Skip to main content

WDR20 Antibody - BSA Free

Novus Biologicals, part of Bio-Techne | Catalog # NB100-86989

Novus Biologicals, part of Bio-Techne

Key Product Details

Validated by

Independent Antibodies, Biological Validation

Species Reactivity

Human, Mouse

Applications

Immunohistochemistry, Immunohistochemistry-Paraffin, Western Blot, Immunoprecipitation

Label

Unconjugated

Antibody Source

Polyclonal Rabbit IgG

Format

BSA Free

Concentration

1.0 mg/ml

Product Specifications

Immunogen

The immunogen recognized by this antibody maps to a region between residue 450 and 500 of human WD repeat domain 20 using the numbering given in entry AAH28387.1 (GeneID 91833).

Clonality

Polyclonal

Host

Rabbit

Isotype

IgG

Description

Novus Biologicals Rabbit WDR20 Antibody - BSA Free (NB100-86989) is a polyclonal antibody validated for use in IHC, WB and IP. All Novus Biologicals antibodies are covered by our 100% guarantee.

Scientific Data Images for WDR20 Antibody - BSA Free

Western Blot: WDR20 Antibody [NB100-86989]

Western Blot: WDR20 Antibody [NB100-86989]

Western Blot: WDR20 Antibody [NB100-86989] - Detection of Human and Mouse WDR20 by Western Blot (h&m) and Immunoprecipitation (h). Samples: Whole cell lysate from HeLa (5, 15 and 50 mcg for WB; 1 mg for IP, 20% of IP loaded), 293T (T; 50 mcg), and mouse NIH3T3 (M; 50 mcg) cells. Antibodies: Affinity purified rabbit anti-WDR20 antibody NB100-86989 used for WB at 0.1 mcg/ml (A) and 1 mcg/ml (B) and used for IP at 3 mcg/mg lysate. WDR20 was also immunoprecipitated by another rabbit anti-WDR20 antibody which recognizes an upstream epitope.
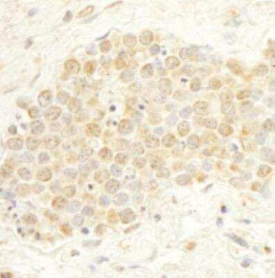
Immunohistochemistry-Paraffin: WDR20 Antibody [NB100-86989]

Immunohistochemistry-Paraffin: WDR20 Antibody [NB100-86989]

Immunohistochemistry-Paraffin: WDR20 Antibody [NB100-86989] - FFPE section of human small cell lung cancer. Antibody: Affinity purified rabbit anti-WDR20 used at a dilution of 1:1,000 (1ug/ml). Detection: DAB

Applications for WDR20 Antibody - BSA Free

Application
Recommended Usage

Immunohistochemistry

1:500- 1:2000

Immunohistochemistry-Paraffin

1:500- 1:2000

Immunoprecipitation

2- 5 ug/mg lysate

Western Blot

1:2000-1:10000
Application Notes
Epitope retrieval with citrate buffer pH6.0 is recommended for FFPE tissue sections.

Formulation, Preparation, and Storage

Purification

Immunogen affinity purified

Formulation

Tris-Citrate/Phosphate (pH 7.0 - 8.0)

Format

BSA Free

Preservative

0.09% Sodium Azide

Concentration

1.0 mg/ml

Shipping

The product is shipped with polar packs. Upon receipt, store it immediately at the temperature recommended below.

Stability & Storage

Store at 4C. Do not freeze.

Background: WDR20

This gene encodes a WD repeat-containing protein. Multiple alternatively spliced transcript variants have been found for this gene, but the full-length nature of some variants has not been defined. [provided by RefSeq]

Alternate Names

DMR, FLJ33659, MGC33177, MGC33183, Protein DMR, WD repeat domain 20, WD repeat-containing protein 20

Entrez Gene IDs

91833 (Human)

Gene Symbol

WDR20

Additional WDR20 Products

Product Documents for WDR20 Antibody - BSA Free

Certificate of Analysis

To download a Certificate of Analysis, please enter a lot number in the search box below.

Product Specific Notices for WDR20 Antibody - BSA Free

This product is for research use only and is not approved for use in humans or in clinical diagnosis. Primary Antibodies are guaranteed for 1 year from date of receipt.

Loading...
Loading...
Loading...
Loading...