MMP-1 Antibody (6A5) - BSA Free
Novus Biologicals, part of Bio-Techne | Catalog # NBP2-22123
Conjugate
Catalog #
Forumulation
Catalog #
Key Product Details
Species Reactivity
Validated:
Human, Mouse
Cited:
Human, Mouse
Applications
Validated:
Immunohistochemistry, Immunohistochemistry-Paraffin, Western Blot, ELISA, Flow Cytometry, Immunocytochemistry/ Immunofluorescence
Cited:
Immunohistochemistry-Paraffin, Immunocytochemistry/ Immunofluorescence, IF/IHC
Label
Unconjugated
Antibody Source
Monoclonal Mouse IgG1 Clone # 6A5
Format
BSA Free
Concentration
1.0 mg/ml
Product Specifications
Immunogen
Purified recombinant fragment of human MMP1 expressed in E. coli. [UniProt# P03956]
Reactivity Notes
Other species have not been tested.
Clonality
Monoclonal
Host
Mouse
Isotype
IgG1
Theoretical MW
54 kDa.
Disclaimer note: The observed molecular weight of the protein may vary from the listed predicted molecular weight due to post translational modifications, post translation cleavages, relative charges, and other experimental factors.
Disclaimer note: The observed molecular weight of the protein may vary from the listed predicted molecular weight due to post translational modifications, post translation cleavages, relative charges, and other experimental factors.
Scientific Data Images for MMP-1 Antibody (6A5) - BSA Free
Western Blot: MMP-1 Antibody (6A5)BSA Free [NBP2-22123]
Western Blot: MMP-1 Antibody (6A5) [NBP2-22123] - Western blot analysis using MMP1 mAb against HEK293 (1) and MMP1(AA: 24-213)-hIgGFc transfected HEK293 (2) cell lysate.Immunocytochemistry/ Immunofluorescence: MMP-1 Antibody (6A5) - BSA Free [NBP2-22123]
Immunocytochemistry/Immunofluorescence: MMP-1 Antibody (6A5) [NBP2-22123] - Immunofluorescence analysis of Hela cells using MMP1 mouse mAb (green). Blue: DRAQ5 fluorescent DNA dye. Red: Actin filaments have been labeled with Alexa Fluor-555 phalloidin.Immunohistochemistry-Paraffin: MMP-1 Antibody (6A5) - BSA Free [NBP2-22123]
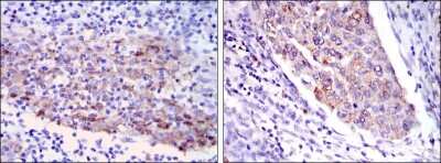
Immunohistochemistry-Paraffin: MMP-1 Antibody (6A5) [NBP2-22123] - Immunohistochemical analysis of paraffin-embedded human cervical cancer tissues (left) and human kidney cancer tissues (right) using MMP1 mouse mAb with DAB staining.Applications for MMP-1 Antibody (6A5) - BSA Free
Application
Recommended Usage
ELISA
1:10000
Flow Cytometry
1:200-1:400
Immunocytochemistry/ Immunofluorescence
1:200-1:1000
Immunohistochemistry-Paraffin
1:200-1:1000
Western Blot
1:500-1:2000
Application Notes
This MMP1 (6A5) antibody is useful for Western blot, Immunohistochemistry on paraffin-embedded sections, Immunocytochemistry/Immunofluorescence, Flow Cytometry and ELISA.
Reviewed Applications
Read 1 review rated 4 using NBP2-22123 in the following applications:
Formulation, Preparation, and Storage
Purification
Ammonium sulfate precipitation
Formulation
PBS
Format
BSA Free
Preservative
0.03% Sodium Azide
Concentration
1.0 mg/ml
Shipping
The product is shipped with polar packs. Upon receipt, store it immediately at the temperature recommended below.
Stability & Storage
Store at 4C short term. Aliquot and store at -20C long term. Avoid freeze-thaw cycles.
Background: MMP-1
Long Name
Matrix Metalloproteinase 1
Alternate Names
MMP1
Entrez Gene IDs
4312 (Human)
Gene Symbol
MMP1
UniProt
Additional MMP-1 Products
Product Documents for MMP-1 Antibody (6A5) - BSA Free
Product Specific Notices for MMP-1 Antibody (6A5) - BSA Free
This product is for research use only and is not approved for use in humans or in clinical diagnosis. Primary Antibodies are guaranteed for 1 year from date of receipt.
Loading...
Loading...
Loading...
Loading...
Loading...