Skip to main content

Key Product Details

Species Reactivity

Validated:

Human

Cited:

Human

Applications

Validated:

Immunohistochemistry, Western Blot, Immunoprecipitation

Cited:

Immunohistochemistry, Immunohistochemistry-Paraffin, Western Blot

Label

Unconjugated

Antibody Source

Polyclonal Sheep IgG

Product Specifications

Immunogen

E. coli-derived recombinant human Cytosolic Sulfotransferase 2B1/SULT2B1 isoform 1
Asp2-Ser365
Accession # O00204

Specificity

Detects human SULT2B1 in direct ELISAs and Western blots. In direct ELISAs and Western blots, less than 1% cross-reactivity with recombinant human (rh) SULT1B1, rhSULT1A1, rhSULT2A1, rhSULT4A1, and rhSULT1E1 is observed.

Clonality

Polyclonal

Host

Sheep

Isotype

IgG

Scientific Data Images for Human Cytosolic Sulfotransferase 2B1/SULT2B1 Antibody

Detection of Human Cytosolic Sulfotransferase 2B1/SULT2B1 antibody by Western Blot.

Detection of Human Cytosolic Sulfotransferase 2B1/SULT2B1 by Western Blot.

Western blot shows lysates of human prostate cancer tissue. PVDF Membrane was probed with 1 µg/mL of Human Cytosolic Sulfotransferase 2B1/SULT2B1 Antigen Affinity-purified Polyclonal Antibody (Catalog # AF6174) followed by HRP-conjugated Anti-Sheep IgG Secondary Antibody (Catalog # HAF016). A specific band was detected for Cytosolic Sulfotransferase 2B1/SULT2B1 at approximately 48 kDa (as indicated). This experiment was conducted under reducing conditions and using Immunoblot Buffer Group 8.
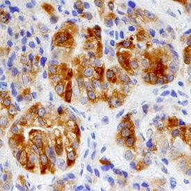
Cytosolic Sulfotransferase 2B1/SULT2B1 antibody in Human Prostate Cancer Tissue by Immunohistochemistry (IHC-P).

Cytosolic Sulfotransferase 2B1/SULT2B1 in Human Prostate Cancer Tissue.

Cytosolic Sulfotransferase 2B1/SULT2B1 was detected in immersion fixed paraffin-embedded sections of human prostate cancer tissue using Human Cytosolic Sulfotransferase 2B1/SULT2B1 Antigen Affinity-purified Polyclonal Antibody (Catalog # AF6174) at 3 µg/mL overnight at 4 °C. Before incubation with the primary antibody, tissue was subjected to heat-induced epitope retrieval using Antigen Retrieval Reagent-Basic (Catalog # CTS013). Tissue was stained using the Anti-Sheep HRP-DAB Cell & Tissue Staining Kit (brown; Catalog # CTS019) and counterstained with hematoxylin (blue). Specific staining was localized to the cytoplasm of glandular epithelial and stromal cells. View our protocol for Chromogenic IHC Staining of Paraffin-embedded Tissue Sections.

Applications for Human Cytosolic Sulfotransferase 2B1/SULT2B1 Antibody

Application
Recommended Usage

Immunohistochemistry

5-15 µg/mL
Sample: Immersion fixed paraffin-embedded sections of human prostate cancer tissue

Immunoprecipitation

25 µg/mL
Sample: Cell lysates spiked with Recombinant Human Cytosolic Sulfotransferase 2B1/SULT2B1, see our available Western blot detection antibodies

Western Blot

1 µg/mL
Sample: Human prostate cancer tissue

Formulation, Preparation, and Storage

Purification

Antigen Affinity-purified

Reconstitution

Reconstitute at 0.2 mg/mL in sterile PBS. For liquid material, refer to CoA for concentration.

Reconstitution Buffer Available:
Size / Price
Qty
Loading...

Formulation

Lyophilized from a 0.2 μm filtered solution in PBS with Trehalose. *Small pack size (SP) is supplied either lyophilized or as a 0.2 µm filtered solution in PBS.

Shipping

Lyophilized product is shipped at ambient temperature. Liquid small pack size (-SP) is shipped with polar packs. Upon receipt, store immediately at the temperature recommended below.

Stability & Storage

Use a manual defrost freezer and avoid repeated freeze-thaw cycles.
  • 12 months from date of receipt, -20 to -70 °C as supplied.
  • 1 month, 2 to 8 °C under sterile conditions after reconstitution.
  • 6 months, -20 to -70 °C under sterile conditions after reconstitution.

Background: Cytosolic Sulfotransferase 2B1/SULT2B1

SULT2B1 (Sulfotransferase 2B1; also ST2B1b and alcohol sulfotransferase) is a 45-48 kDa member of the sulfotransferase 1 family of enzymes. SULT2B1 is widely expressed, being found in platelets, stratum granulosum keratinocytes, breast and prostatic epithelium, and syncytiotrophoblast cells. SULT2B1 catalyzes the sulfonation of DHEA, a precursor for sex steroids, and cholesterol, which supports stratification of the epidermis. Human SULT2B1 is 365 amino acids (aa) in length. There are PAPS binding sites between aa 70-75 and 147-155, a myristoylation motif between aa 255-259, and a Pro-rich region between aa 305-364 that may extend enzyme half-life. There is one 43 kDa splice form (ST2B1a) that shows an eight aa substitution for aa 1-23. It is expressed in fetal brain and generates pregnenolone sulfate, a steroid that modulates neurotransmitters. Full-length human SULT2B1b shares only 71% aa identity with mouse SULT2B1.

Alternate Names

HSST2, SULT2B1

Entrez Gene IDs

6820 (Human); 54200 (Mouse); 292915 (Rat)

Gene Symbol

SULT2B1

UniProt

Additional Cytosolic Sulfotransferase 2B1/SULT2B1 Products

Product Documents for Human Cytosolic Sulfotransferase 2B1/SULT2B1 Antibody

Certificate of Analysis

To download a Certificate of Analysis, please enter a lot number in the search box below.

Note: Certificate of Analysis not available for kit components.

Product Specific Notices for Human Cytosolic Sulfotransferase 2B1/SULT2B1 Antibody

For research use only

Loading...
Loading...
Loading...
Loading...