Skip to main content

Wnt-2b Antibody - BSA Free

Novus Biologicals, part of Bio-Techne | Catalog # NBP1-53120

Novus Biologicals, part of Bio-Techne
Catalog #
Availability
Size / Price
Qty
Loading...
NBP1-53120

Key Product Details

Species Reactivity

Human

Applications

Immunohistochemistry, Immunohistochemistry-Paraffin, Western Blot

Label

Unconjugated

Antibody Source

Polyclonal Rabbit IgG

Format

BSA Free

Concentration

1 mg/ml

Product Specifications

Immunogen

Synthetic peptides corresponding to WNT2B (wingless-type MMTV integration site family, member 2B) The peptide sequence was selected from the middle region of WNT2B. Peptide sequence LRTCWRALSDFRRTGDYLRRRYDGAVQVMATQDGANFTAARQGYRRATRT. The peptide sequence for this immunogen was taken from within the described region.

Clonality

Polyclonal

Host

Rabbit

Isotype

IgG

Description

The addition of 50% glycerol is optional for those storing this antibody at -20C and not aliquoting smaller units. However, please note that glycerol may interrupt some downstream antibody applications and should be added with caution.

Scientific Data Images for Wnt-2b Antibody - BSA Free

Western Blot: Wnt-2b Antibody [NBP1-53120]

Western Blot: Wnt-2b Antibody [NBP1-53120]

Western Blot: Wnt-2b Antibody [NBP1-53120] - Jurkat Lane A: Primary Antibody Lane B: Primary Antibody + Blocking Peptide Primary Antibody Concentration: 1. 25 ug/ml Peptide Concentration: 4.0 ug/ml lysate Quantity: 25ug/ Lane Gel Concentration: 12% .
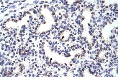
Immunohistochemistry-Paraffin: Wnt-2b Antibody [NBP1-53120]

Immunohistochemistry-Paraffin: Wnt-2b Antibody [NBP1-53120]

Immunohistochemistry-Paraffin: Wnt-2b Antibody [NBP1-53120] - Human Testis.
Western Blot: Wnt-2b Antibody [NBP1-53120]

Western Blot: Wnt-2b Antibody [NBP1-53120]

Western Blot: Wnt-2b Antibody [NBP1-53120] - Jurkat tissue lysate at a concentration of 1.25ug/ml.

Applications for Wnt-2b Antibody - BSA Free

Application
Recommended Usage

Immunohistochemistry

1:10-1:500

Immunohistochemistry-Paraffin

1:10-1:500

Western Blot

1.0 ug/ml

Formulation, Preparation, and Storage

Purification

Protein A purified

Formulation

PBS, 2% Sucrose

Format

BSA Free

Preservative

0.09% Sodium Azide

Concentration

1 mg/ml

Shipping

The product is shipped with polar packs. Upon receipt, store it immediately at the temperature recommended below.

Stability & Storage

Store at 4C short term. Aliquot and store at -20C long term. Avoid freeze-thaw cycles.

Background: Wnt-2b

WNT2B is a member of the wingless-type MMTV integration site (WNT) family of highly conserved, secreted signaling factors. WNT family members function in a variety of developmental processes including regulation of cell growth and differentiation and are characterized by a WNT-core domain. This gene may play a role in human development as well as human carcinogenesis. This gene produces two alternative transcript variants.This gene encodes a member of the wingless-type MMTV integration site (WNT) family of highly conserved, secreted signaling factors. WNT family members function in a variety of developmental processes including regulation of cell growth and differentiation and are characterized by a WNT-core domain. This gene may play a role in human development as well as human carcinogenesis. This gene produces two alternative transcript variants.

Long Name

Wingless-type MMTV Integration Site Family Member 2b

Alternate Names

Wnt-13, Wnt2b, XWNT2

Gene Symbol

WNT2B

UniProt

Additional Wnt-2b Products

Product Documents for Wnt-2b Antibody - BSA Free

Certificate of Analysis

To download a Certificate of Analysis, please enter a lot number in the search box below.

Product Specific Notices for Wnt-2b Antibody - BSA Free

This product is for research use only and is not approved for use in humans or in clinical diagnosis. Primary Antibodies are guaranteed for 1 year from date of receipt.

Loading...
Loading...
Loading...
Loading...