Skip to main content

TXNIP Antibody (JY2) - Azide and BSA Free

Novus Biologicals, part of Bio-Techne | Catalog # NBP2-81001

Novus Biologicals, part of Bio-Techne
Catalog #
Availability
Size / Price
Qty
Loading...
NBP2-81001

Key Product Details

Species Reactivity

Human, Mouse, Rat

Applications

Knockout Validated, Immunohistochemistry, Immunohistochemistry-Paraffin, Immunohistochemistry-Frozen, Western Blot, Flow Cytometry, Immunocytochemistry/ Immunofluorescence, Immunoprecipitation, Proximity Ligation Assay, CyTOF-ready

Label

Unconjugated

Antibody Source

Monoclonal Mouse IgG1 Clone # JY2

Format

Azide and BSA Free

Concentration

1 mg/ml

Product Specifications

Immunogen

Human recombinant TXNIP

Reactivity Notes

Please note that this antibody is reactive to Mouse and derived from the same host, Mouse. Additional Mouse on Mouse blocking steps may be required for IHC and ICC experiments. Please contact Technical Support for more information.

Clonality

Monoclonal

Host

Mouse

Isotype

IgG1

Description

Novus Biologicals Knockout (KO) Validated Mouse TXNIP Antibody (JY2) - Azide and BSA Free (NBP1-54578) is a monoclonal antibody validated for use in IHC, WB, Flow, ICC/IF and IP. All Novus Biologicals antibodies are covered by our 100% guarantee.

Scientific Data Images for TXNIP Antibody (JY2) - Azide and BSA Free

Western Blot: TXNIP Antibody (JY2)Azide and BSA Free [NBP2-81001]

Western Blot: TXNIP Antibody (JY2)Azide and BSA Free [NBP2-81001]

Western Blot: TXNIP Antibody (JY2) - Azide and BSA Free [NBP2-81001] - TXNIP expression in Raji (1), K562 (2), KG1 (3), MRC5 (4), IC2Tr (5), HEL (6), P19 (7) and WR19L (8). Image from the standard format of this antibody.
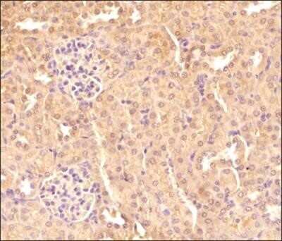
Immunocytochemistry: TXNIP Antibody (JY2) - Azide and BSA Free [NBP2-81001]

Immunocytochemistry: TXNIP Antibody (JY2) - Azide and BSA Free [NBP2-81001]

Immunocytochemistry: TXNIP Antibody (JY2) - Azide and BSA Free [NBP2-81001] - Formalin fixed and paraffin embedded tissue section of mouse kidney using TXNIP antibody (clone JY2) at 1:250 dilution. The signal was developed using HRP-conjugated secondary antibody and DAB reagent which followed counterstaining of the cell nuclei with
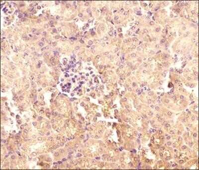
Immunohistochemistry: TXNIP Antibody (JY2) - Azide and BSA Free [NBP2-81001]

Immunohistochemistry: TXNIP Antibody (JY2) - Azide and BSA Free [NBP2-81001]

Immunohistochemistry: TXNIP Antibody (JY2) - Azide and BSA Free [NBP2-81001] - Formalin fixed and paraffin embedded tissue section of mouse kidney using TXNIP antibody (clone JY2) at 1:100 dilution. The signal was developed using HRP-conjugated secondary antibody and DAB reagent which followed counterstaining of the cell nuclei with

Applications for TXNIP Antibody (JY2) - Azide and BSA Free

Application
Recommended Usage

Flow Cytometry

2-5 ug/0.1x10^6 cells

Immunohistochemistry-Frozen

reported by customer review

Immunohistochemistry-Paraffin

1:100-1:500

Immunoprecipitation

5x10^6 cells

Western Blot

1:1000

Formulation, Preparation, and Storage

Purification

Protein A or G purified

Formulation

PBS

Format

Azide and BSA Free

Preservative

No Preservative

Concentration

1 mg/ml

Shipping

The product is shipped with polar packs. Upon receipt, store it immediately at the temperature recommended below.

Stability & Storage

Store at -20C. Avoid freeze-thaw cycles.

Background: TXNIP

Vitamin D3 up-regulated protein 1 (VDUP-1), also called Thioredoxin (TRX)-interacting protein, is an endogenous inhibitor of TRX. Redox-dependent regulation of VDUP-1 by mitogenic factors through Reactive oxygen species (ROS) and the specific binding of VDUP-1 to the redox-sensitive cysteine-sulfide center of TRX modulate intracellular levels of ROS and the mitogenic activity of TRX. It has been reported that TXNIP plays important roles in diverse cellular processes, including the regulation of cellular redox balance, apoptosis, proliferation, and differentiation.

Alternate Names

HHCPA78, THIF, thioredoxin binding protein 2, thioredoxin interacting protein, Thioredoxin-binding protein 2, thioredoxin-interacting protein, upregulated by 1,25-dihydroxyvitamin D-3, VDUP1EST01027, Vitamin D3 up-regulated protein 1

Gene Symbol

TXNIP

Additional TXNIP Products

Product Documents for TXNIP Antibody (JY2) - Azide and BSA Free

Certificate of Analysis

To download a Certificate of Analysis, please enter a lot number in the search box below.

Product Specific Notices for TXNIP Antibody (JY2) - Azide and BSA Free

This product is for research use only and is not approved for use in humans or in clinical diagnosis. Primary Antibodies are guaranteed for 1 year from date of receipt.

Loading...
Loading...
Loading...
Loading...
Loading...