Skip to main content

VPS28 Antibody - BSA Free

Novus Biologicals, part of Bio-Techne | Catalog # NBP1-85973

Novus Biologicals, part of Bio-Techne
Catalog #
Availability
Size / Price
Qty
Loading...
NBP1-85973
NBP1-85973-25ul

Key Product Details

Validated by

Independent Antibodies

Species Reactivity

Validated:

Human

Predicted:

Mouse (100%), Rat (100%). Backed by our 100% Guarantee.

Applications

Immunohistochemistry, Immunohistochemistry-Paraffin, Western Blot

Label

Unconjugated

Antibody Source

Polyclonal Rabbit IgG

Format

BSA Free

Concentration

Concentrations vary lot to lot. See vial label for concentration. If unlisted please contact technical services.

Product Specifications

Immunogen

This antibody was developed against Recombinant Protein corresponding to amino acids: VQYKAAFRQVQGSEISSIDEFCRKFRLDCPLAMERIKEDRPITIKDDKGNLNRCIADVVSLFITVMDKLRLEIR

Clonality

Polyclonal

Host

Rabbit

Isotype

IgG

Scientific Data Images for VPS28 Antibody - BSA Free

Western Blot: VPS28 Antibody [NBP1-85973]

Western Blot: VPS28 Antibody [NBP1-85973]

Western Blot: VPS28 Antibody [NBP1-85973] - Analysis using Anti-VPS28 antibody NBP1-85973 (A) shows similar pattern to independent antibody NBP1-85976 (B).
VPS28 Antibody - BSA Free Immunohistochemistry-Paraffin: VPS28 Antibody - BSA Free [NBP1-85973]

Immunohistochemistry-Paraffin: VPS28 Antibody - BSA Free [NBP1-85973]

Staining of human endometrium shows strong cytoplasmic granular positivity in glandular cells.
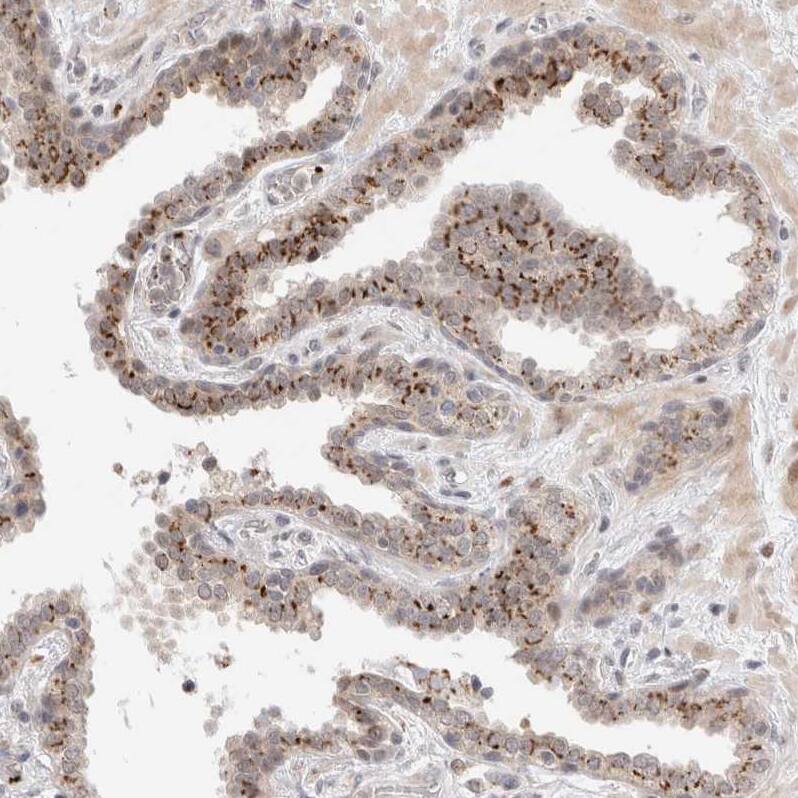
VPS28 Antibody - BSA Free Immunohistochemistry-Paraffin: VPS28 Antibody - BSA Free [NBP1-85973]

Immunohistochemistry-Paraffin: VPS28 Antibody - BSA Free [NBP1-85973]

Staining of human prostate shows strong cytoplasmic granular positivity in glandular cells.

Applications for VPS28 Antibody - BSA Free

Application
Recommended Usage

Immunohistochemistry

1:200 - 1:500

Immunohistochemistry-Paraffin

1:200 - 1:500

Western Blot

0.04-0.4 ug/ml
Application Notes
For IHC-Paraffin, HIER pH 6 retrieval is recommended.

Formulation, Preparation, and Storage

Purification

Affinity purified

Formulation

PBS (pH 7.2) and 40% Glycerol

Format

BSA Free

Preservative

0.02% Sodium Azide

Concentration

Concentrations vary lot to lot. See vial label for concentration. If unlisted please contact technical services.

Shipping

The product is shipped with polar packs. Upon receipt, store it immediately at the temperature recommended below.

Stability & Storage

Store at 4C short term. Aliquot and store at -20C long term. Avoid freeze-thaw cycles.

Background: VPS28

VPS28 encodes a protein involved in endosomal sorting of cell surface receptors via a multivesicular body/late endosome pathway. The encoded protein is one of the three subunits of the ESCRT-I complex (endosomal complexes required for transport) involved in the sorting of ubiquitinated proteins. The two other subunits of ESCRT-I are vesicular protein sorting 23, also known as tumor susceptibility gene 101 (TSG101), and vesicular protein sorting 37. Two alternative transcripts encoding different isoforms have been described. Additional alternative transcripts may exist but the proteins encoded by these transcripts have not been verified experimentally.

Alternate Names

ESCRT-I complex subunit VPS28, H-Vps28, MGC60323, vacuolar protein sorting 28 (yeast), vacuolar protein sorting 28 homolog (S. cerevisiae), vacuolar protein sorting-associated protein 28 homolog, yeast class E protein Vps28p homolog

Gene Symbol

VPS28

Additional VPS28 Products

Product Documents for VPS28 Antibody - BSA Free

Certificate of Analysis

To download a Certificate of Analysis, please enter a lot number in the search box below.

Product Specific Notices for VPS28 Antibody - BSA Free

This product is for research use only and is not approved for use in humans or in clinical diagnosis. Primary Antibodies are guaranteed for 1 year from date of receipt.

Loading...
Loading...
Loading...
Loading...