Skip to main content

Key Product Details

Species Reactivity

Validated:

Human, Mouse

Cited:

Mouse

Applications

Validated:

Immunohistochemistry, Western Blot

Cited:

Immunocytochemistry

Label

Unconjugated

Antibody Source

Monoclonal Mouse IgG1 Clone # 807423

Product Specifications

Immunogen

E. coli-derived recombinant human Gephyrin/GPHN
Ala2-Ser188
Accession # Q9NQX3

Specificity

Detects human Gephyrin/GPHN in direct ELISAs and human and mouse Gephyrin/GPHN Western blots.

Clonality

Monoclonal

Host

Mouse

Isotype

IgG1

Scientific Data Images for Human/Mouse Gephyrin/GPHN Antibody

Detection of Human and Mouse Gephyrin/GPHN antibody by Western Blot.

Detection of Human and Mouse Gephyrin/GPHN by Western Blot.

Western blot shows lysates of IMR-32 human neuroblastoma cell line and Neuro-2A mouse neuroblastoma cell line. PVDF membrane was probed with 2 µg/mL of Mouse Anti-Human Gephyrin/GPHN Monoclonal Antibody (Catalog # MAB7519) followed by HRP-conjugated Anti-Mouse IgG Secondary Antibody (Catalog # HAF007). A specific band was detected for Gephyrin/GPHN at approximately 90 kDa (as indicated). This experiment was conducted under reducing conditions and using Immunoblot Buffer Group 1.
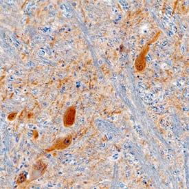
Gephyrin/GPHN antibody in Human Brain by Immunohistochemistry (IHC-P).

Gephyrin/GPHN in Human Brain.

Gephyrin/GPHN was detected in immersion fixed paraffin-embedded sections of human brain (medulla) using Mouse Anti-Human/Mouse Gephyrin/GPHN Monoclonal Antibody (Catalog # MAB7519) at 15 µg/mL overnight at 4 °C. Tissue was stained using the Anti-Mouse HRP-DAB Cell & Tissue Staining Kit (brown; Catalog # CTS002) and counterstained with hematoxylin (blue). Specific staining was localized to neuronal cell bodies. View our protocol for Chromogenic IHC Staining of Paraffin-embedded Tissue Sections.

Applications for Human/Mouse Gephyrin/GPHN Antibody

Application
Recommended Usage

Immunohistochemistry

8-25 µg/mL
Sample: Immersion fixed paraffin-embedded sections of human brain (medulla)

Western Blot

2 µg/mL
Sample: IMR‑32 human neuroblastoma cell line and Neuro‑2A mouse neuroblastoma cell line

Formulation, Preparation, and Storage

Purification

Protein A or G purified from hybridoma culture supernatant

Reconstitution

Sterile PBS to a final concentration of 0.5 mg/mL. For liquid material, refer to CoA for concentration.

Reconstitution Buffer Available:
Size / Price
Qty
Loading...

Formulation

Lyophilized from a 0.2 μm filtered solution in PBS with Trehalose. *Small pack size (SP) is supplied either lyophilized or as a 0.2 µm filtered solution in PBS.

Shipping

Lyophilized product is shipped at ambient temperature. Liquid small pack size (-SP) is shipped with polar packs. Upon receipt, store immediately at the temperature recommended below.

Stability & Storage

Use a manual defrost freezer and avoid repeated freeze-thaw cycles.
  • 12 months from date of receipt, -20 to -70 °C as supplied.
  • 1 month, 2 to 8 °C under sterile conditions after reconstitution.
  • 6 months, -20 to -70 °C under sterile conditions after reconstitution.

Background: Gephyrin/GPHN

Gephyrin (GPHN, from gamma epsilonφυρ alpha, the Greek word for bridge; also known as molybdopterin adenyltransferase) is a 90-94 kDa member of both the MoaB and MoeA families of proteins. It has limited expression, being found in hepatocytes and neurons. In neurons, gephyrin is a postsynaptic density cytoplasmic protein that interacts with the subunits of glycine and GABA-A receptors. This interaction is mediated by the ability of gephyrin to form hexameric lattices that act as scaffolds that link the subunits of the two inhibitory receptors to the cell's underlying tubulin network. In addition, the gephyrin lattice may also interact with NLG-1 and -2, suggesting a role for gephyrin in the regulation of glutamatergic synapses. Gephyrin is also known to participate in the synthesis of molybdenum cofactor. This cofactor binds molybdenum, making it available to sulfite and aldehyde reductase. Human gephyrin is 736 amino acids (aa) in length. It contains a 181 aa N-terminal G-domain that possesses MPT Mo-transferase activity (aa 14-166) and a homotrimer interface motif, followed by a 420 aa C-terminal region (aa 319-738) that contains an MPT adenyltransferase domain (aa 326-736) with an embedded homodimerization motif. There are at least five utilized Ser/Thr phosphorylation sites. Multiple splice variants exist, and represent peptide insertions at multiple sites. There is a 13 aa insertion after Glu98, a 33 aa insertion after Ser243, and 15, 19, 21 and 24 aa insertions after Lys288. Over aa 2-188, human and mouse Gephyrin are identical in amino acid sequence.

Alternate Names

GEPH, GPH, GPHN, GPHRYN

Entrez Gene IDs

10243 (Human); 268566 (Mouse); 64845 (Rat)

Gene Symbol

GPHN

UniProt

Additional Gephyrin/GPHN Products

Product Documents for Human/Mouse Gephyrin/GPHN Antibody

Certificate of Analysis

To download a Certificate of Analysis, please enter a lot number in the search box below.

Note: Certificate of Analysis not available for kit components.

Product Specific Notices for Human/Mouse Gephyrin/GPHN Antibody

For research use only

Loading...
Loading...
Loading...
Loading...