
Loading...
Loading...