Skip to main content

Testican 2/SPOCK2 Antibody - BSA Free

Novus Biologicals, part of Bio-Techne | Catalog # NBP1-92442

Novus Biologicals, part of Bio-Techne
Catalog #
Availability
Size / Price
Qty
Loading...
NBP1-92442
NBP1-92442-25ul

Key Product Details

Species Reactivity

Human

Applications

Immunohistochemistry, Immunohistochemistry-Paraffin, Western Blot

Label

Unconjugated

Antibody Source

Polyclonal Rabbit IgG

Format

BSA Free

Concentration

Concentrations vary lot to lot. See vial label for concentration. If unlisted please contact technical services.

Product Specifications

Immunogen

This antibody was developed against Recombinant Protein corresponding to amino acids: EQQACLSSKQLAVRCEGPCPCPTEQAATSTADGKPETCTGQDLADLGDRLRDWFQLLHENSKQNGSASSVAGPASGLDKSLGASCKDS

Reactivity Notes

Immunogen displays the following percentage of sequence identity for non-tested species: Mouse (86%), Rat (85%)

Clonality

Polyclonal

Host

Rabbit

Isotype

IgG

Description

Novus Biologicals Rabbit Testican 2/SPOCK2 Antibody - BSA Free (NBP1-92442) is a polyclonal antibody validated for use in IHC and WB. All Novus Biologicals antibodies are covered by our 100% guarantee.

Scientific Data Images for Testican 2/SPOCK2 Antibody - BSA Free

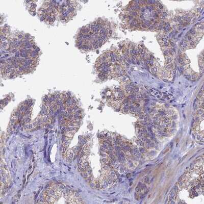
Immunohistochemistry-Paraffin: Testican 2/SPOCK2 Antibody [NBP1-92442]

Immunohistochemistry-Paraffin: Testican 2/SPOCK2 Antibody [NBP1-92442]

Immunohistochemistry-Paraffin: Testican 2/SPOCK2 Antibody [NBP1-92442] - Staining of human prostate shows moderate cytoplasmic positivity in glandular cells.
Immunohistochemistry-Paraffin: Testican 2/SPOCK2 Antibody [NBP1-92442]

Immunohistochemistry-Paraffin: Testican 2/SPOCK2 Antibody [NBP1-92442]

Immunohistochemistry-Paraffin: Testican 2/SPOCK2 Antibody [NBP1-92442] - Staining of human cerebellum shows strong cytoplasmic positivity in Purkinje cells.
Immunohistochemistry-Paraffin: Testican 2/SPOCK2 Antibody [NBP1-92442]

Immunohistochemistry-Paraffin: Testican 2/SPOCK2 Antibody [NBP1-92442]

Immunohistochemistry-Paraffin: Testican 2/SPOCK2 Antibody [NBP1-92442] - Staining of human cerebral cortex shows moderate cytoplasmic positivity in neurons.

Applications for Testican 2/SPOCK2 Antibody - BSA Free

Application
Recommended Usage

Immunohistochemistry

1:200 - 1:500

Immunohistochemistry-Paraffin

1:200 - 1:500

Western Blot

0.04-0.4 ug/ml
Application Notes
For IHC-Paraffin, HIER pH 6 retrieval is recommended.

Formulation, Preparation, and Storage

Purification

Affinity purified

Formulation

PBS (pH 7.2) and 40% Glycerol

Format

BSA Free

Preservative

0.02% Sodium Azide

Concentration

Concentrations vary lot to lot. See vial label for concentration. If unlisted please contact technical services.

Shipping

The product is shipped with polar packs. Upon receipt, store it immediately at the temperature recommended below.

Stability & Storage

Store at 4C short term. Aliquot and store at -20C long term. Avoid freeze-thaw cycles.

Background: Testican 2/SPOCK2

Proteoglycans, which consist of a core protein and covalently linked glycosaminoglycans, are components of the extracellular matrix. SPOCK2 encodes a member of a novel Ca(2+)-binding proteoglycan family.(supplied by OMIM)

Alternate Names

KIAA0275, SPOCK2

Gene Symbol

SPOCK2

Additional Testican 2/SPOCK2 Products

Product Documents for Testican 2/SPOCK2 Antibody - BSA Free

Certificate of Analysis

To download a Certificate of Analysis, please enter a lot number in the search box below.

Product Specific Notices for Testican 2/SPOCK2 Antibody - BSA Free

This product is for research use only and is not approved for use in humans or in clinical diagnosis. Primary Antibodies are guaranteed for 1 year from date of receipt.

Loading...
Loading...
Loading...
Loading...