Skip to main content

Key Product Details

Validated by

Knockout/Knockdown

Species Reactivity

Validated:

Human

Cited:

Human, Mouse

Applications

Validated:

Knockout Validated, Immunohistochemistry, Western Blot

Cited:

Western Blot

Label

Unconjugated

Antibody Source

Monoclonal Mouse IgG2B Clone # 791521

Product Specifications

Immunogen

E. coli-derived recombinant human CHMP2B
Ala2-Asp213
Accession # Q9UQN3

Specificity

Detects human CHMP2B in direct ELISAs and Western blots

Clonality

Monoclonal

Host

Mouse

Isotype

IgG2B

Scientific Data Images for Human CHMP2B Antibody

Detection of Human CHMP2B antibody by Western Blot.

Detection of Human CHMP2B by Western Blot.

Western blot shows lysates of human placenta tissue. PVDF membrane was probed with 2 µg/mL of Mouse Anti-Human CHMP2B Monoclonal Antibody (Catalog # MAB7509) followed by HRP-conjugated Anti-Mouse IgG Secondary Antibody (HAF018). A specific band was detected for CHMP2B at approximately 30 kDa (as indicated). This experiment was conducted under reducing conditions and using Immunoblot Buffer Group 1.
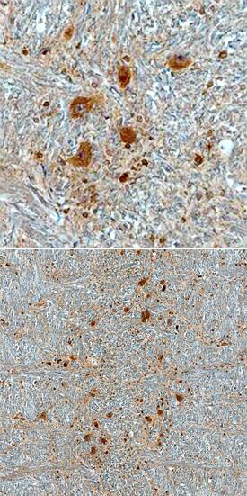
CHMP2B antibody in Human Brain by Immunohistochemistry (IHC-P).

CHMP2B in Human Brain.

CHMP2B was detected in immersion fixed paraffin-embedded sections of human brain (medulla) using Mouse Anti-Human CHMP2B Monoclonal Antibody (Catalog # MAB7509) at 3 µg/mL overnight at 4 °C. Before incubation with the primary antibody, tissue was subjected to heat-induced epitope retrieval using Antigen Retrieval Reagent-Basic (CTS013). Tissue was stained using the Anti-Mouse HRP-DAB Cell & Tissue Staining Kit (brown; Catalog # CTS002) and counterstained with hematoxylin (blue). Staining is shown at both high (upper panel) and low (lower panel) magnification, and specific staining was localized to neuronal cytoplasm. View our protocol for Chromogenic IHC Staining of Paraffin-embedded Tissue Sections.

Western Blot Shows Human CHMP2B Specificity Using Knockout Cell Line.

Western blot shows lysates of U2OS human osteosarcoma cell line and CHMP2B knockout U2OS cell line (KO). Nitrocellulose membrane was probed with 1.25 µg/mL of Mouse Anti-Human CHMP2B Monoclonal Antibody (Catalog # MAB7509) followed by HRP-conjugated Anti-Mouse IgG Secondary Antibody. A specific band was detected for CHMP2B at approximately 28 kDa (as indicated) in the parental U2OS cell line, but is not detectable in knockout U2OS cell line. The Ponceau stained transfer of the blot is shown. This experiment was conducted under reducing conditions. Image, protocol, and testing courtesy of YCharOS Inc. See ycharos.com for additional details.

Applications for Human CHMP2B Antibody

Application
Recommended Usage

Immunohistochemistry

8-25 µg/mL
Sample: Immersion fixed paraffin-embedded sections of human brain (medulla)

Knockout Validated

CHMP2B is specifically detected in the parental U2OS cell line, but is not detectable in knockout U2OS cell line. 

Western Blot

2 µg/mL
Sample: Human placenta tissue

Formulation, Preparation, and Storage

Purification

Protein A or G purified from hybridoma culture supernatant

Reconstitution

Sterile PBS to a final concentration of 0.5 mg/mL. For liquid material, refer to CoA for concentration.

Reconstitution Buffer Available:
Size / Price
Qty
Loading...

Formulation

Lyophilized from a 0.2 μm filtered solution in PBS with Trehalose. *Small pack size (SP) is supplied either lyophilized or as a 0.2 µm filtered solution in PBS.

Shipping

Lyophilized product is shipped at ambient temperature. Liquid small pack size (-SP) is shipped with polar packs. Upon receipt, store immediately at the temperature recommended below.

Stability & Storage

Use a manual defrost freezer and avoid repeated freeze-thaw cycles.
  • 12 months from date of receipt, -20 to -70 °C as supplied.
  • 1 month, 2 to 8 °C under sterile conditions after reconstitution.
  • 6 months, -20 to -70 °C under sterile conditions after reconstitution.

Background: CHMP2B

CHMP2B (CHarged Multivescular body Protein 2B; also Chromatin-Modifying Protein 2B and Vps2-2) is an approximately 35 kDa member of the SNF family of proteins. It is a cytosolic molecule that interacts with VPS4 and undergoes polymerization to form tubules that project plasma membrane outward, generating an environment conducive to membrane fission and budding. It also appears to participate in the formation of intraluminal vesicles associated with the lysosomal system. CHMP2B is found in striated muscle (heart and skeletal), and particularly in neurons of the CNS. Human CHMP2B is 213 amino acids (aa) in length. It contains one coiled-coil region (aa 25-55), an MIT (microtubule-interacting and trafficking) domain (aa 201-211) and a utilized phosphorylation site at Ser199. There is one alternative splice form that shows a deletion of aa 2-42. Full-length human CHMP2B shares 99% aa identity with mouse CHMP2B, but only 33% aa identity with human CHMP2A.

Long Name

Charged Multivesicular Body Protein 2B

Alternate Names

CHMP2.5, DMT1, Vps2-2, VPS2B

Entrez Gene IDs

25978 (Human); 68942 (Mouse); 363720 (Rat)

Gene Symbol

CHMP2B

UniProt

Additional CHMP2B Products

Product Documents for Human CHMP2B Antibody

Certificate of Analysis

To download a Certificate of Analysis, please enter a lot number in the search box below.

Note: Certificate of Analysis not available for kit components.

Product Specific Notices for Human CHMP2B Antibody

For research use only

Loading...
Loading...
Loading...
Loading...