TXNIP Antibody - BSA Free
Novus Biologicals, part of Bio-Techne | Catalog # NBP3-29491
Key Product Details
Species Reactivity
Human
Applications
Immunohistochemistry, Immunoprecipitation
Label
Unconjugated
Antibody Source
Polyclonal Rabbit IgG
Format
BSA Free
Concentration
Please see the vial label for concentration. If unlisted please contact technical services.
Product Specifications
Immunogen
between 300 and 350
Clonality
Polyclonal
Host
Rabbit
Isotype
IgG
Description
Novus Biologicals Rabbit TXNIP Antibody - BSA Free (NBP3-29491) is a polyclonal antibody validated for use in IHC and IP. All Novus Biologicals antibodies are covered by our 100% guarantee.
Scientific Data Images for TXNIP Antibody - BSA Free
Immunohistochemistry;TXNIP Antibody[NBP3-29490]
Immunohistochemistry;TXNIP Antibody[NBP3-29490]Detection of human TXNIP by immunohistochemistry. Sample: FFPE section of human colon carcinoma. Antibody: Affinity purified rabbit anti-TXNIP used at a dilution of 1:1,000 . Detection: DABImmunoprecipitation:TXNIP AntibodyNBP3-29491] -
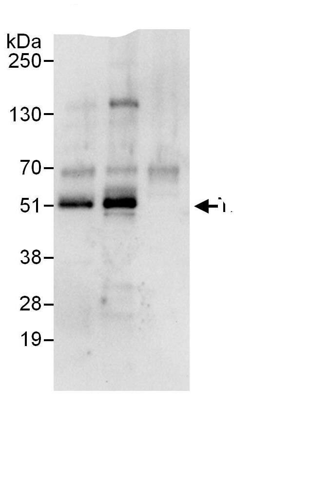
Immunoprecipitation:TXNIP AntibodyNBP3-29491] -Detection of human TXNIP by western blot of immunoprecipitates. Samples: Whole cell lysate (1 mg for IP, 20% of IP loaded) from HeLa cells. Antibodies: Affinity purified rabbit anti-TXNIP antibody NBP3-29491 used for IP at 6 µg/mg lysate. TXNIP was also immunoprecipitated by rabbit anti-TXNIP antibody, which recognizes an upstream epitope. For blotting immunoprecipitated TXNIP, NBP3-29491 was used at 1 µg/ml. Detection: Chemiluminescence with an exposure time of 10 seconds.Applications for TXNIP Antibody - BSA Free
Application
Recommended Usage
Immunohistochemistry
Optimal dilutions of this antibody should be experimentally determined.
Immunoprecipitation
Optimal dilutions of this antibody should be experimentally determined.
Formulation, Preparation, and Storage
Purification
Affinity purified
Formulation
Tris-citrate/phosphate buffer, pH 7 to 8
Format
BSA Free
Preservative
0.09% Sodium Azide
Concentration
Please see the vial label for concentration. If unlisted please contact technical services.
Shipping
The product is shipped with polar packs. Upon receipt, store it immediately at the temperature recommended below.
Stability & Storage
Store at 4C. Do not freeze.
Background: TXNIP
Alternate Names
HHCPA78, THIF, thioredoxin binding protein 2, thioredoxin interacting protein, Thioredoxin-binding protein 2, thioredoxin-interacting protein, upregulated by 1,25-dihydroxyvitamin D-3, VDUP1EST01027, Vitamin D3 up-regulated protein 1
Gene Symbol
TXNIP
Additional TXNIP Products
Product Specific Notices for TXNIP Antibody - BSA Free
This product is for research use only and is not approved for use in humans or in clinical diagnosis. Primary Antibodies are guaranteed for 1 year from date of receipt.
Loading...
Loading...
Loading...
Loading...