Skip to main content

UQCRFS1 Antibody - BSA Free

Novus Biologicals, part of Bio-Techne | Catalog # NBP2-38623

Novus Biologicals, part of Bio-Techne
Catalog #
Availability
Size / Price
Qty
Loading...
NBP2-38623
NBP2-38623-25ul

Key Product Details

Validated by

Knockout/Knockdown, Independent Antibodies

Species Reactivity

Validated:

Human

Predicted:

Mouse (91%), Rat (91%). Backed by our 100% Guarantee.

Applications

Immunohistochemistry, Immunohistochemistry-Paraffin, Western Blot, Knockdown Validated

Label

Unconjugated

Antibody Source

Polyclonal Rabbit IgG

Format

BSA Free

Concentration

Concentrations vary lot to lot. See vial label for concentration. If unlisted please contact technical services.

Product Specifications

Immunogen

This antibody was developed against a recombinant protein corresponding to amino acids: VTQFVSSMSASADVLALAKIEIKLSDIPEGKNMAFKWRGKPLFVRHRTQKEIEQEAAVELSQLRDPQHDL

Clonality

Polyclonal

Host

Rabbit

Isotype

IgG

Description

Novus Biologicals Rabbit UQCRFS1 Antibody - BSA Free (NBP2-38623) is a polyclonal antibody validated for use in IHC and WB. All Novus Biologicals antibodies are covered by our 100% guarantee.

Scientific Data Images for UQCRFS1 Antibody - BSA Free

Western Blot: UQCRFS1 Antibody [NBP2-38623]

Western Blot: UQCRFS1 Antibody [NBP2-38623]

Western Blot: UQCRFS1 Antibody [NBP2-38623] - Analysis using Anti-UQCRFS1 antibody NBP2-38623 (A) shows similar pattern to independent antibody NBP1-87826 (B).
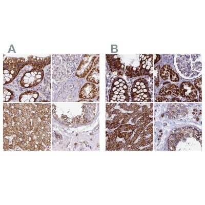
Immunohistochemistry-Paraffin: UQCRFS1 Antibody [NBP2-38623]

Immunohistochemistry-Paraffin: UQCRFS1 Antibody [NBP2-38623]

Immunohistochemistry-Paraffin: UQCRFS1 Antibody [NBP2-38623] - Staining of human colon.
Western Blot: UQCRFS1 Antibody [NBP2-38623]

Western Blot: UQCRFS1 Antibody [NBP2-38623]

Western Blot: UQCRFS1 Antibody [NBP2-38623] - Analysis in A-549 cells transfected with control siRNA, target specific siRNA probe #1. Remaining relative intensity is presented. Loading control: Anti-GAPDH.

Applications for UQCRFS1 Antibody - BSA Free

Application
Recommended Usage

Immunohistochemistry

1:50 - 1:200

Immunohistochemistry-Paraffin

1:50 - 1:200

Western Blot

0.04-0.4 ug/ml
Application Notes
For IHC-Paraffin, HIER pH 6 retrieval is recommended.

Formulation, Preparation, and Storage

Purification

Affinity purified

Formulation

PBS (pH 7.2) and 40% Glycerol

Format

BSA Free

Preservative

0.02% Sodium Azide

Concentration

Concentrations vary lot to lot. See vial label for concentration. If unlisted please contact technical services.

Shipping

The product is shipped with polar packs. Upon receipt, store it immediately at the temperature recommended below.

Stability & Storage

Store at 4C short term. Aliquot and store at -20C long term. Avoid freeze-thaw cycles.

Background: UQCRFS1

RIP1 is a component of the ubiquinol-cytochrome c reductase complex (complex III or cytochrome b-c1 complex), which is a respiratory chain that generates an electrochemical potential coupled to ATP synthesis Function: The transit peptide of the Rieske protein seems

Alternate Names

Complex III subunit 5, Cytochrome b-c1 complex subunit 5, cytochrome b-c1 complex subunit Rieske, mitochondrial, EC 1.10.2.2, Rieske iron-sulfur protein, RIP1, RIS1, RISPUbiquinol-cytochrome c reductase iron-sulfur subunit, ubiquinol-cytochrome c reductase, Rieske iron-sulfur polypeptide 1, UQCR5

Gene Symbol

UQCRFS1

UniProt

Additional UQCRFS1 Products

Product Documents for UQCRFS1 Antibody - BSA Free

Certificate of Analysis

To download a Certificate of Analysis, please enter a lot number in the search box below.

Product Specific Notices for UQCRFS1 Antibody - BSA Free

This product is for research use only and is not approved for use in humans or in clinical diagnosis. Primary Antibodies are guaranteed for 1 year from date of receipt.

Loading...
Loading...
Loading...
Loading...