Skip to main content

UBXD2 Antibody - BSA Free

Novus Biologicals, part of Bio-Techne | Catalog # NBP3-05991

Novus Biologicals, part of Bio-Techne

Key Product Details

Species Reactivity

Human

Applications

Immunohistochemistry, Immunohistochemistry-Paraffin, Immunocytochemistry/ Immunofluorescence

Label

Unconjugated

Antibody Source

Polyclonal Rabbit IgG

Format

BSA Free

Concentration

Please see the vial label for concentration. If unlisted please contact technical services.

Product Specifications

Immunogen

Produced in rabbits immunized with E. coli-derived Human UBXD2 fragment.

Clonality

Polyclonal

Host

Rabbit

Isotype

IgG

Description

This antibody can be stored at 2C-8C for one month without detectable loss of activity. Antibody products are stable for twelve months from date of receipt when stored at -20C to -80C. Avoid repeated freeze-thaw cycles.

Scientific Data Images for UBXD2 Antibody - BSA Free

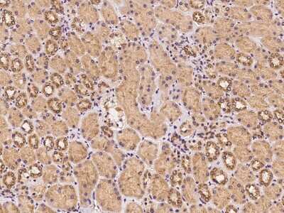
Immunohistochemistry: UBXD2 Antibody [NBP3-05991]

Immunohistochemistry: UBXD2 Antibody [NBP3-05991]

Immunohistochemistry: UBXD2 Antibody [NBP3-05991] - Immunochemical staining of human UBXD2 in human liver with rabbit polyclonal antibody at 1:100 dilution, formalin-fixed paraffin embedded sections.
Immunohistochemistry: UBXD2 Antibody [NBP3-05991]

Immunohistochemistry: UBXD2 Antibody [NBP3-05991]

Immunohistochemistry: UBXD2 Antibody [NBP3-05991] - Immunochemical staining of human UBXD2 in human kidney with rabbit polyclonal antibody at 1:100 dilution, formalin-fixed paraffin embedded sections.
UBXD2 Antibody - BSA Free

Immunocytochemistry/Immunofluorescence: UBXD2 Antibody [NBP3-05991] -

Immunocytochemistry/Immunofluorescence: UBXD2 Antibody [NBP3-05991] - Immunofluorescence staining of UBXN4 in A431 cells. Cells were fixed with 4% PFA, permeabilzed with 0.1% Triton X-100 in PBS,blocked with 10% serum, and incubated with NBP3-05991 antibody (dilution ratio 1:200) at 4 degrees celsius overnight. Then cells were stained with the Alexa Fluor (TM) 488-conjugated Goat Anti-rabbit IgG secondary antibody (green) and counterstained with DAPI (blue).Positive staining was localized to Cytoplasm.

Applications for UBXD2 Antibody - BSA Free

Application
Recommended Usage

Immunocytochemistry/ Immunofluorescence

1:100-1:500

Immunohistochemistry-Paraffin

1:50-1:200

Formulation, Preparation, and Storage

Purification

Antigen and protein A Affinity-purified

Formulation

PBS

Format

BSA Free

Preservative

0.03% Proclin 300

Concentration

Please see the vial label for concentration. If unlisted please contact technical services.

Shipping

The product is shipped with polar packs. Upon receipt, store it immediately at the temperature recommended below.

Stability & Storage

Store at 4C short term. Aliquot and store at -20C long term. Avoid freeze-thaw cycles.

Background: UBXD2

UBXD2 is an integral membrane protein of the endoplasmic reticulum (ER) that binds valosin-containing protein (VCP; MIM 601023) and promotes ER-associated protein degradation (ERAD) (Liang et al., 2006 (PubMed 16968747)).(supplied by OMIM)

Alternate Names

erasin, FLJ23318, KIAA0242KIAA2042, UBX domain containing 2, UBX domain protein 4, UBX domain-containing 1, UBX domain-containing 2, UBX domain-containing protein 2, UBX domain-containing protein 4, UBXD2, UBXDC1

Gene Symbol

UBXN4

Additional UBXD2 Products

Product Documents for UBXD2 Antibody - BSA Free

Certificate of Analysis

To download a Certificate of Analysis, please enter a lot number in the search box below.

Product Specific Notices for UBXD2 Antibody - BSA Free

This product is for research use only and is not approved for use in humans or in clinical diagnosis. Primary Antibodies are guaranteed for 1 year from date of receipt.

Loading...
Loading...
Loading...
Loading...