ZNF652 Antibody
Novus Biologicals, part of Bio-Techne | Catalog # NBP1-97753
Key Product Details
Species Reactivity
Validated:
Human
Cited:
Human
Predicted:
Bovine (100%), Porcine (100%). Backed by our 100% Guarantee.
Applications
Validated:
Immunohistochemistry, Immunohistochemistry-Paraffin, Western Blot, Peptide ELISA
Cited:
Immunohistochemistry-Paraffin
Label
Unconjugated
Antibody Source
Polyclonal Goat IgG
Concentration
0.5 mg/ml
Product Specifications
Immunogen
Peptide with sequence C-RHLAEKNSSAQHH corresponding to C-Terminus according to NP_055712.1.
Specificity
Reported variants represent identical protein: NP_055712.1, NP_001138837.1
Clonality
Polyclonal
Host
Goat
Isotype
IgG
Scientific Data Images for ZNF652 Antibody
Western Blot: ZNF652 Antibody [NBP1-97753]
Western Blot: ZNF652 Antibody [NBP1-97753] - 0.01ug/ml staining of Human Heart lysate (35ug protein in RIPA buffer). Primary incubation was 1 hour. Detected by chemiluminescence.Immunohistochemistry-Paraffin: ZNF652 Antibody [NBP1-97753]
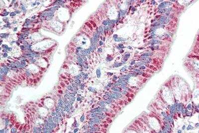
Immunohistochemistry-Paraffin: ZNF652 Antibody [NBP1-97753] - Staining of Human Small Intestine. Steamed antigen retrieval with citrate buffer pH 6, AP-staining.Applications for ZNF652 Antibody
Application
Recommended Usage
Immunohistochemistry
5 ug/ml
Immunohistochemistry-Paraffin
5 ug/ml
Peptide ELISA
Detection limit 1:64000
Western Blot
0.01 - 0.03 ug/ml
Application Notes
WB: Approx. 90 kDa band observed in human heart, kidney, and liver lysates is reported in scientific literature (PMID: 1696643).
Formulation, Preparation, and Storage
Purification
Immunogen affinity purified
Formulation
Tris saline (20 mM Tris pH 7.3, 150 mM NaCl), 0.5% BSA
Preservative
0.02% Sodium Azide
Concentration
0.5 mg/ml
Shipping
The product is shipped with polar packs. Upon receipt, store it immediately at the temperature recommended below.
Stability & Storage
Store at -20C. Avoid freeze-thaw cycles.
Background: ZNF652
Alternate Names
DKFZp781E2122, zinc finger protein 652
Entrez Gene IDs
22834 (Human)
Gene Symbol
ZNF652
UniProt
Additional ZNF652 Products
Product Documents for ZNF652 Antibody
Product Specific Notices for ZNF652 Antibody
This product is for research use only and is not approved for use in humans or in clinical diagnosis. Primary Antibodies are guaranteed for 1 year from date of receipt.
Loading...
Loading...
Loading...
Loading...