Skip to main content

Key Product Details

Species Reactivity

Human

Applications

Immunohistochemistry, Western Blot

Label

Unconjugated

Antibody Source

Polyclonal Sheep IgG

Product Specifications

Immunogen

Chinese hamster ovary cell line CHO-derived recombinant human Transcobalamin II
Glu19-Trp427
Accession # P20062

Specificity

Detects human Transcobalamin II in direct ELISAs and Western blots.

Clonality

Polyclonal

Host

Sheep

Isotype

IgG

Scientific Data Images for Human Transcobalamin II Antibody

Detection of Human Transcobalamin II antibody by Western Blot.

Detection of Human Transcobalamin II by Western Blot.

Western blot shows lysates of HUVEC human umbilical vein endothelial cells and RPMI 8226 human multiple myeloma cell line. PVDF membrane was probed with 1 µg/mL of Sheep Anti-Human/Mouse/Rat Transcobalamin II Antigen Affinity-purified Polyclonal Antibody (Catalog # AF7895) followed by HRP-conjugated Anti-Sheep IgG Secondary Antibody (Catalog # HAF016). A specific band was detected for Transcobalamin II at approximately 43 kDa (as indicated). This experiment was conducted under reducing conditions and using Immunoblot Buffer Group 1.
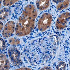
Transcobalamin II antibody in Human Kidney by Immunohistochemistry (IHC-P).

Transcobalamin II in Human Kidney.

Transcobalamin II was detected in immersion fixed paraffin-embedded sections of human kidney using Sheep Anti-Human/Mouse/Rat Transcobalamin II Antigen Affinity-purified Polyclonal Antibody (Catalog # AF7895) at 10 µg/mL overnight at 4 °C. Before incubation with the primary antibody, tissue was subjected to heat-induced epitope retrieval using Antigen Retrieval Reagent-Basic (Catalog # CTS013). Tissue was stained using the Anti-Sheep HRP-DAB Cell & Tissue Staining Kit (brown; Catalog # CTS019) and counterstained with hematoxylin (blue). Specific staining was localized to the cytoplasm in epithelial cell convoluted tubules. View our protocol for Chromogenic IHC Staining of Paraffin-embedded Tissue Sections.

Applications for Human Transcobalamin II Antibody

Application
Recommended Usage

Immunohistochemistry

5-15 µg/mL
Sample: Immersion fixed paraffin-embedded sections of human kidney subjected to heat-induced epitope retrieval using Antigen Retrieval Reagent-Basic (Catalog # CTS013)

Western Blot

1 µg/mL
Sample: HUVEC human umbilical vein endothelial cells and RPMI 8226 human multiple myeloma cell line

Formulation, Preparation, and Storage

Purification

Antigen Affinity-purified

Reconstitution

Reconstitute at 0.2 mg/mL in sterile PBS. For liquid material, refer to CoA for concentration.

Reconstitution Buffer Available:
Size / Price
Qty
Loading...

Formulation

Lyophilized from a 0.2 μm filtered solution in PBS with Trehalose. *Small pack size (SP) is supplied either lyophilized or as a 0.2 µm filtered solution in PBS.

Shipping

Lyophilized product is shipped at ambient temperature. Liquid small pack size (-SP) is shipped with polar packs. Upon receipt, store immediately at the temperature recommended below.

Stability & Storage

Use a manual defrost freezer and avoid repeated freeze-thaw cycles.
  • 12 months from date of receipt, -20 to -70 °C as supplied.
  • 1 month, 2 to 8 °C under sterile conditions after reconstitution.
  • 6 months, -20 to -70 °C under sterile conditions after reconstitution.

Background: Transcobalamin II

TCN2 (Transcobalamin II; also TC-2 or TC) is a 42-44 kDa, monomeric, secreted member of the eukaryotic cobalamin transport family of molecules. It is a key player in the transport and absorption of VitB12. TCN1 is a salivary gland protein that binds oral/dietary B12. Once in the stomach, B12 is transferred to IF/Intrinsic Factor, and this complex remains intact during passage through the small intestine. In the distal ileum, the IF:VitB12 complex is internalized following binding to cubam on enterocyte membranes. Once internalized, VitB12 is processed and re-expressed on MRP1 on the enterocyte's basal surface. Here it is transferred to TCN-2, a binding protein secreted by endothelial cells that accounts for the transport of anywhere from 10-30% of circulating VitB12/cobalamin. The TCN2:VitB12 complex is ultimately internalized by cells expressing a membrane-bound, 58 kDa TCN2 receptor termed TCblR. Once internalized, VitB12 is released and converted into cofactors that are involved in methionine biosynthesis. Human TCN2 is synthesized as a 427 amino acid (aa) precursor that contains an 18 aa signal sequence, plus a 409 aa mature region that binds one VitB12 molecule. There are three potential splice variants of TCN2. One contains a Trp substitution for aa 116-143, a second possesses an Ile substitution for aa 336-427, and a third shows a deletion of aa 143-193. There is one Arg-to-Pro transition at position 259 that is correlated with statistically elevated circulating levels of TCN2. Over aa 19-427, human TCN2 shares 72% aa sequence identity with mouse TCN2.

Alternate Names

TC-2, TCII, TCN2, Vitamin B12-binding Protein 2

Entrez Gene IDs

6948 (Human); 21452 (Mouse); 64365 (Rat)

Gene Symbol

TCN2

UniProt

Additional Transcobalamin II Products

Product Documents for Human Transcobalamin II Antibody

Certificate of Analysis

To download a Certificate of Analysis, please enter a lot number in the search box below.

Note: Certificate of Analysis not available for kit components.

Product Specific Notices for Human Transcobalamin II Antibody

For research use only

Loading...
Loading...
Loading...
Loading...
Loading...