Tyrosinase Antibody (JA52-11)
Novus Biologicals, part of Bio-Techne | Catalog # NBP2-67232
Recombinant Monoclonal Antibody.
Key Product Details
Species Reactivity
Human, Mouse
Applications
Immunocytochemistry/ Immunofluorescence, Immunohistochemistry, Immunohistochemistry-Paraffin, Western Blot
Label
Unconjugated
Antibody Source
Recombinant Monoclonal Rabbit IgG Clone # JA52-11 expressed in HEK293
Concentration
1 mg/ml
Product Specifications
Immunogen
Recombinant protein within Human Tyrosinase aa 1-340 / 529. (SwissProt: P14679 Human; SwissProt: P11344 Mouse)
Localization
Melanosome membrane, Melanosome.
Clonality
Monoclonal
Host
Rabbit
Isotype
IgG
Description
Novus Biologicals Rabbit Tyrosinase Antibody (JA52-11) (NBP2-67232) is a recombinant monoclonal antibody validated for use in IHC, WB and ICC/IF. All Novus Biologicals antibodies are covered by our 100% guarantee.
Scientific Data Images for Tyrosinase Antibody (JA52-11)
Western Blot: Tyrosinase Antibody (JA52-11) [NBP2-67232]
Western Blot: Tyrosinase Antibody (JA52-11) [NBP2-67232] - Western blot analysis of Tyrosinase on B16F1 cell lysates. Proteins were transferred to a PVDF membrane and blocked with 5% BSA in PBS for 1 hour at room temperature. The primary antibody (1/500) was used in 5% BSA at room temperature for 2 hours. Goat Anti-Rabbit IgG - HRP Secondary Antibody (HA1001) at 1:200,000 dilution was used for 1 hour at room temperature.Immunocytochemistry/ Immunofluorescence: Tyrosinase Antibody (JA52-11) [NBP2-67232]
Immunocytochemistry/Immunofluorescence: Tyrosinase Antibody (JA52-11) [NBP2-67232] - Staining Tyrosinase in B16F1 cells (red). The nuclear counter stain is DAPI (blue). Cells were fixed in paraformaldehyde, permeabilised with 0.25% Triton X100/PBS.Immunohistochemistry-Paraffin: Tyrosinase Antibody (JA52-11) [NBP2-67232]
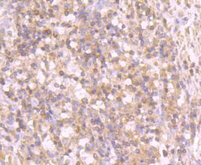
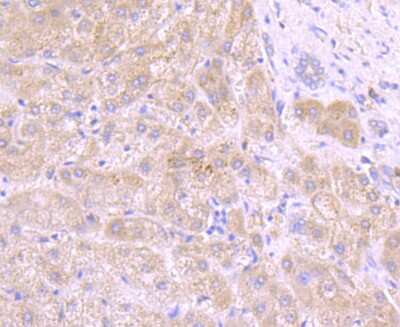
Immunohistochemistry-Paraffin: Tyrosinase Antibody (JA52-11) [NBP2-67232] - Analysis of paraffin-embedded human stomach cancer tissue using anti-Tyrosinase antibody. Counter stained with hematoxylin.Applications for Tyrosinase Antibody (JA52-11)
Application
Recommended Usage
Immunocytochemistry/ Immunofluorescence
1:100-1:500
Immunohistochemistry-Paraffin
1:50-1:200
Western Blot
1:500-1:2000
Formulation, Preparation, and Storage
Purification
Protein A purified
Formulation
TBS (pH7.4), 0.05% BSA, 40% Glycerol
Preservative
0.05% Sodium Azide
Concentration
1 mg/ml
Shipping
The product is shipped with polar packs. Upon receipt, store it immediately at the temperature recommended below.
Stability & Storage
Store at 4C short term. Aliquot and store at -20C long term. Avoid freeze-thaw cycles.
Background: Tyrosinase
Alternate Names
CMM8, EC 1.14.18.1, LB24-AB, Monophenol monooxygenase, OCA1A, OCAIA, SHEP3, SK29-AB, Tumor rejection antigen AB, tyrosinase, tyrosinase (oculocutaneous albinism IA)
Gene Symbol
TYR
Additional Tyrosinase Products
Product Documents for Tyrosinase Antibody (JA52-11)
Product Specific Notices for Tyrosinase Antibody (JA52-11)
This product is for research use only and is not approved for use in humans or in clinical diagnosis. Primary Antibodies are guaranteed for 1 year from date of receipt.
Loading...
Loading...
Loading...
Loading...