Skip to main content

UROS Antibody - BSA Free

Novus Biologicals, part of Bio-Techne | Catalog # NBP1-92565

Novus Biologicals, part of Bio-Techne
Catalog #
Availability
Size / Price
Qty
Loading...
NBP1-92565
NBP1-92565-25ul

Key Product Details

Species Reactivity

Human

Applications

Immunocytochemistry/ Immunofluorescence, Immunohistochemistry, Immunohistochemistry-Paraffin, Western Blot

Label

Unconjugated

Antibody Source

Polyclonal Rabbit IgG

Format

BSA Free

Concentration

Concentrations vary lot to lot. See vial label for concentration. If unlisted please contact technical services.

Product Specifications

Immunogen

This antibody was developed against Recombinant Protein corresponding to amino acids: NLKREILPKALKDKGIAMESITVYQTVAHPGIQGNLNSYYSQQGVPASITFFSPSGLTYSLKHIQELSGDNIDQIKFAAIGPTT

Clonality

Polyclonal

Host

Rabbit

Isotype

IgG

Description

Novus Biologicals Rabbit UROS Antibody - BSA Free (NBP1-92565) is a polyclonal antibody validated for use in IHC, WB and ICC/IF. All Novus Biologicals antibodies are covered by our 100% guarantee.

Scientific Data Images for UROS Antibody - BSA Free

Western Blot: UROS Antibody [NBP1-92565]

Western Blot: UROS Antibody [NBP1-92565]

Western Blot: UROS Antibody [NBP1-92565] - Analysis in control (vector only transfected HEK293T lysate) and UROS over-expression lysate (Co-expressed with a C-terminal myc-DDK tag (3.1 kDa) in mammalian HEK293T cells).
Immunocytochemistry/ Immunofluorescence: UROS Antibody [NBP1-92565]

Immunocytochemistry/ Immunofluorescence: UROS Antibody [NBP1-92565]

Immunocytochemistry/Immunofluorescence: UROS Antibody [NBP1-92565] - Immunofluorescent staining of human cell line U-2 OS shows localization to nucleoplasm & cytosol.
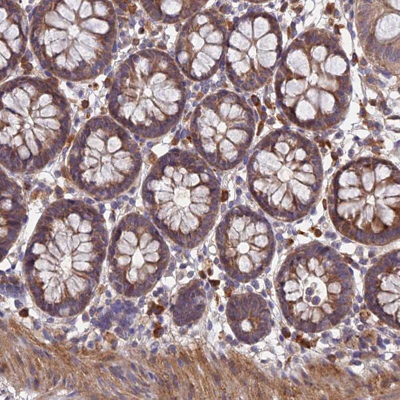
Immunohistochemistry-Paraffin: UROS Antibody [NBP1-92565]

Immunohistochemistry-Paraffin: UROS Antibody [NBP1-92565]

Immunohistochemistry-Paraffin: UROS Antibody [NBP1-92565] - Staining of human colon shows moderate cytoplasmic positivity in glandular cells.

Applications for UROS Antibody - BSA Free

Application
Recommended Usage

Immunocytochemistry/ Immunofluorescence

0.25-2 ug/ml

Immunohistochemistry

1:50 - 1:200

Immunohistochemistry-Paraffin

1:50 - 1:200

Western Blot

0.04-0.4 ug/ml
Application Notes
For IHC-Paraffin, HIER pH 6 retrieval is recommended. ICC/IF Fixation Permeabilization: Use PFA/Triton X-100.

Formulation, Preparation, and Storage

Purification

Immunogen affinity purified

Formulation

PBS (pH 7.2) and 40% Glycerol

Format

BSA Free

Preservative

0.02% Sodium Azide

Concentration

Concentrations vary lot to lot. See vial label for concentration. If unlisted please contact technical services.

Shipping

The product is shipped with polar packs. Upon receipt, store it immediately at the temperature recommended below.

Stability & Storage

Store at 4C short term. Aliquot and store at -20C long term. Avoid freeze-thaw cycles.

Background: UROS

UROS is encoded by this gene catalyzes the fourth step of porphyrin biosynthesis in the heme biosynthetic pathway. Defects in this gene cause congenital erythropoietic porphyria (Gunther's disease).

Alternate Names

EC 4.2.1.75, hydroxymethylbilane hydrolyase, Hydroxymethylbilane hydrolyase [cyclizing], UROIIIS, uroporphyrinogen III synthase, Uroporphyrinogen-III cosynthase, uroporphyrinogen-III synthase

Gene Symbol

UROS

Additional UROS Products

Product Documents for UROS Antibody - BSA Free

Certificate of Analysis

To download a Certificate of Analysis, please enter a lot number in the search box below.

Product Specific Notices for UROS Antibody - BSA Free

This product is for research use only and is not approved for use in humans or in clinical diagnosis. Primary Antibodies are guaranteed for 1 year from date of receipt.

Loading...
Loading...
Loading...
Loading...