Skip to main content

TOMM20 Antibody (10G6I8)

Novus Biologicals, part of Bio-Techne | Catalog # NBP3-15750

Recombinant Monoclonal Antibody
Novus Biologicals, part of Bio-Techne
Catalog #
Availability
Size / Price
Qty
Loading...
NBP3-15750-100ul
NBP3-15750-20ul

Key Product Details

Species Reactivity

Human, Mouse, Rat

Applications

Immunohistochemistry, Immunohistochemistry-Paraffin, Western Blot, ELISA, Immunocytochemistry/ Immunofluorescence, Immunoprecipitation

Label

Unconjugated

Antibody Source

Recombinant Monoclonal Rabbit IgG Clone # 10G6I8 expressed in HEK293

Concentration

Please see the vial label for concentration. If unlisted please contact technical services.

Product Specifications

Immunogen

Recombinant fusion protein containing a sequence corresponding to amino acids 20-145 of human TOMM20 (NP_055580.1). YCIYFDRKRRSDPNFKNRLRERRKKQKLAKERAGLSKLPDLKDAEAVQKFFLEEIQLGEELLAQGEYEKGVDHLTNAIAVCGQPQQLLQVLQQTLPPPVFQMLLTKLPTISQRIVSAQSLAEDDVE

Clonality

Monoclonal

Host

Rabbit

Isotype

IgG

Theoretical MW

16 kDa.
Disclaimer note: The observed molecular weight of the protein may vary from the listed predicted molecular weight due to post translational modifications, post translation cleavages, relative charges, and other experimental factors.

Description

Novus Biologicals Rabbit TOMM20 Antibody (10G6I8) (NBP3-15750) is a recombinant monoclonal antibody validated for use in IHC, WB, ELISA, ICC/IF and IP. All Novus Biologicals antibodies are covered by our 100% guarantee.

Scientific Data Images for TOMM20 Antibody (10G6I8)

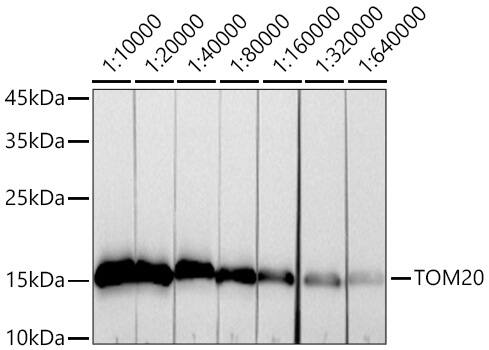
Western Blot: TOMM20 Antibody (10G6I8) [NBP3-15750]

Western Blot: TOMM20 Antibody (10G6I8) [NBP3-15750]

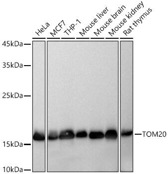
Western Blot: TOMM20 Antibody (6E0N2) [NBP3-15750] - Western blot analysis of extracts of various cell lines, using TOMM20 antibody (NBP3-15750) at 1:5000 dilution. Secondary antibody: HRP Goat Anti-Rabbit IgG (H+L) at 1:10000 dilution. Lysates/proteins: 25ug per lane. Blocking buffer: 3% nonfat dry milk in TBST. Detection: ECL Basic Kit. Exposure time: 10s.
Immunoprecipitation: TOMM20 Antibody (10G6I8) [NBP3-15750]

Immunoprecipitation: TOMM20 Antibody (10G6I8) [NBP3-15750]

Immunoprecipitation: TOMM20 Antibody (6E0N2) [NBP3-15750] - Immunoprecipitation analysis of 200ug extracts of HeLa cells using 3ug TOMM20 antibody (NBP3-15750). Western blot was performed from the immunoprecipitate using TOMM20 antibody (NBP3-15750) at a dilition of 1:1000.
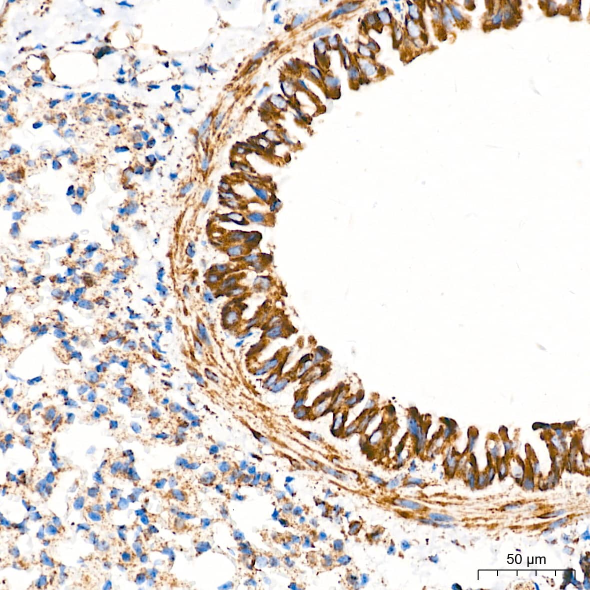
TOMM20 Antibody (10G6I8)

Immunohistochemistry: TOMM20 Antibody (10G6I8) [TOMM20] -

Immunohistochemistry: TOMM20 Antibody (10G6I8) [TOMM20] - Immunohistochemistry analysis of paraffin-embedded Mouse lung tissue using TOMM20 Rabbit mAb at a dilution of 1:5000 (40x lens). High pressure antigen retrieval performed with 0.01M Tris-EDTA Buffer (pH 9.0) prior to IHC staining.

Applications for TOMM20 Antibody (10G6I8)

Application
Recommended Usage

Immunocytochemistry/ Immunofluorescence

1:100 - 1:500

Immunohistochemistry

1:50 - 1:200

Immunohistochemistry-Paraffin

1:50 - 1:200

Immunoprecipitation

-0.5μg-4μg antibody for 200μg-400μg extracts of whole cells

Western Blot

1:2000 - 1:6000

Formulation, Preparation, and Storage

Purification

Affinity purified

Formulation

PBS (pH 7.3), 50% glycerol, 0.05% BSA

Preservative

0.05% Proclin 300

Concentration

Please see the vial label for concentration. If unlisted please contact technical services.

Shipping

The product is shipped with polar packs. Upon receipt, store it immediately at the temperature recommended below.

Stability & Storage

Store at -20C. Avoid freeze-thaw cycles.

Background: TOMM20

Central component of the receptor complex responsible for the recognition and translocation of cytosolically synthesized mitochondrial preproteins. Together with TOM22 functions as the transit peptide receptor at the surface of the mitochondrion outer membrane and facilitates the movement of preproteins into the TOM40 translocation pore

Long Name

TOMM20

Alternate Names

MAS20, mitochondrial 20 kDa outer membrane protein, mitochondrial import receptor subunit TOM20 homolo, MOM19, outer mitochondrial membrane receptor Tom20, TOM20, translocase of outer mitochondrial membrane 20 hom

Gene Symbol

TOMM20

Additional TOMM20 Products

Product Documents for TOMM20 Antibody (10G6I8)

Certificate of Analysis

To download a Certificate of Analysis, please enter a lot number in the search box below.

Product Specific Notices for TOMM20 Antibody (10G6I8)

This product is for research use only and is not approved for use in humans or in clinical diagnosis. Primary Antibodies are guaranteed for 1 year from date of receipt.

Loading...
Loading...
Loading...
Loading...