Skip to main content

Treacher Collins syndrome protein Antibody - BSA Free

Novus Biologicals, part of Bio-Techne | Catalog # NBP1-86909

Novus Biologicals, part of Bio-Techne
Catalog #
Availability
Size / Price
Qty
Loading...
NBP1-86909

Key Product Details

Species Reactivity

Validated:

Human, Zebrafish

Cited:

Human, Fish - Danio rerio (Zebrafish)

Applications

Validated:

Immunohistochemistry, Immunohistochemistry-Paraffin, Immunocytochemistry/ Immunofluorescence

Cited:

Immunocytochemistry/ Immunofluorescence

Label

Unconjugated

Antibody Source

Polyclonal Rabbit IgG

Format

BSA Free

Concentration

Concentrations vary lot to lot. See vial label for concentration. If unlisted please contact technical services.

Product Specifications

Immunogen

This antibody was developed against Recombinant Protein corresponding to amino acids: ESSRISDGKKQEGPATQVSKKNPASLPLTQAALKVLAQKASEAQPPVARTQPSSGVDSAVGTLPATSPQSTSVQAKGTNKLRKPK

Reactivity Notes

Use in Zebrafish reported in scientific literature (PMID:32231306).

Clonality

Polyclonal

Host

Rabbit

Isotype

IgG

Scientific Data Images for Treacher Collins syndrome protein Antibody - BSA Free

Immunocytochemistry/ Immunofluorescence: Treacher Collins syndrome protein Antibody [NBP1-86909]

Immunocytochemistry/ Immunofluorescence: Treacher Collins syndrome protein Antibody [NBP1-86909]

Immunocytochemistry/Immunofluorescence: Treacher Collins syndrome protein Antibody [NBP1-86909] - Staining of human cell line A-431 shows localization to nucleoli fibrillar center. Antibody staining is shown in green.
Immunohistochemistry-Paraffin: Treacher Collins syndrome protein Antibody [NBP1-86909]

Immunohistochemistry-Paraffin: Treacher Collins syndrome protein Antibody [NBP1-86909]

Immunohistochemistry-Paraffin: Treacher Collins syndrome protein Antibody [NBP1-86909] - Staining of human colon shows weak to moderate nuclear and nucleolar positivity in glandular cells.
Immunohistochemistry-Paraffin: Treacher Collins syndrome protein Antibody [NBP1-86909]

Immunohistochemistry-Paraffin: Treacher Collins syndrome protein Antibody [NBP1-86909]

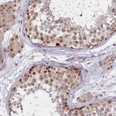
Immunohistochemistry-Paraffin: Treacher Collins syndrome protein Antibody [NBP1-86909] - Staining of human Fallopian tube shows strong nuclear positivity in glandular cells.

Applications for Treacher Collins syndrome protein Antibody - BSA Free

Application
Recommended Usage

Immunocytochemistry/ Immunofluorescence

0.25-2 ug/ml

Immunohistochemistry

1:50 - 1:200

Immunohistochemistry-Paraffin

1:50 - 1:200
Application Notes
For IHC-Paraffin, HIER pH 6 retrieval is recommended. ICC/IF Fixation Permeabilization: Use PFA/Triton X-100.

Formulation, Preparation, and Storage

Purification

Affinity purified

Formulation

PBS (pH 7.2) and 40% Glycerol

Format

BSA Free

Preservative

0.02% Sodium Azide

Concentration

Concentrations vary lot to lot. See vial label for concentration. If unlisted please contact technical services.

Shipping

The product is shipped with polar packs. Upon receipt, store it immediately at the temperature recommended below.

Stability & Storage

Store at 4C short term. Aliquot and store at -20C long term. Avoid freeze-thaw cycles.

Background: Treacher Collins syndrome protein

This gene encodes a nucleolar protein with a LIS1 homology domain. The protein is involved in ribosomal DNA gene transcription through its interaction with upstream binding factor (UBF). Mutations in this gene have been associated with Treacher Collins syndrome, a disorder which includes abnormal craniofacial development. Multiple transcript variants encoding different isoforms have been found for this gene

Alternate Names

MFD1, nucleolar trafficking phosphoprotein, TCS1, Treacher Collins syndrome protein, Treacher Collins-Franceschetti syndrome 1, treacle, treacle protein

Gene Symbol

TCOF1

Additional Treacher Collins syndrome protein Products

Product Documents for Treacher Collins syndrome protein Antibody - BSA Free

Certificate of Analysis

To download a Certificate of Analysis, please enter a lot number in the search box below.

Product Specific Notices for Treacher Collins syndrome protein Antibody - BSA Free

This product is for research use only and is not approved for use in humans or in clinical diagnosis. Primary Antibodies are guaranteed for 1 year from date of receipt.

Loading...
Loading...
Loading...
Loading...