Skip to main content

Recombinant Mouse NPRC/NPR3 Fc Chimera Protein, CF

R&D Systems, part of Bio-Techne | Catalog # 10187-NR

R&D Systems, part of Bio-Techne
Catalog #
Availability
Size / Price
Qty
Loading...
10187-NR-050

Key Product Details

  • R&D Systems NS0-derived Recombinant Mouse NPRC/NPR3 Fc Chimera Protein (10187-NR)
  • Quality control testing to verify active proteins with lot specific assays by in-house scientists
  • All R&D Systems proteins are covered with a 100% guarantee

Source

NS0

Accession #

Structure / Form

Disulfide-linked homodimer

Conjugate

Unconjugated

Applications

Bioactivity

Product Specifications

Source

Mouse myeloma cell line, NS0-derived mouse NPRC/NPR3 protein
Mouse NPRC/NPR3
(Glu41-Ala478)
Accession # P70180
IEGRMDP Mouse IgG2a
(Glu98-Lys330)
N-terminus C-terminus

Purity

>95%, by SDS-PAGE visualized with Silver Staining and quantitative densitometry by Coomassie® Blue Staining.

Endotoxin Level

<0.10 EU per 1 μg of the protein by the LAL method.

N-terminal Sequence Analysis

Glu41

Predicted Molecular Mass

78 kDa

SDS-PAGE

76-96 kDa, under reducing conditions

Activity

Measured by its binding ability in a functional ELISA.
When Recombinant Mouse NPRC/NPR3 Fc Chimera is immobilized at 2 μg/mL (100 μL/well), the concentration of Recombinant Mouse Osteocrin (Catalog # 9700-ON) that produces 50% of the optimal binding response is 0.6-3.6 ng/mL.

Scientific Data Images for Recombinant Mouse NPRC/NPR3 Fc Chimera Protein, CF

Recombinant Mouse NPRC/NPR3 Fc Chimera Protein Binding Activity

Recombinant Mouse NPRC/NPR3 Fc Chimera Protein Binding Activity

When Recombinant Mouse NPRC/NPR3 Fc Chimera (Catalog # 10187-NR) is immobilized at 2 μg/mL, 100 μL/well, Recombinant Mouse Osteocrin (Catalog # 9700-ON) binds with an ED50 of 0.6-3.6 ng/mL.
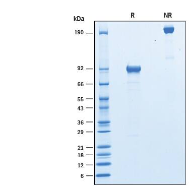
Recombinant Mouse NPRC/NPR3 Fc Chimera Protein SDS-PAGE

Recombinant Mouse NPRC/NPR3 Fc Chimera Protein SDS-PAGE

2 μg/lane of Recombinant Mouse INPRC/NPR3 Fc Chimera was resolved with SDS-PAGE under reducing (R) and non-reducing (NR) conditions and visualized by Coomassie® blue staining, showing bands at 76-96 kDa and 170-200 kDa, respectively.

Formulation, Preparation and Storage

10187-NR
Formulation Lyophilized from a 0.2 μm filtered solution in PBS.
Reconstitution Reconstitute at 500 μg/mL in PBS.
Shipping The product is shipped at ambient temperature. Upon receipt, store it immediately at the temperature recommended below.
Stability & Storage Use a manual defrost freezer and avoid repeated freeze-thaw cycles.
  • 12 months from date of receipt, -20 to -70 °C as supplied.
  • 1 month, 2 to 8 °C under sterile conditions after reconstitution.
  • 3 months, -20 to -70 °C under sterile conditions after reconstitution.

Background: NPRC/NPR3

Atrial Natriuretic Peptide Receptor-3 (NPR3), also known as NPR-C or ANPR-C, is one of the three natriuretic peptide receptors (1, 2). Mouse NPR3 is a type I transmembrane glycoprotein that contains a 438 amino acid (aa) extracellular domain (ECD), a 21 aa transmembrane segment, and a 37 aa cytoplasmic region. The natriuretic system is key to the maintenance of vascular tone and cardiovascular homeostasis. It consists of three related natriuretic peptides: atrial natriuretic peptide (ANP), brain natriuretic peptide (BNP), and C-type natriuretic peptide (CNP). It also consists of three single-membrane-spanning receptors (NPRs) to mediate the biological activity of these peptides: NPR1, NPR2, and NPR3. NPR1 and NPR2 are guanylyl cyclase receptors that regulate cGMP levels, while NPR3 lacks enzymatic activity and may act as a clearance receptor (1, 2). Both ANP and BNP exhibit high binding affinities to NPR1 and NPR3, while CNP binds with high affinity to NPR2 and NPR3 (2). NPR3 is known to be expressed in the heart, lung, adrenal gland, heart, cerebral cortex, cerebellum, liver and adipocytes and in some cancers (1, 2). Osteocrin was found to be a specific ligand to NPR3 (3). NPR3 is necessary for Osteocrin to regulate femoral, tibial, and metatarsal bone elongation (4).

References

  1. Potter, L.R. et al. (2006) Endocr. Rev. 27:47.
  2. Koller, K. J. and D. V. Goeddel (1992) Circulation 86:1081.
  3. Thomas, G. et al. (2003) J. Biol. Chem. 278:50563.
  4. Moffatt, P. et al. (2007) J. Biol. Chem. 282:36454.

Long Name

Natriuretic Peptide Receptor C

Alternate Names

ANP-C, ANPR-C, C5orf23, GUCY2B, lgj, NPR-C, NPR3, stri

Entrez Gene IDs

4883 (Human); 18162 (Mouse); 25339 (Rat)

Gene Symbol

NPR3

UniProt

Additional NPRC/NPR3 Products

Product Documents for Recombinant Mouse NPRC/NPR3 Fc Chimera Protein, CF

Certificate of Analysis

To download a Certificate of Analysis, please enter a lot number in the search box below.

Note: Certificate of Analysis not available for kit components.

Product Specific Notices for Recombinant Mouse NPRC/NPR3 Fc Chimera Protein, CF

For research use only

Loading...
Loading...
Loading...