Skip to main content

TOMM20 Antibody - BSA Free

Novus Biologicals, part of Bio-Techne | Catalog # NBP3-13287

Novus Biologicals, part of Bio-Techne
Catalog #
Availability
Size / Price
Qty
Loading...
NBP3-13287

Key Product Details

Validated by

Independent Antibodies

Species Reactivity

Validated:

Human, Mouse, Rat

Predicted:

Bovine (100%), Rhesus Macaque (100%). Backed by our 100% Guarantee.

Applications

Immunohistochemistry, Immunohistochemistry-Paraffin, Western Blot, Immunocytochemistry/ Immunofluorescence

Label

Unconjugated

Antibody Source

Polyclonal Rabbit IgG

Format

BSA Free

Concentration

Concentrations vary lot to lot. See vial label for concentration. If unlisted please contact technical services.

Product Specifications

Immunogen

Full length Human TOMM20 recombinant protein.

Clonality

Polyclonal

Host

Rabbit

Isotype

IgG

Description

Centrifuge briefly prior to opening.

Scientific Data Images for TOMM20 Antibody - BSA Free

Western Blot: TOMM20 Antibody [NBP3-13287]

Western Blot: TOMM20 Antibody [NBP3-13287]

Western Blot: TOMM20 Antibody [NBP3-13287] - Mouse tissue extract (50 ug) was separated by 15% SDS-PAGE, and the membranes were blotted with TOMM20 antibody (NBP3-13287) diluted at 1:1000 and competitor's antibody (Competitor A) diluted at 1:500. The HRP-conjugated anti-rabbit IgG antibody (NBP2-19301) was used to detect the primary antibody.
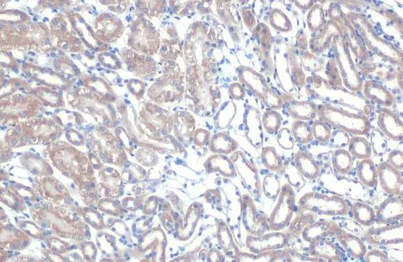
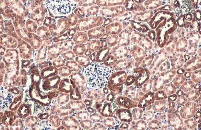
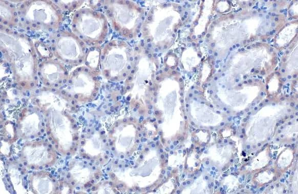
Immunohistochemistry-Paraffin: TOMM20 Antibody [NBP3-13287]

Immunohistochemistry-Paraffin: TOMM20 Antibody [NBP3-13287]

Immunohistochemistry-Paraffin: TOMM20 Antibody [NBP3-13287] - TOMM20 antibody detects TOMM20 protein at mitochondria by immunohistochemical analysis. Sample: Paraffin-embedded mouse kidney. TOMM20 stained by TOMM20 antibody (NBP3-13287) diluted at 1:500. Antigen Retrieval: Citrate buffer, pH 6.0, 15 min
Western Blot: TOMM20 Antibody [NBP3-13287]

Western Blot: TOMM20 Antibody [NBP3-13287]

Western Blot: TOMM20 Antibody [NBP3-13287] - Rat tissue extract (50 ug) was separated by 15% SDS-PAGE, and the membrane was blotted with TOMM20 antibody (NBP3-13287) diluted at 1:1000. The HRP-conjugated anti-rabbit IgG antibody (NBP2-19301) was used to detect the primary antibody.

Applications for TOMM20 Antibody - BSA Free

Application
Recommended Usage

Immunocytochemistry/ Immunofluorescence

Optimal dilutions of this antibody should be experimentally determined.

Immunohistochemistry

Optimal dilutions of this antibody should be experimentally determined.

Immunohistochemistry-Paraffin

Optimal dilutions of this antibody should be experimentally determined.

Western Blot

Optimal dilutions of this antibody should be experimentally determined.

Formulation, Preparation, and Storage

Purification

Antigen Affinity-purified

Formulation

PBS, 1% BSA, 20% Glycerol

Format

BSA Free

Preservative

0.025% Proclin 300

Concentration

Concentrations vary lot to lot. See vial label for concentration. If unlisted please contact technical services.

Shipping

The product is shipped with polar packs. Upon receipt, store it immediately at the temperature recommended below.

Stability & Storage

Store at 4C short term. Aliquot and store at -20C long term. Avoid freeze-thaw cycles.

Background: TOMM20

Central component of the receptor complex responsible for the recognition and translocation of cytosolically synthesized mitochondrial preproteins. Together with TOM22 functions as the transit peptide receptor at the surface of the mitochondrion outer membrane and facilitates the movement of preproteins into the TOM40 translocation pore

Long Name

TOMM20

Alternate Names

MAS20, mitochondrial 20 kDa outer membrane protein, mitochondrial import receptor subunit TOM20 homolo, MOM19, outer mitochondrial membrane receptor Tom20, TOM20, translocase of outer mitochondrial membrane 20 hom

Gene Symbol

TOMM20

Additional TOMM20 Products

Product Documents for TOMM20 Antibody - BSA Free

Certificate of Analysis

To download a Certificate of Analysis, please enter a lot number in the search box below.

Product Specific Notices for TOMM20 Antibody - BSA Free

This product is for research use only and is not approved for use in humans or in clinical diagnosis. Primary Antibodies are guaranteed for 1 year from date of receipt.

Loading...
Loading...
Loading...
Loading...