Skip to main content

Recombinant Mouse Activin B Protein

R&D Systems, part of Bio-Techne | Catalog # 8260-AB

R&D Systems, part of Bio-Techne
Catalog #
Availability
Size / Price
Qty
Loading...
Carrier Free
8260-AB-010/CF

Catalog #
Availability
Size / Price
Qty
With Carrier
8260-AB-010

Key Product Details

  • R&D Systems HEK293-derived Recombinant Mouse Activin B Protein (8260-AB)
  • Quality control testing to verify active proteins with lot specific assays by in-house scientists
  • All R&D Systems proteins are covered with a 100% guarantee

Source

HEK293

Accession #

Structure / Form

Disulfide-linked homodimer

Conjugate

Unconjugated

Applications

Bioactivity

Product Specifications

Source

Human embryonic kidney cell, HEK293-derived mouse Activin B protein
Gly297-Ala411

Purity

>95%, by SDS-PAGE with silver staining.

Endotoxin Level

<0.10 EU per 1 μg of the protein by the LAL method.

N-terminal Sequence Analysis

Gly297

Predicted Molecular Mass

13 kDa (monomer)

SDS-PAGE

12 kDa, reducing conditions

Activity

Measured by its ability to induce hemoglobin expression in K562 human chronic myelogenous leukemia cells. Schwall, R.H. et al. (1991) Method Enzymol. 198:340.
The ED50 for this effect is 0.2-1.2 ng/mL.

Scientific Data Images for Recombinant Mouse Activin B Protein

Recombinant Mouse Activin B Protein Bioactivity

Recombinant Mouse Activin B Protein Bioactivity

Recombinant Mouse Activin B (Catalog # 8260-AB) induces hemoglobin expression in K562 human chronic myelogenous leukemia cells. The ED50 for this effect is 0.2-1.2 ng/mL.
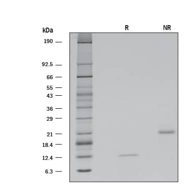
Recombinant Mouse Activin B Protein SDS-PAGE

Recombinant Mouse Activin B Protein SDS-PAGE

1 μg/lane of Recombinant Mouse Activin B was resolved with SDS-PAGE under reducing (R) and non-reducing (NR) conditions and visualized by silver staining, showing bands at 12 and 21 kDa, respectively.

Formulation, Preparation and Storage

Carrier Free
What does CF mean?

CF stands for Carrier Free (CF). We typically add Bovine Serum Albumin (BSA) as a carrier protein to our recombinant proteins. Adding a carrier protein enhances protein stability, increases shelf-life, and allows the recombinant protein to be stored at a more dilute concentration. The carrier free version does not contain BSA.

What formulation is right for me?

In general, we advise purchasing the recombinant protein with BSA for use in cell or tissue culture, or as an ELISA standard. In contrast, the carrier free protein is recommended for applications, in which the presence of BSA could interfere.

Carrier: 8260-AB
Formulation Lyophilized from a 0.2 μm filtered solution in HCl with BSA as a carrier protein.
Reconstitution Reconstitute at 100 μg/mL in sterile 4 mM HCl.
Shipping The product is shipped at ambient temperature. Upon receipt, store it immediately at the temperature recommended below.
Stability & Storage Use a manual defrost freezer and avoid repeated freeze-thaw cycles.
  • 12 months from date of receipt, -20 to -70 °C as supplied.
  • 1 month, 2 to 8 °C under sterile conditions after reconstitution.
  • 3 months, -20 to -70 °C under sterile conditions after reconstitution.
Carrier Free: 8260-AB/CF
Formulation Lyophilized from a 0.2 μm filtered solution in HCl.
Reconstitution Reconstitute at 100 μg/mL in sterile 4 mM HCl.
Shipping The product is shipped at ambient temperature. Upon receipt, store it immediately at the temperature recommended below.
Stability & Storage Use a manual defrost freezer and avoid repeated freeze-thaw cycles.
  • 12 months from date of receipt, -20 to -70 °C as supplied.
  • 1 month, 2 to 8 °C under sterile conditions after reconstitution.
  • 3 months, -20 to -70 °C under sterile conditions after reconstitution.

Background: Activin B

Activin and Inhibin, members of the TGF-beta superfamily of cytokines, are involved in a range of biological processes including neural development, stem cell differentiation, reproductive physiology, inflammation, tissue morphogenesis and bone remodeling (1-5). Activins function as either a homodimer or heterodimer of non-glycosylated beta subunit proteins ( betaA, betaB, betaC, and betaE in mammals). Inhibins are heterodimers consisting of a unique alpha subunit and any one beta subunit. The alpha- and beta-subunits are produced as precursor proteins with an amino-terminal propeptide that is cleaved to release a carboxy-terminal monomeric subunit that becomes bioactive upon disulfide linkage with another Activin monomer (6, 7). The bioactive Activin B dimeric protein consists of two betaB subunits. The 13 kDa mature mouse Activin betaB subunit shares 99% and 98% amino acid sequence identity with rat and human Activin betaB, respectively. Activin B exerts its biological function upon binding to the type 2 serine/threonine kinase Activin receptor (Act RIIA). This receptor-ligand complex noncovalently associates and transphosphorylates the type 1 Activin receptor (ActRI) to initiate intracellular SMAD activation and the subsequent regulation of Activin-responsive gene transcription (8). BAMBI, Betaglycan, and Cripto, regulate the bioactivity of Activin B by restricting its ability to induce receptor complex assembly. Alternatively, bioavailability of Activin B is modulated through sequestration into inactive complexes with alpha2-Macroglobulin, Follstatin, and FLRG (9-12).

References

  1. Woodruff, T.K. (1998) Biochemical Pharmacology 55:953.
  2. Paulusma, C.C. et al. (1994) J. Immunol. Methods 169:143.
  3. Vassalli, A. et al. (1994) Genes Dev. 8:414.
  4. Shat-Tal, Y. and D. Zipori (2002) Stem Cells 20:493.
  5. Ying, S.Y. et al. (1997) Proc. Soc. Exp. Biol. Med. 214:114.
  6. Gray, A.M. and A.J. Mason (1990) Science 247:1328.
  7. Mason, A.J. et al. (1996) Mol. Endocrinol. 10:1055.
  8. de Caestecker, M. (2004) Cytokine Growth Factor Rev. 15:1.
  9. Hedger, M.P. and D.M. de Kretser (2013) Cytokine Growth Factor Rev. 24: 285.
  10. Gray, P.C. and W. Vale (2012) FEBS Letters 586:1836.
  11. Kelber, J.A. et al. (2008) J. Biol. Chem. 283: 4490.
  12. Xia, Y. and A.L. Schneyer (2009) Journal of Endocrinology 202:1.

Long Name

Inhibin Subunit Beta B

Alternate Names

activin AB beta polypeptide, Activin Beta B, Activin beta-B chain, INHBB, Inhibin Beta B, inhibin beta B chain, Inhibin Subunit Beta B, inhibin, beta B, inhibin, beta B (activin AB beta polypeptide), Inhibin, beta-2

Entrez Gene IDs

3625 (Human); 16324 (Mouse); 25196 (Rat)

Gene Symbol

INHBB

UniProt

Additional Activin B Products

Product Documents for Recombinant Mouse Activin B Protein

Certificate of Analysis

To download a Certificate of Analysis, please enter a lot number in the search box below.

Note: Certificate of Analysis not available for kit components.

Product Specific Notices for Recombinant Mouse Activin B Protein

For research use only

Loading...
Loading...
Loading...