Skip to main content

TFF1/pS2 Antibody (TFF1/1091)

Novus Biologicals, part of Bio-Techne | Catalog # NBP2-44999

Novus Biologicals, part of Bio-Techne
Catalog #
Availability
Size / Price
Qty
Loading...
NBP2-44999-0.02mg
NBP2-44999-0.1mg

Key Product Details

Species Reactivity

Human, Monkey

Applications

Immunohistochemistry, Immunohistochemistry-Paraffin

Label

Unconjugated

Antibody Source

Monoclonal Mouse IgG1 kappa Clone # TFF1/1091

Concentration

0.2 mg/ml

Product Specifications

Immunogen

A synthetic peptide from the C-terminus of human TFF1/pS2 protein. (Uniprot: P04155)

Localization

Cytoplasmic

Specificity

It recognizes a polypeptide of 6.5kDa, identified as pS2 estrogen-regulated protein. Its epitope is located in the c-terminus of human pS2 protein. pS2 is a trefoil peptide. Trefoil peptides are protease resistant molecules secreted throughout the gut that play a role in mucosal healing. These peptides contain three intra-chain disulfide bonds, forming the trefoil motif, or P-domain. pS2 is known to form dimers and this dimerization is thought to play a role in its protective and healing properties. About 60% of breast carcinomas are positive for pS2. Staining is cytoplasmic, often with localization to the Golgi apparatus. pS2 is shown to be localized in normal stomach mucosa, gastric fluid, goblet cells in the colon and small intestine, and in ulcerations of the gastrointestinal tract. Several studies have shown that pS2 is primarily expressed in estrogen receptor-positive breast tumors and it may define a subset of estrogen-dependent tumors that displays an increased likelihood of response to endocrine therapy.

Clonality

Monoclonal

Host

Mouse

Isotype

IgG1 kappa

Theoretical MW

6.5 kDa.
Disclaimer note: The observed molecular weight of the protein may vary from the listed predicted molecular weight due to post translational modifications, post translation cleavages, relative charges, and other experimental factors.

Description

200ug/ml of antibody purified from Bioreactor Concentrate by Protein A or G. Prepared in 10 mM PBS with 0.05% BSA & 0.05% azide. Also available WITHOUT BSA & azide at 1.0 mg/ml. (NBP2-48010)

Antibody with azide - store at 2 to 8C. Antibody without azide - store at -20 to -80C.

Scientific Data Images for TFF1/pS2 Antibody (TFF1/1091)

Immunohistochemistry-Paraffin: TFF1/pS2 Antibody (TFF1/1091) [NBP2-44999]

Immunohistochemistry-Paraffin: TFF1/pS2 Antibody (TFF1/1091) [NBP2-44999]

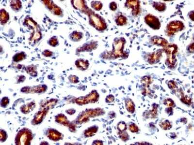
Immunohistochemistry-Paraffin: TFF1/pS2 Antibody (TFF1/1091) [NBP2-44999] - Human Ovarian Carcinoma stained with pS2 Monoclonal Antibody (TFF1/1091).
Immunohistochemistry-Paraffin: TFF1/pS2 Antibody (TFF1/1091) [NBP2-44999]

Immunohistochemistry-Paraffin: TFF1/pS2 Antibody (TFF1/1091) [NBP2-44999]

Immunohistochemistry-Paraffin: TFF1/pS2 Antibody (TFF1/1091) [NBP2-44999] - Human Breast Carcinoma stained with pS2 Monoclonal Antibody (TFF1/1091).

Applications for TFF1/pS2 Antibody (TFF1/1091)

Application
Recommended Usage

Immunohistochemistry-Paraffin

1-2 ug/ml
Application Notes
Immunohistochemistry (Formalin-fixed): 1-2ug/ml for 30 minutes at RT. Staining of formalin-fixed tissues requires heating tissue sections in 10mM Tris with 1mM EDTA, pH 9.0, for 45 min at 95C followed by cooling at RT for 20 minutes.
Optimal dilution for a specific application should be determined.

Formulation, Preparation, and Storage

Purification

Protein A or G purified

Formulation

10 mM PBS with 0.05% BSA

Preservative

0.05% Sodium Azide

Concentration

0.2 mg/ml

Shipping

The product is shipped with polar packs. Upon receipt, store it immediately at the temperature recommended below.

Stability & Storage

Store at 4C.

Background: TFF1

Members of the trefoil family are characterized by having at least one copy of the trefoil motif, a 40-amino acid domain that contains three conserved disulfides. They are stable secretory proteins expressed in gastrointestinal mucosa. Their functions are not defined, but they may protect the mucosa from insults, stabilize the mucus layer, and affect healing of the epithelium. This gene, which is expressed in the gastric mucosa, has also been studied because of its expression in human tumors. This gene and two other related trefoil family member genes are found in a cluster on chromosome 21.

Long Name

Trefoil Factor 1

Alternate Names

BCEI, D21S21, HPS2, PNR-2, PS2

Gene Symbol

TFF1

UniProt

Additional TFF1 Products

Product Documents for TFF1/pS2 Antibody (TFF1/1091)

Certificate of Analysis

To download a Certificate of Analysis, please enter a lot number in the search box below.

Product Specific Notices for TFF1/pS2 Antibody (TFF1/1091)

This product is for research use only and is not approved for use in humans or in clinical diagnosis. Primary Antibodies are guaranteed for 1 year from date of receipt.

Loading...
Loading...
Loading...
Loading...