Skip to main content

TMED7 Antibody - BSA Free

Novus Biologicals, part of Bio-Techne | Catalog # NBP1-90949

Novus Biologicals, part of Bio-Techne
Catalog #
Availability
Size / Price
Qty
Loading...
NBP1-90949-25ul
NBP1-90949

Key Product Details

Species Reactivity

Validated:

Human

Predicted:

Mouse (98%), Rat (99%). Backed by our 100% Guarantee.

Applications

Immunohistochemistry, Immunohistochemistry-Paraffin, Western Blot

Label

Unconjugated

Antibody Source

Polyclonal Rabbit IgG

Format

BSA Free

Concentration

Concentrations vary lot to lot. See vial label for concentration. If unlisted please contact technical services.

Product Specifications

Immunogen

This antibody was developed against Recombinant Protein corresponding to amino acids: ITFELPDNAKQCFYEDIAQGTKCTLEFQVITGGHYDVDCRLEDPDGKVLYKEMKKQYDSFTFTASKNGTYKFCFSNEFSTF

Clonality

Polyclonal

Host

Rabbit

Isotype

IgG

Scientific Data Images for TMED7 Antibody - BSA Free

Western Blot: TMED7 Antibody [NBP1-90949]

Western Blot: TMED7 Antibody [NBP1-90949]

Western Blot: TMED7 Antibody [NBP1-90949] - Analysis in human cell line CAPAN-2.
TMED7 Antibody

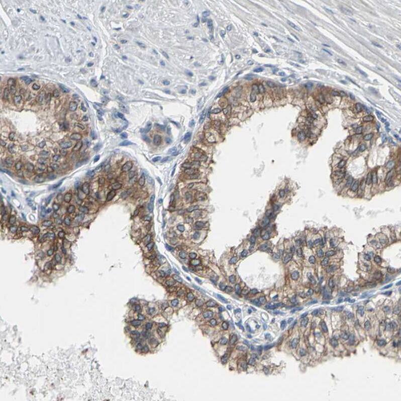
Immunohistochemistry: Rabbit Polyclonal TMED7 Antibody [NBP1-90949] -

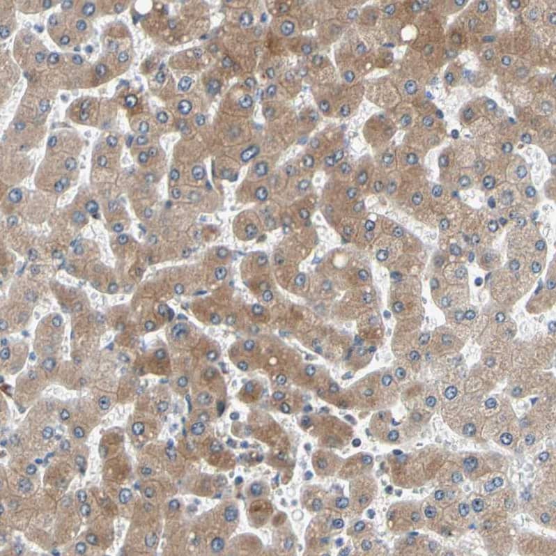
Immunohistochemistry: Rabbit Polyclonal TMED7 Antibody [NBP1-90949] - Immunohistochemical staining of human liver shows strong cytoplasmic positivity in hepatocytes.
TMED7 Antibody

Immunohistochemistry: Rabbit Polyclonal TMED7 Antibody [NBP1-90949] -

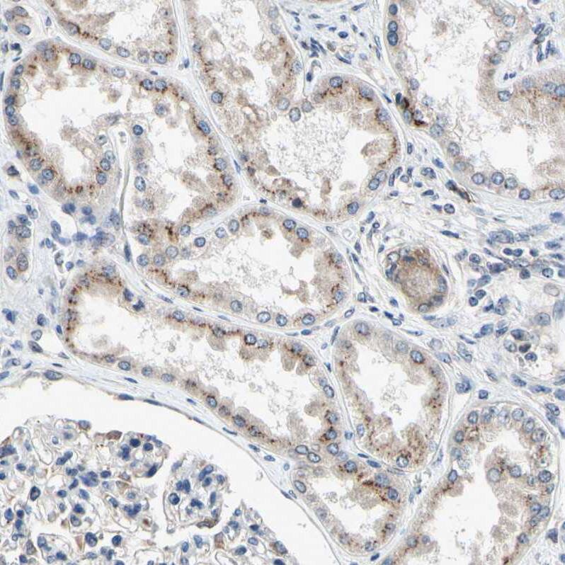
Immunohistochemistry: Rabbit Polyclonal TMED7 Antibody [NBP1-90949] - Immunohistochemical staining of human kidney shows moderate cytoplasm granular positivity in cells in tubules.

Applications for TMED7 Antibody - BSA Free

Application
Recommended Usage

Immunohistochemistry

1:50 - 1:200

Immunohistochemistry-Paraffin

1:50 - 1:200

Western Blot

0.04-0.4 ug/ml
Application Notes
For IHC-Paraffin, HIER pH 6 retrieval is recommended.

Formulation, Preparation, and Storage

Purification

Affinity purified

Formulation

PBS (pH 7.2) and 40% Glycerol

Format

BSA Free

Preservative

0.02% Sodium Azide

Concentration

Concentrations vary lot to lot. See vial label for concentration. If unlisted please contact technical services.

Shipping

The product is shipped with polar packs. Upon receipt, store it immediately at the temperature recommended below.

Stability & Storage

Store at 4C short term. Aliquot and store at -20C long term. Avoid freeze-thaw cycles.

Background: TMED7

TMED7 is a gene that codes for a protein with two isoforms measuring 224 and 188 amino acids in length, with weights of approximately 25 and 21 kDa respectively. TMED7 plays a role in vesicular protein trafficking as well as the biosynthesis of secreted cargo. Current research is being done on diseases and disorders related to this gene including leukemia and lung cancer. TMED7 has also been shown to have interactions with IL1R1, IL1RAP, IRAK2, IRAK3, and IRF3.

Alternate Names

CGI-109, p27, transmembrane emp24 domain-containing protein 7, transmembrane emp24 protein transport domain containing 7

Gene Symbol

TMED7

Additional TMED7 Products

Product Documents for TMED7 Antibody - BSA Free

Certificate of Analysis

To download a Certificate of Analysis, please enter a lot number in the search box below.

Product Specific Notices for TMED7 Antibody - BSA Free

This product is for research use only and is not approved for use in humans or in clinical diagnosis. Primary Antibodies are guaranteed for 1 year from date of receipt.

Loading...
Loading...
Loading...
Loading...