TRP2 Antibody - BSA Free
Novus Biologicals, part of Bio-Techne | Catalog # NBP1-86893
Key Product Details
Validated by
Orthogonal Validation, Independent Antibodies
Species Reactivity
Validated:
Human
Cited:
Human
Applications
Validated:
Immunohistochemistry, Immunohistochemistry-Paraffin, Western Blot, Immunocytochemistry/ Immunofluorescence
Cited:
Western Blot, IF/IHC
Label
Unconjugated
Antibody Source
Polyclonal Rabbit IgG
Format
BSA Free
Concentration
Concentrations vary lot to lot. See vial label for concentration. If unlisted please contact technical services.
Product Specifications
Immunogen
This antibody was developed against Recombinant Protein corresponding to amino acids: WSGPYILRNQDDRELWPRKFFHRTCKCTGNFAGYNCGDCKFGWTGPNCERKKPPVIRQNIHSLSPQEREQFLGALDLAKKRVHPDYVITTQHWLGLLGPNGTQPQFANCSVYDF
Reactivity Notes
Mouse (88%).
Clonality
Polyclonal
Host
Rabbit
Isotype
IgG
Scientific Data Images for TRP2 Antibody - BSA Free
Immunocytochemistry/ Immunofluorescence: TRP2 Antibody [NBP1-86893]
Immunocytochemistry/Immunofluorescence: TRP2 Antibody [NBP1-86893] - Mouse melanoblasts were incubated for 1h at 37C with anti-Trp2 rabbit 1:200, followed by incubation with Donkey anti-rabbit AF488. ICC/IF image submitted by a verified customer review.Immunohistochemistry-Paraffin: TRP2 Antibody [NBP1-86893]
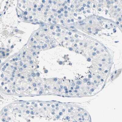
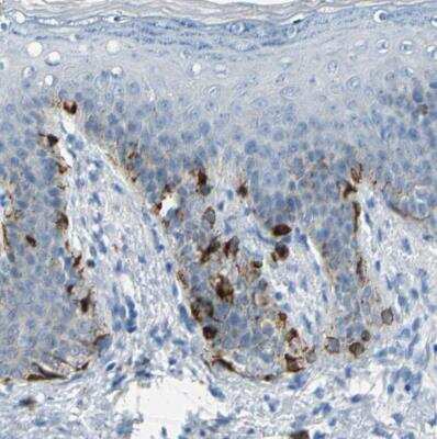
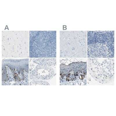
Immunohistochemistry-Paraffin: TRP2 Antibody [NBP1-86893] - Staining of human cerebral cortex, lymph node, skin and testis using Anti-TRP2 antibody NBP1-86893 (A) shows similar protein distribution across tissues to independent antibody NBP1-86892 (B).Applications for TRP2 Antibody - BSA Free
Application
Recommended Usage
Immunocytochemistry/ Immunofluorescence
Validated from a verified customer review.
Immunohistochemistry
1:200 - 1:500
Immunohistochemistry-Paraffin
1:200-1:500
Western Blot
0.04-0.4 ug/ml
Application Notes
For IHC-Paraffin, HIER pH 6 retrieval is recommended.
Reviewed Applications
Read 1 review rated 5 using NBP1-86893 in the following applications:
Formulation, Preparation, and Storage
Purification
Affinity purified
Formulation
PBS (pH 7.2) and 40% Glycerol
Format
BSA Free
Preservative
0.02% Sodium Azide
Concentration
Concentrations vary lot to lot. See vial label for concentration. If unlisted please contact technical services.
Shipping
The product is shipped with polar packs. Upon receipt, store it immediately at the temperature recommended below.
Stability & Storage
Store at 4C short term. Aliquot and store at -20C long term. Avoid freeze-thaw cycles.
Background: TRP2
Alternate Names
dopachrome delta-isomerase, dopachrome tautomerase (dopachrome delta-isomerase, tyrosine-related protein 2), DT, EC 5.3.3.12, L-dopachrome tautomerase, TRP2, TRP-2, Tyrosinase-related protein 2, TYRP2, TYRP2L-dopachrome Delta-isomerase
Gene Symbol
DCT
Additional TRP2 Products
Product Documents for TRP2 Antibody - BSA Free
Product Specific Notices for TRP2 Antibody - BSA Free
This product is for research use only and is not approved for use in humans or in clinical diagnosis. Primary Antibodies are guaranteed for 1 year from date of receipt.
Loading...
Loading...
Loading...
Loading...