Skip to main content

MMP-1 Antibody (6A5) - Azide and BSA Free

Novus Biologicals, part of Bio-Techne | Catalog # NBP2-80852

Novus Biologicals, part of Bio-Techne
Catalog #
Availability
Size / Price
Qty
Loading...
NBP2-80852
Forumulation
Catalog #

Key Product Details

Species Reactivity

Human, Mouse

Applications

Immunohistochemistry, Immunohistochemistry-Paraffin, Western Blot, ELISA, Flow Cytometry, Immunocytochemistry/ Immunofluorescence, CyTOF-ready

Label

Unconjugated

Antibody Source

Monoclonal Mouse IgG1 Clone # 6A5

Format

Azide and BSA Free

Concentration

1 mg/ml

Product Specifications

Immunogen

Purified recombinant fragment of human MMP1 expressed in E. coli. [UniProt# P03956]

Reactivity Notes

Other species have not been tested.

Clonality

Monoclonal

Host

Mouse

Isotype

IgG1

Theoretical MW

54 kDa.
Disclaimer note: The observed molecular weight of the protein may vary from the listed predicted molecular weight due to post translational modifications, post translation cleavages, relative charges, and other experimental factors.

Description

Novus Biologicals Mouse MMP-1 Antibody (6A5) - Azide and BSA Free (NBP2-22123) is a monoclonal antibody validated for use in IHC, WB, ELISA, Flow and ICC/IF. All Novus Biologicals antibodies are covered by our 100% guarantee.

Scientific Data Images for MMP-1 Antibody (6A5) - Azide and BSA Free

Western Blot: MMP-1 Antibody (6A5)Azide and BSA Free [NBP2-80852]

Western Blot: MMP-1 Antibody (6A5)Azide and BSA Free [NBP2-80852]

Western Blot: MMP-1 Antibody (6A5) - Azide and BSA Free [NBP2-80852] - Western blot analysis using MMP1 mAb against HEK293 (1) and MMP1(AA: 24-213)-hIgGFc transfected HEK293 (2) cell lysate. Image from the standard format of this antibody.
Immunocytochemistry/ Immunofluorescence: MMP-1 Antibody (6A5) - Azide and BSA Free [NBP2-80852]

Immunocytochemistry/ Immunofluorescence: MMP-1 Antibody (6A5) - Azide and BSA Free [NBP2-80852]

Immunocytochemistry/Immunofluorescence: MMP-1 Antibody (6A5) - Azide and BSA Free [NBP2-80852] - Immunofluorescence analysis of Hela cells using MMP1 mouse mAb (green). Blue: DRAQ5 fluorescent DNA dye. Red: Actin filaments have been labeled with Alexa Fluor-555 phalloidin. Image from the standard format of this antibody.
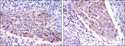
Immunohistochemistry-Paraffin: MMP-1 Antibody (6A5) - Azide and BSA Free [NBP2-80852]

Immunohistochemistry-Paraffin: MMP-1 Antibody (6A5) - Azide and BSA Free [NBP2-80852]

Immunohistochemistry-Paraffin: MMP-1 Antibody (6A5) - Azide and BSA Free [NBP2-80852] - Immunohistochemical analysis of paraffin-embedded human cervical cancer tissues (left) and human kidney cancer tissues (right) using MMP1 mouse mAb with DAB staining. Image from the standard format of this antibody.

Applications for MMP-1 Antibody (6A5) - Azide and BSA Free

Application
Recommended Usage

ELISA

1:10000

Flow Cytometry

1:200-1:400

Immunocytochemistry/ Immunofluorescence

1:200-1:1000

Immunohistochemistry-Paraffin

1:200-1:1000

Western Blot

1:500-1:2000
Application Notes
This MMP1 (6A5) antibody is useful for Western blot, Immunohistochemistry on paraffin-embedded sections, Immunocytochemistry/Immunofluorescence, Flow Cytometry and ELISA.

Formulation, Preparation, and Storage

Purification

Ammonium sulfate precipitation

Formulation

PBS

Format

Azide and BSA Free

Preservative

No Preservative

Concentration

1 mg/ml

Shipping

The product is shipped with polar packs. Upon receipt, store it immediately at the temperature recommended below.

Stability & Storage

Store at 4C short term. Aliquot and store at -20C long term. Avoid freeze-thaw cycles.

Background: MMP-1

Proteins of the matrix metalloproteinase (MMP) family are involved in the breakdown of extracellular matrix in normal physiological processes, such as embryonic development, reproduction, and tissue remodeling, as well as in disease processes, such as arthritis and metastasis. Most MMP's are secreted as inactive proproteins which are activated when cleaved by extracellular proteinases. This gene encodes a secreted enzyme which breaks down the interstitial collagens, types I, II, and III. The gene is part of a cluster of MMP genes which localize to chromosome 11q22.3. Alternative splicing results in multiple transcript variants.

Long Name

Matrix Metalloproteinase 1

Alternate Names

MMP1

Gene Symbol

MMP1

Additional MMP-1 Products

Product Documents for MMP-1 Antibody (6A5) - Azide and BSA Free

Certificate of Analysis

To download a Certificate of Analysis, please enter a lot number in the search box below.

Product Specific Notices for MMP-1 Antibody (6A5) - Azide and BSA Free

This product is for research use only and is not approved for use in humans or in clinical diagnosis. Primary Antibodies are guaranteed for 1 year from date of receipt.

Loading...
Loading...
Loading...
Loading...
Loading...