Skip to main content

TRP2 Antibody - BSA Free

Novus Biologicals, part of Bio-Techne | Catalog # NBP1-86892

Novus Biologicals, part of Bio-Techne
Catalog #
Availability
Size / Price
Qty
Loading...
NBP1-86892-25ul
NBP1-86892

Key Product Details

Validated by

Orthogonal Validation, Independent Antibodies

Species Reactivity

Human, Canine, Equine

Applications

Immunohistochemistry, Immunohistochemistry-Paraffin, Western Blot

Label

Unconjugated

Antibody Source

Polyclonal Rabbit IgG

Format

BSA Free

Concentration

Concentrations vary lot to lot. See vial label for concentration. If unlisted please contact technical services.

Product Specifications

Immunogen

This antibody was developed against Recombinant Protein corresponding to amino acids: NECDVCTDQLFGAARPDDPTLISRNSRFSSWETVCDSLDDYNHLVTLCNGTYEGLLRRNQMGRNSMKLPTLKDIRDCLSLQKFDNPPFFQNSTFSFRNALEGFDKADGTLDSQVMSLHNLVHSFLNGTNALPHSAANDPIFVVLHSFTDA

Reactivity Notes

Immunogen displays the following percentage of sequence identity for non-tested species: Mouse (88%). Canine and equine reactivities reported from verified customer reviews.

Clonality

Polyclonal

Host

Rabbit

Isotype

IgG

Description

Novus Biologicals Rabbit TRP2 Antibody - BSA Free (NBP1-86892) is a polyclonal antibody validated for use in IHC and WB. Anti-TRP2 Antibody: Cited in 1 publication. All Novus Biologicals antibodies are covered by our 100% guarantee.

Scientific Data Images for TRP2 Antibody - BSA Free

Immunohistochemistry-Paraffin: TRP2 Antibody [NBP1-86892]

Immunohistochemistry-Paraffin: TRP2 Antibody [NBP1-86892]

Immunohistochemistry-Paraffin: TRP2 Antibody [NBP1-86892] - Staining in human skin and skeletal muscle tissues using anti-DCT antibody. Corresponding DCT RNA-seq data are presented for the same tissues.
Immunohistochemistry-Paraffin: TRP2 Antibody [NBP1-86892]

Immunohistochemistry-Paraffin: TRP2 Antibody [NBP1-86892]

Immunohistochemistry-Paraffin: TRP2 Antibody [NBP1-86892] - Staining of human cerebral cortex, lymph node, skin and testis using Anti-TRP2 antibody NBP1-86892 (A) shows similar protein distribution across tissues to independent antibody NBP1-86893 (B).
Immunohistochemistry-Paraffin: TRP2 Antibody [NBP1-86892]

Immunohistochemistry-Paraffin: TRP2 Antibody [NBP1-86892]

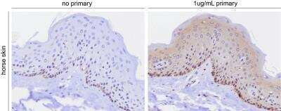
Immunohistochemistry-Paraffin: TRP2 Antibody [NBP1-86892] - TRP2 immunoreactivity in equine skin. Tissue sections were incubated with primary antibody for 30 minutes at room temperature. IHC-P image submitted by a verified customer review.

Applications for TRP2 Antibody - BSA Free

Application
Recommended Usage

Immunohistochemistry

1:200 - 1:500

Immunohistochemistry-Paraffin

1:200-1:500

Western Blot

0.04-0.4 ug/ml
Application Notes
For IHC-Paraffin, HIER pH 6 retrieval is recommended.

Reviewed Applications

Read 2 reviews rated 5 using NBP1-86892 in the following applications:

Formulation, Preparation, and Storage

Purification

Affinity purified

Formulation

PBS (pH 7.2) and 40% Glycerol

Format

BSA Free

Preservative

0.02% Sodium Azide

Concentration

Concentrations vary lot to lot. See vial label for concentration. If unlisted please contact technical services.

Shipping

The product is shipped with polar packs. Upon receipt, store it immediately at the temperature recommended below.

Stability & Storage

Store at 4C short term. Aliquot and store at -20C long term. Avoid freeze-thaw cycles.

Background: TRP2

TRP2 is involved in regulating eumelanin and phaeomelanin levels

Alternate Names

dopachrome delta-isomerase, dopachrome tautomerase (dopachrome delta-isomerase, tyrosine-related protein 2), DT, EC 5.3.3.12, L-dopachrome tautomerase, TRP2, TRP-2, Tyrosinase-related protein 2, TYRP2, TYRP2L-dopachrome Delta-isomerase

Gene Symbol

DCT

Additional TRP2 Products

Product Documents for TRP2 Antibody - BSA Free

Certificate of Analysis

To download a Certificate of Analysis, please enter a lot number in the search box below.

Product Specific Notices for TRP2 Antibody - BSA Free

This product is for research use only and is not approved for use in humans or in clinical diagnosis. Primary Antibodies are guaranteed for 1 year from date of receipt.

Loading...
Loading...
Loading...
Loading...